International Hepato-Pancreato-Biliary Association
Vasculobiliary injury [M28]
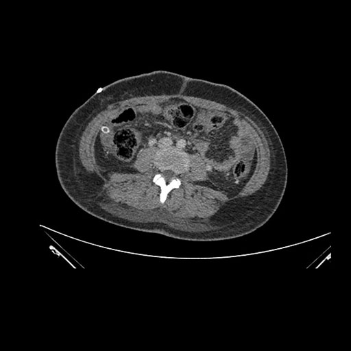
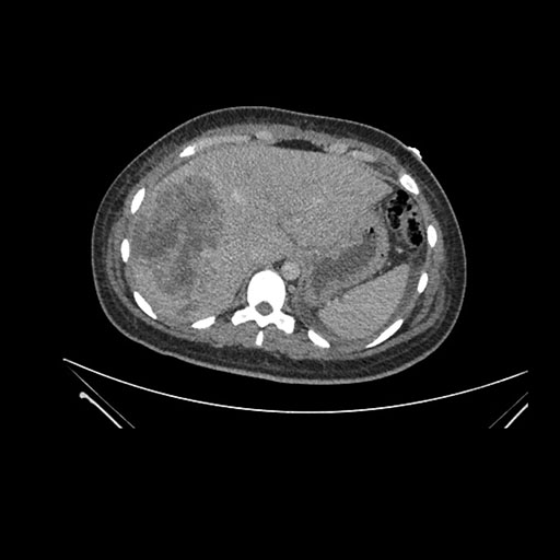
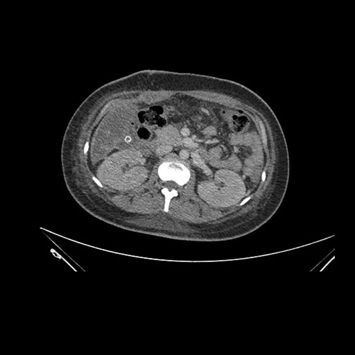
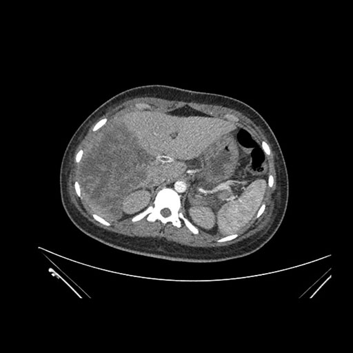
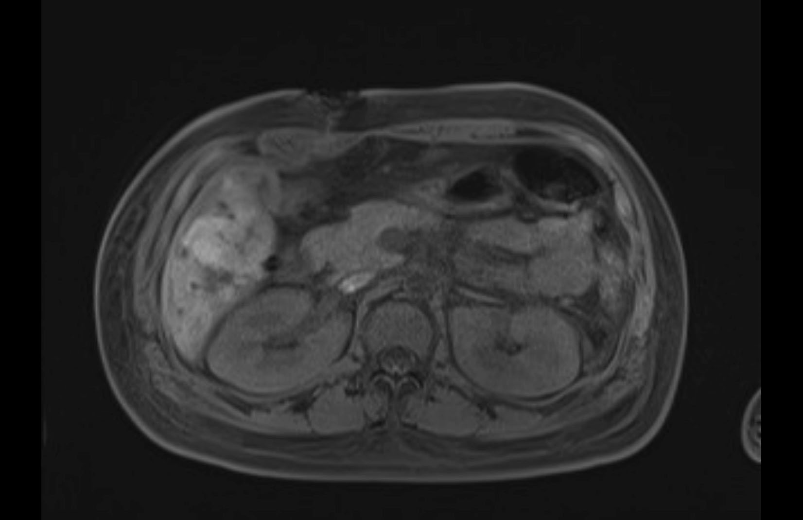
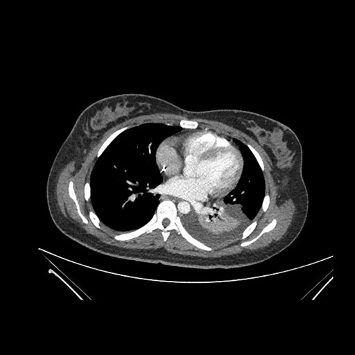
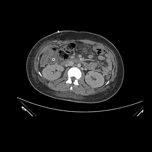
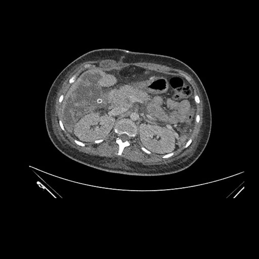
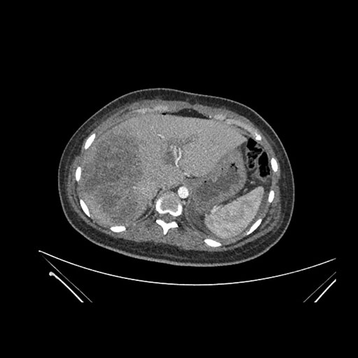
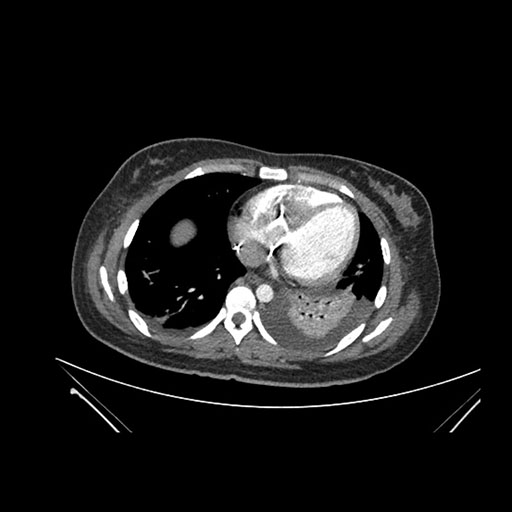
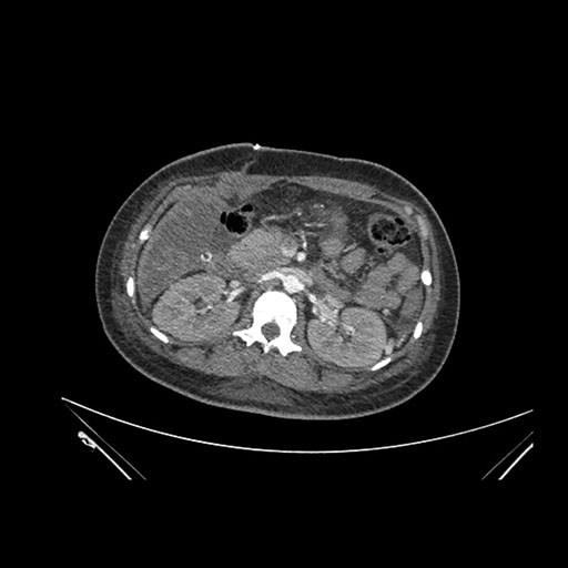
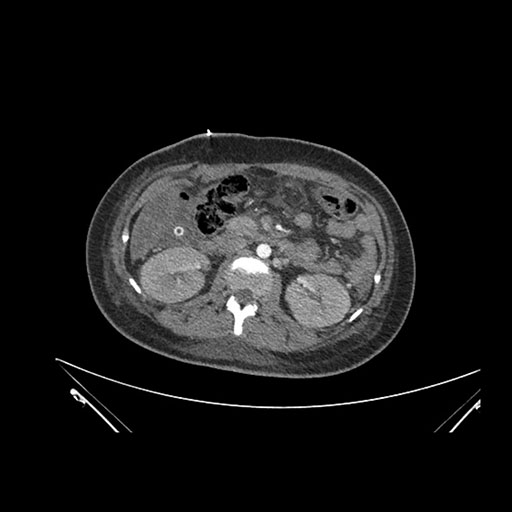
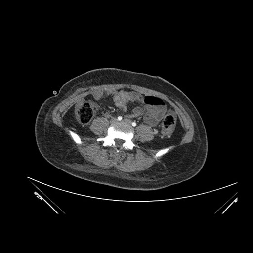
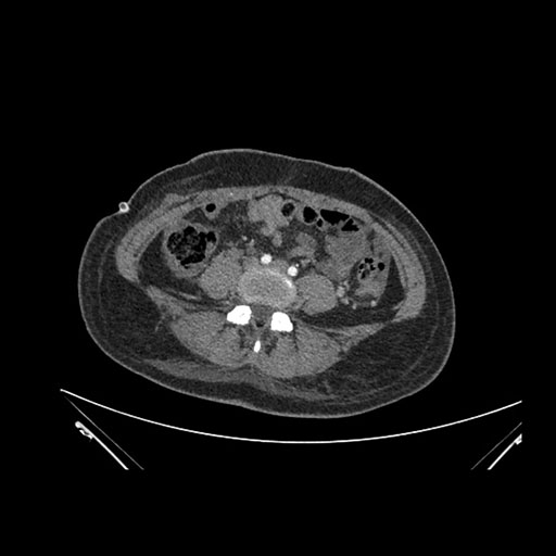
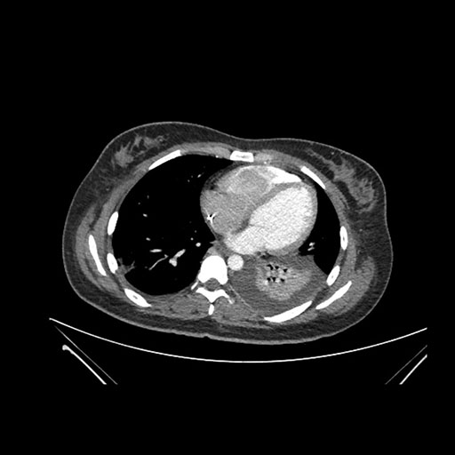
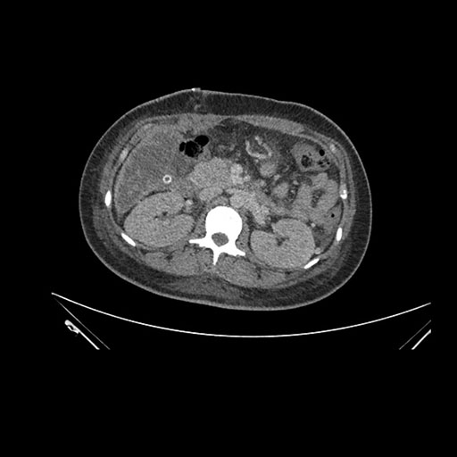
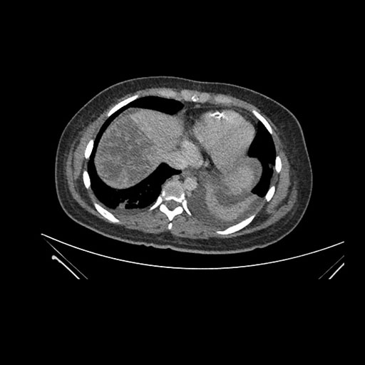
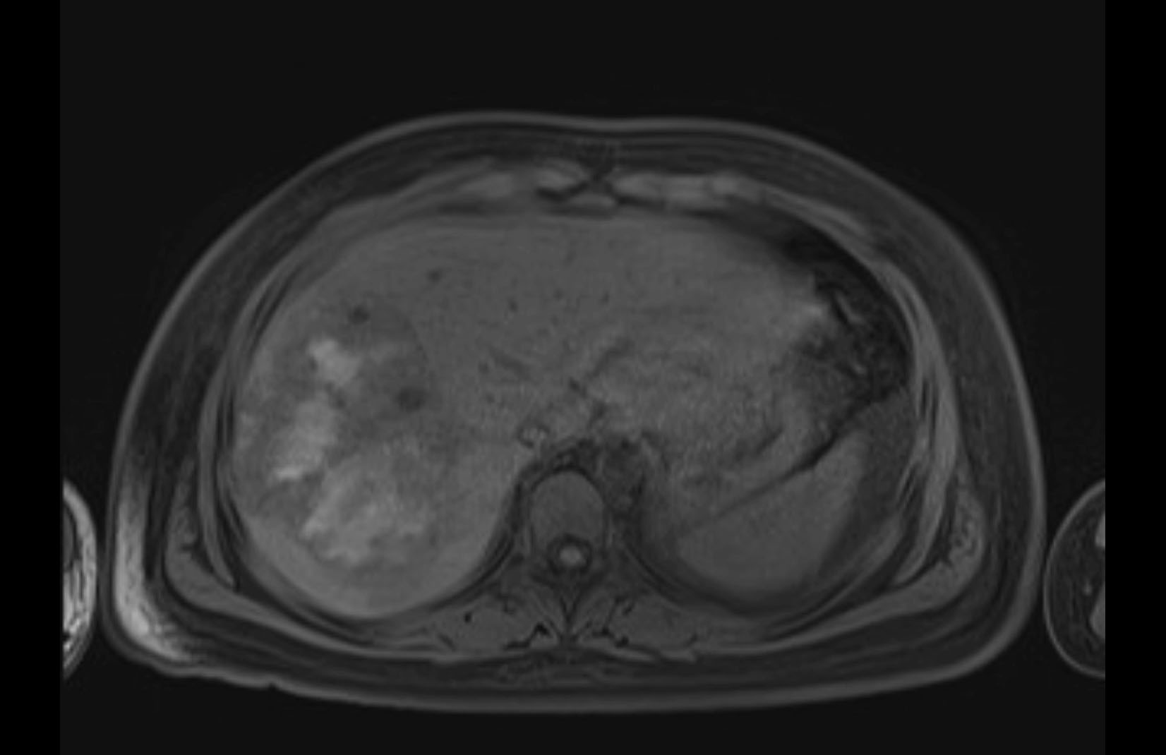
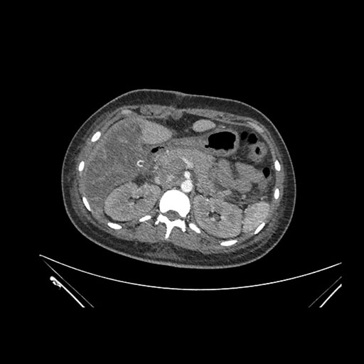
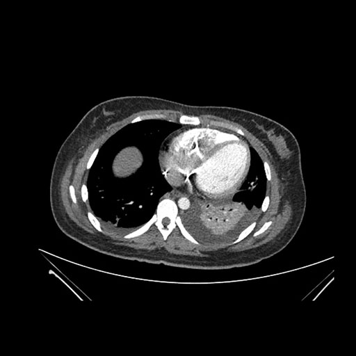
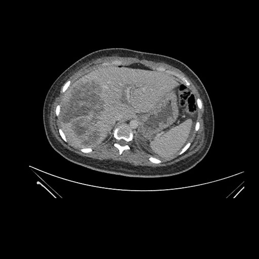
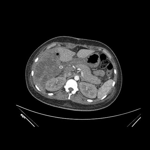
Imaging Analysis
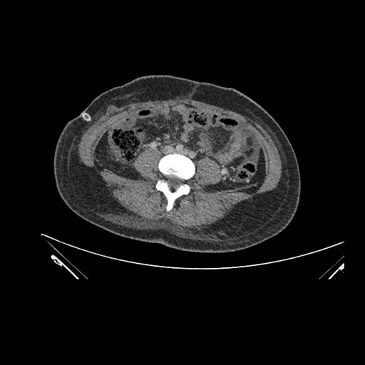
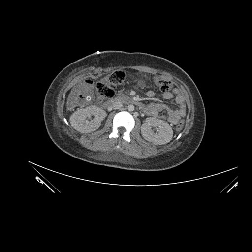
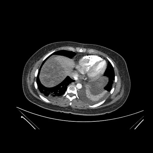
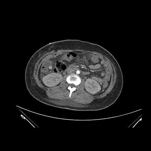
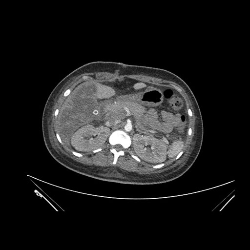
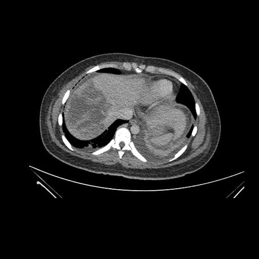
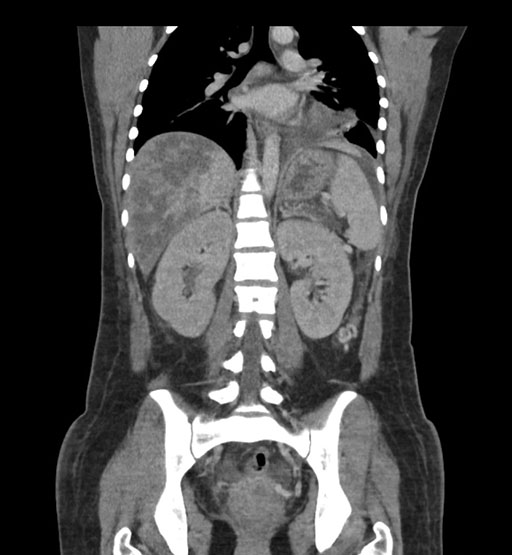
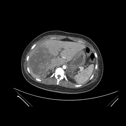
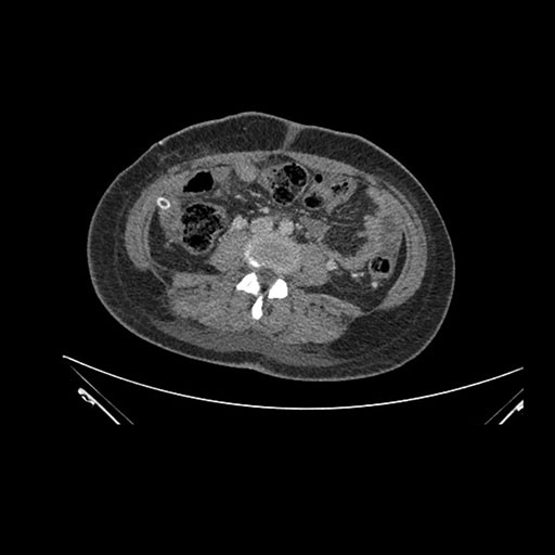
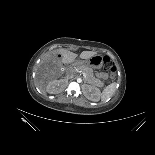
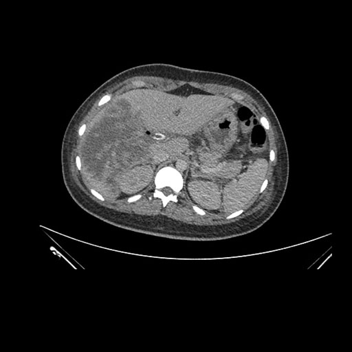
Look through the patient's CT scan to identify any areas of concern for the necessary procedure.
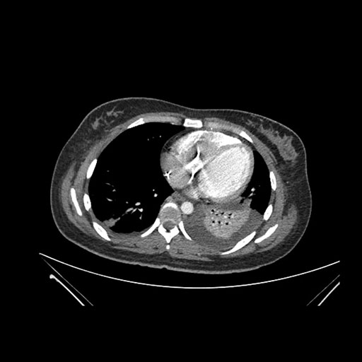
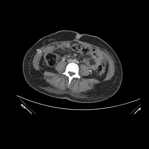
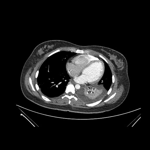
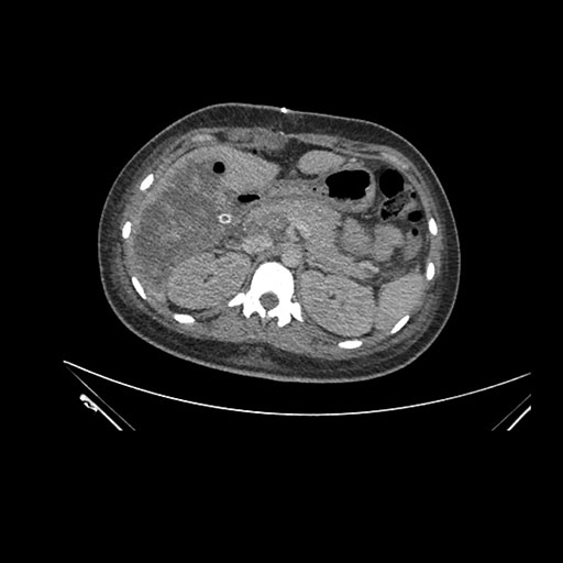
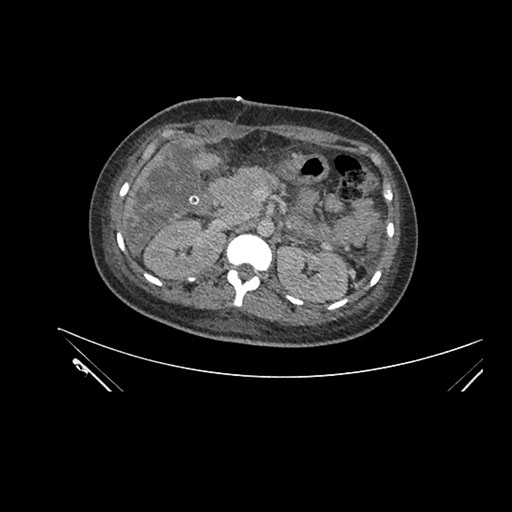
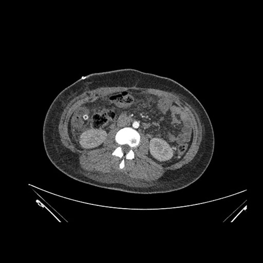
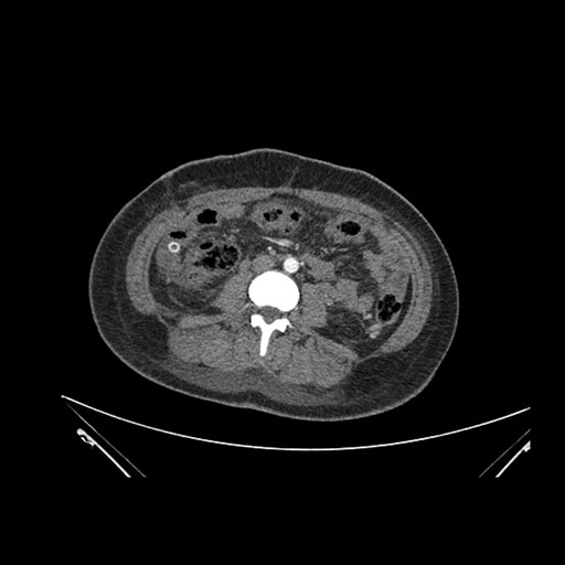
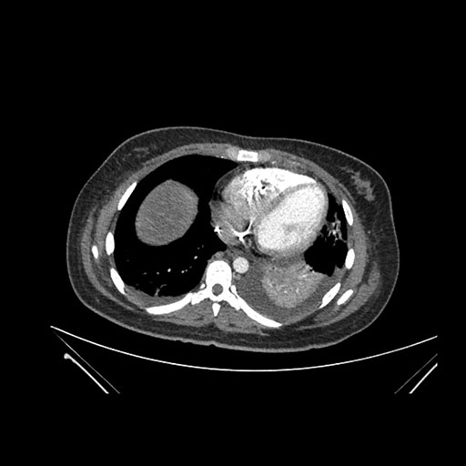
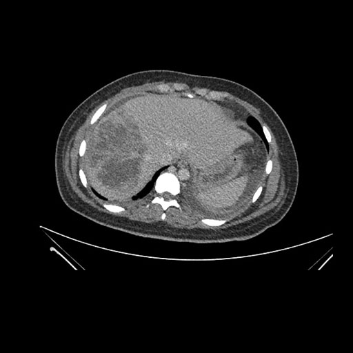
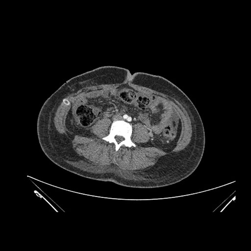
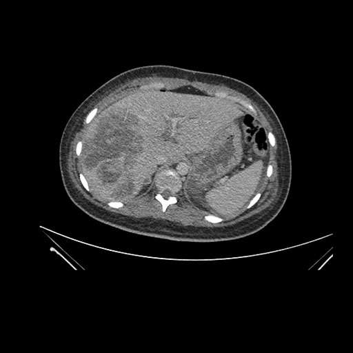
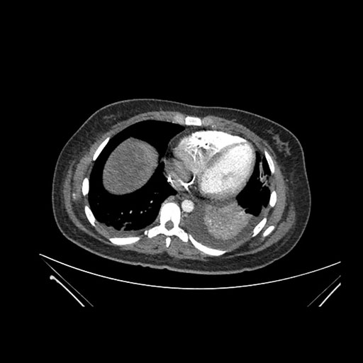
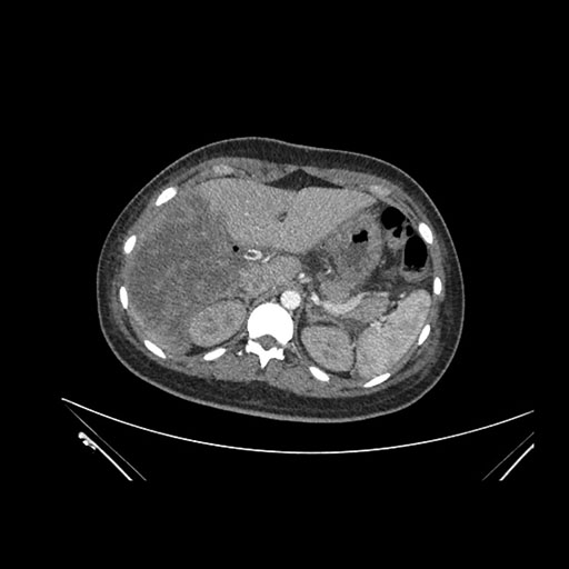
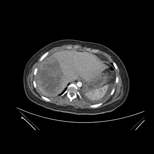
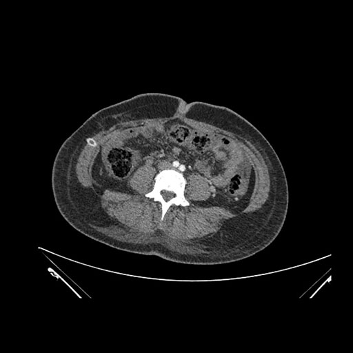
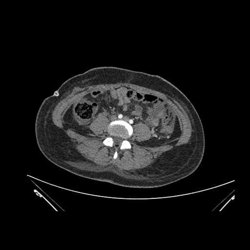
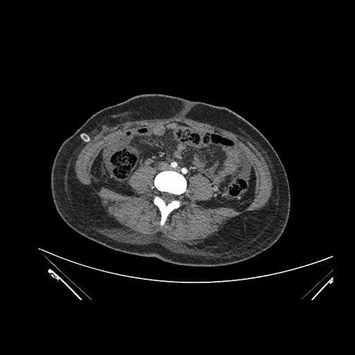
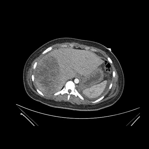
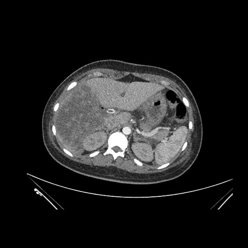
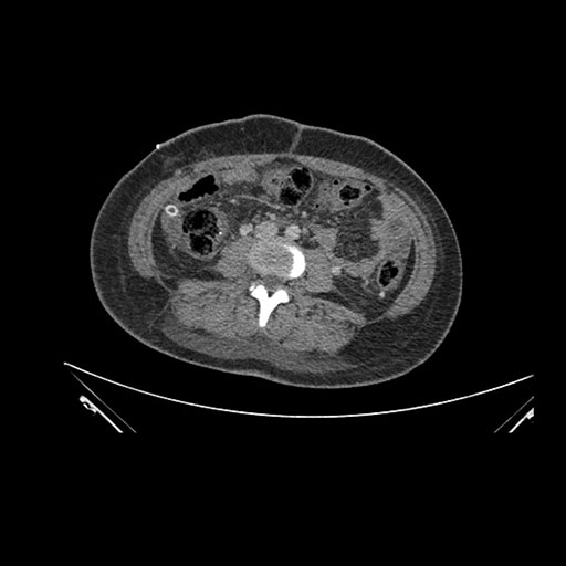
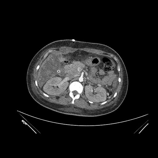
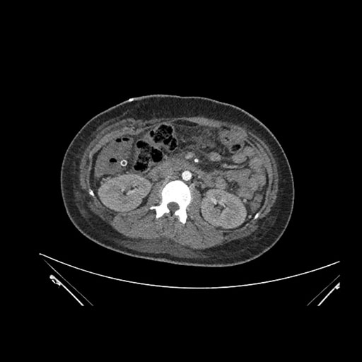
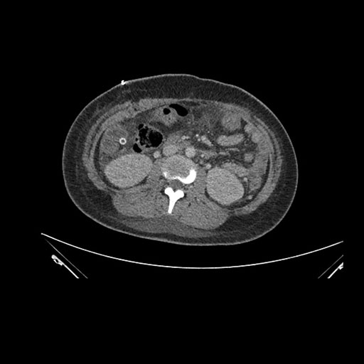
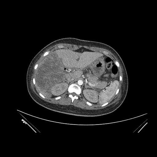
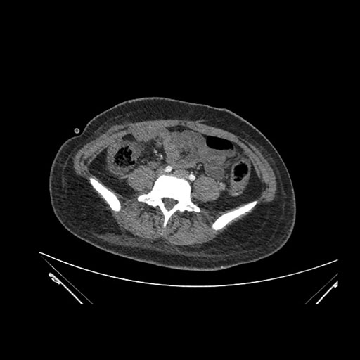
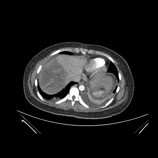
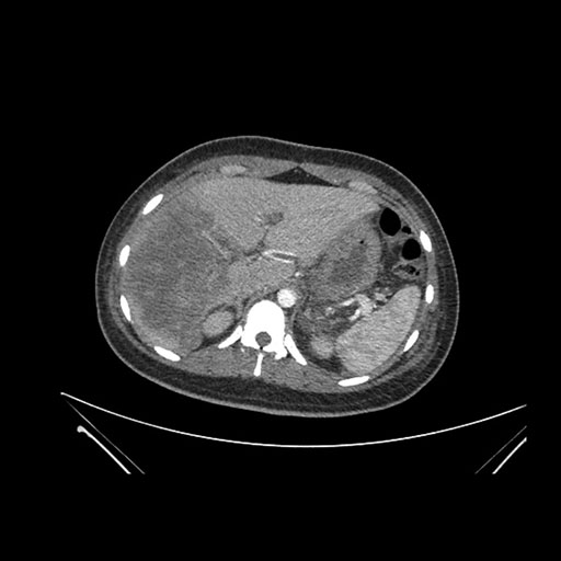
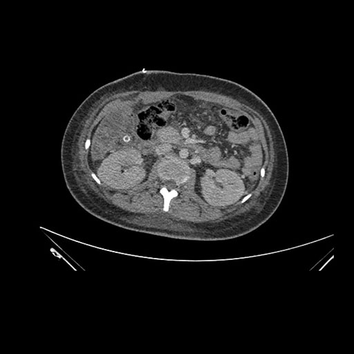
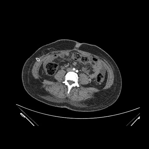
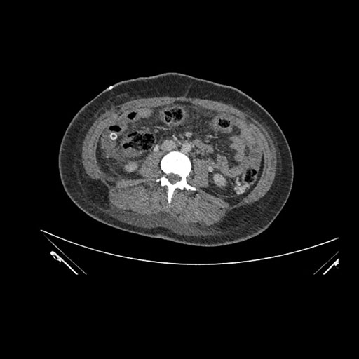
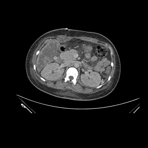
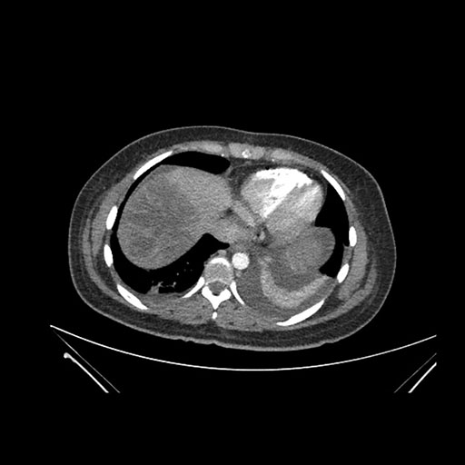
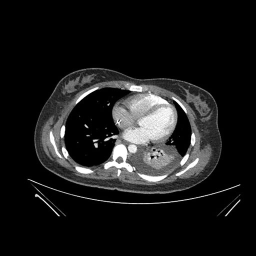
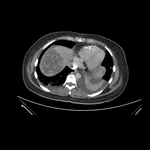
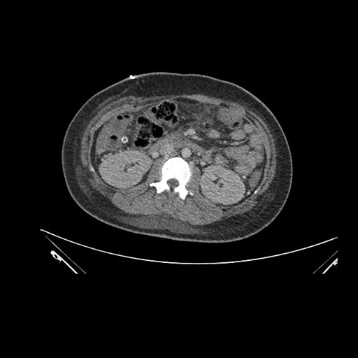
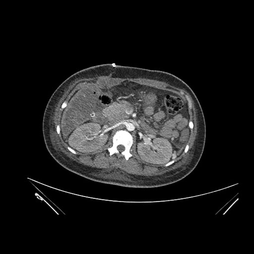
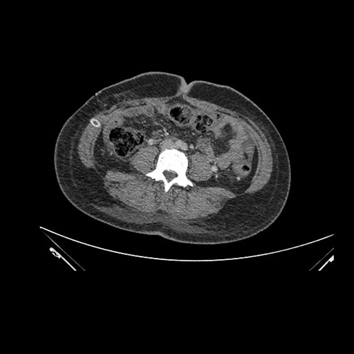
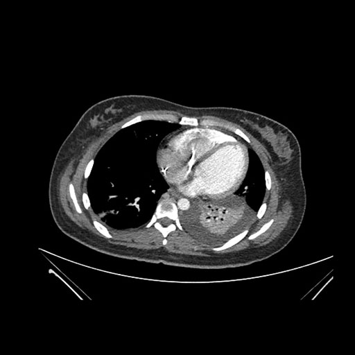
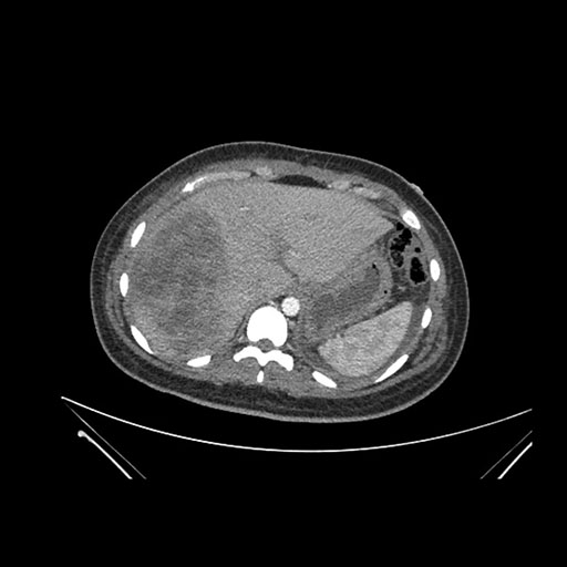
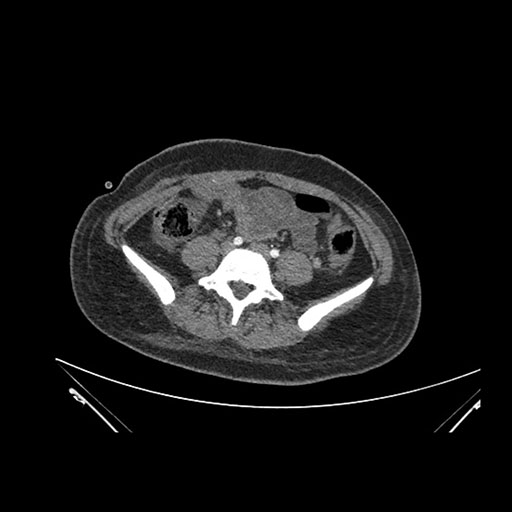
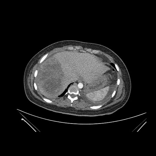
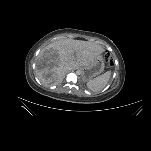
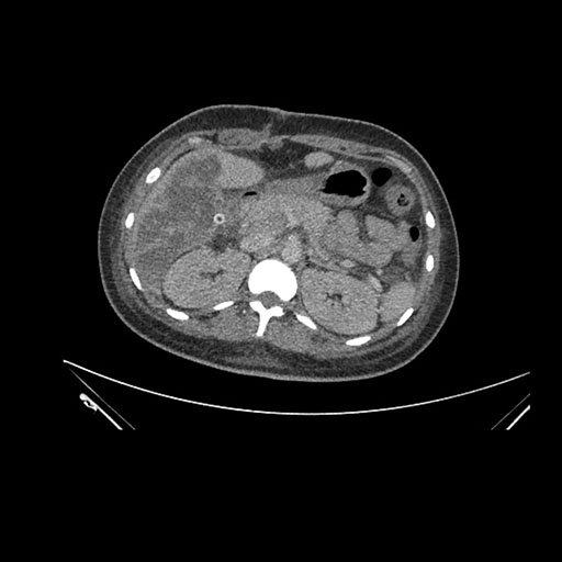
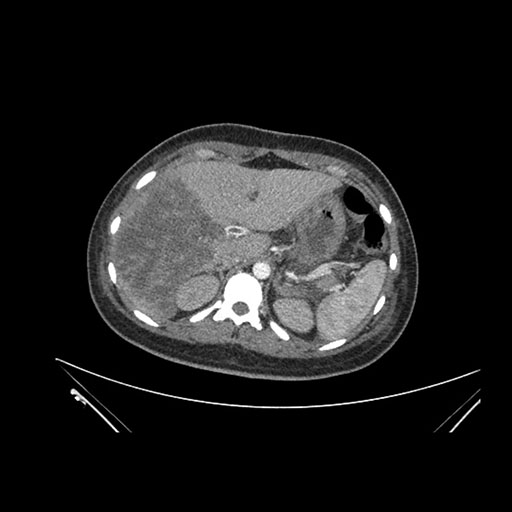
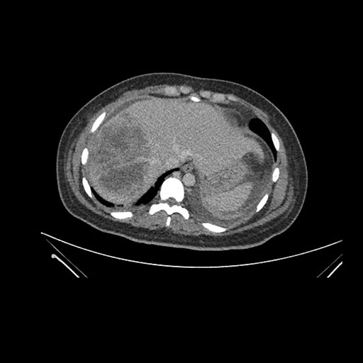
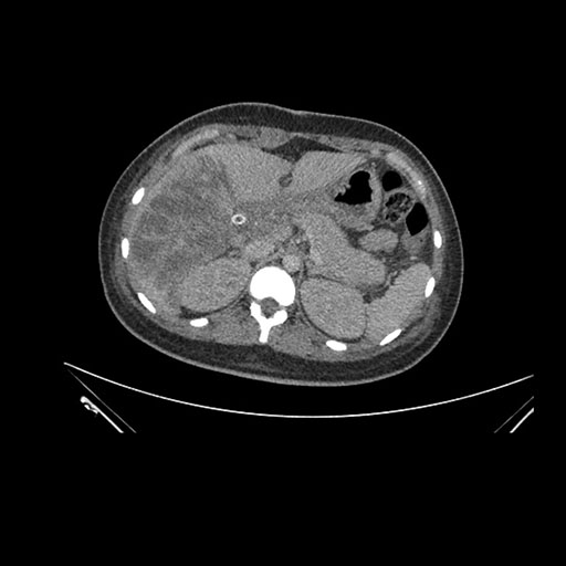
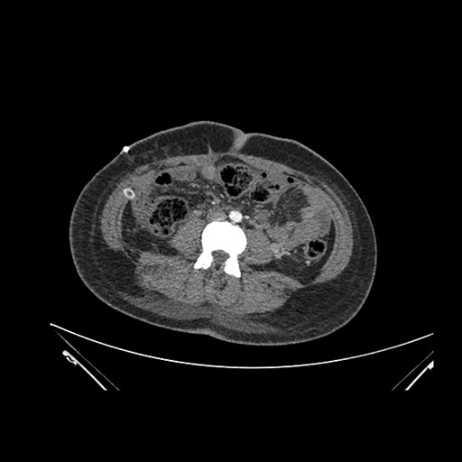
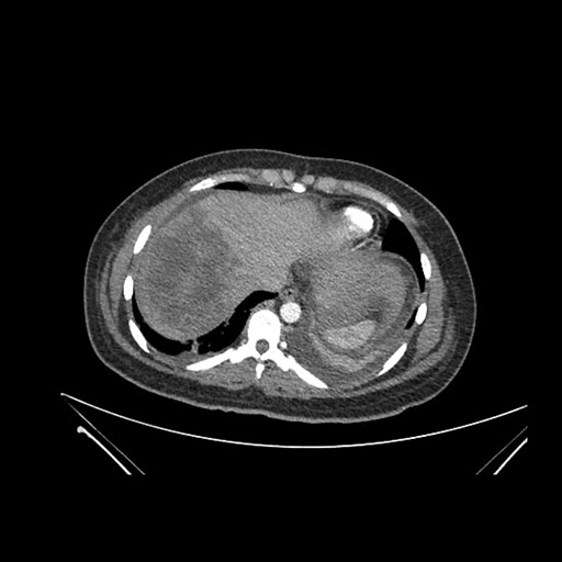
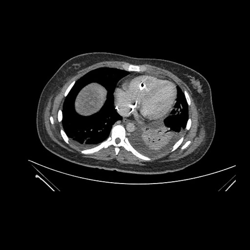
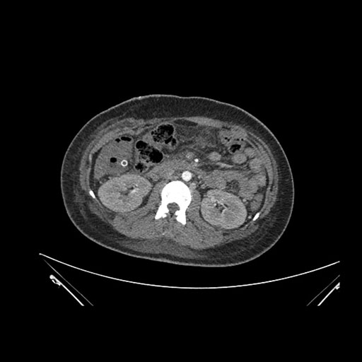
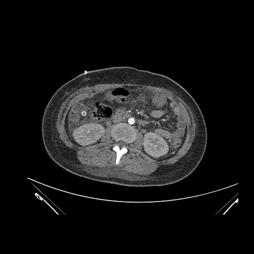
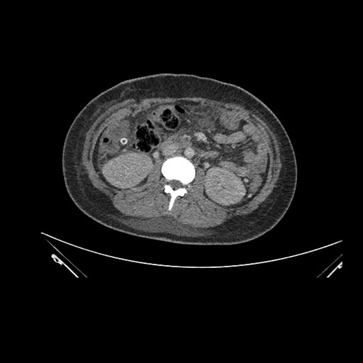
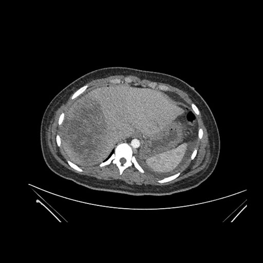
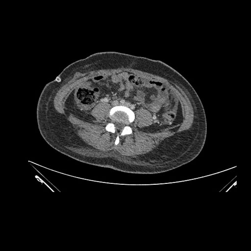
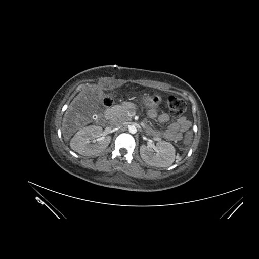
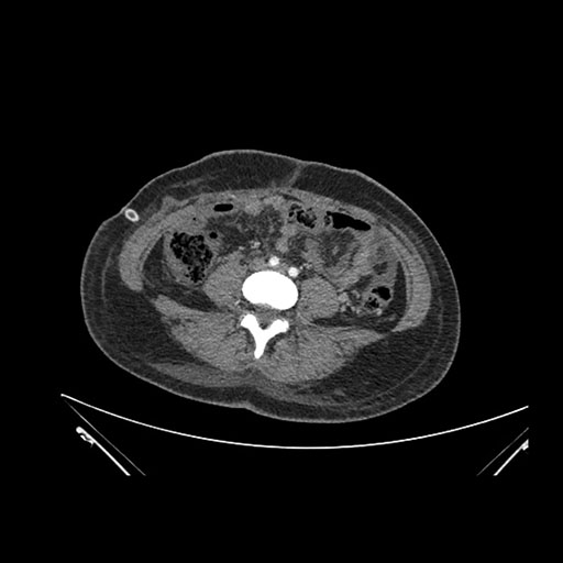
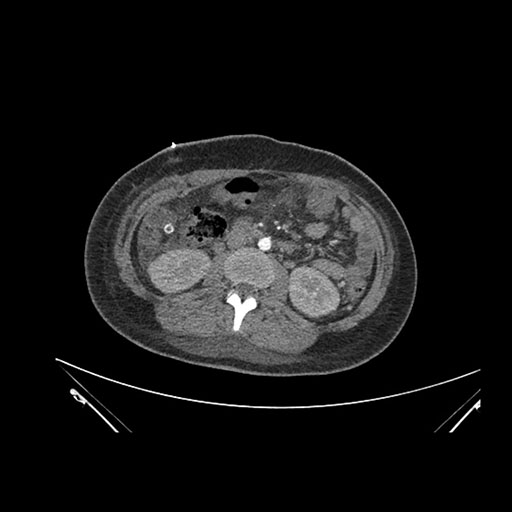
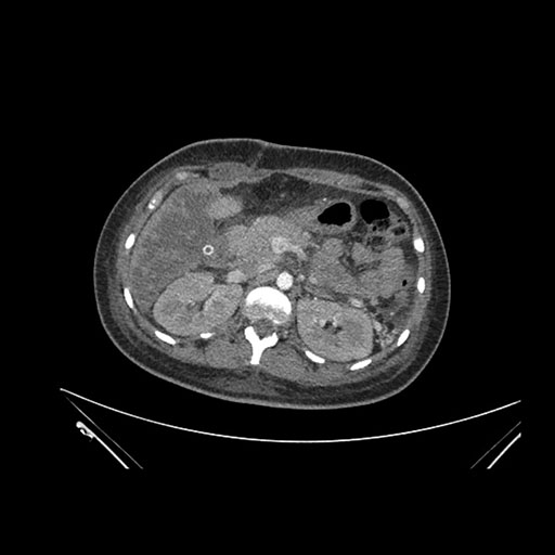
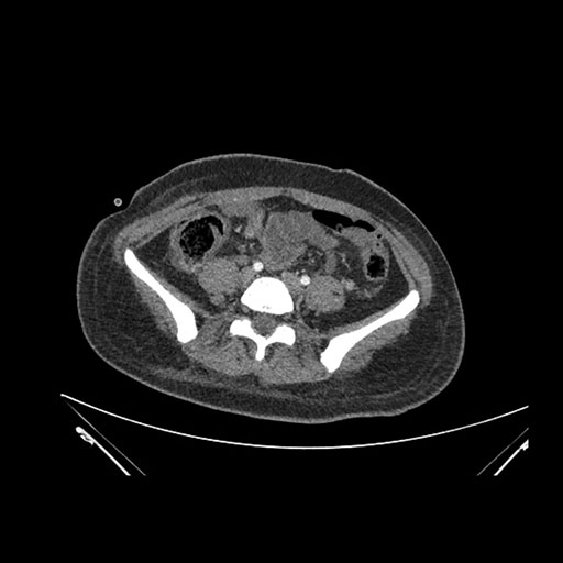
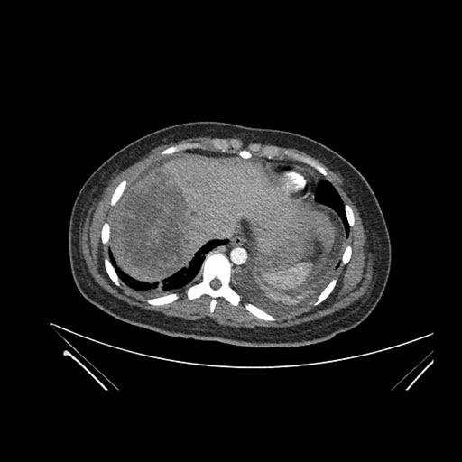
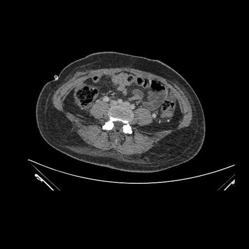
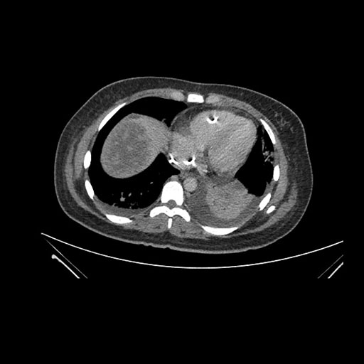
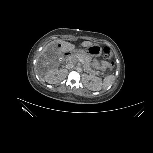
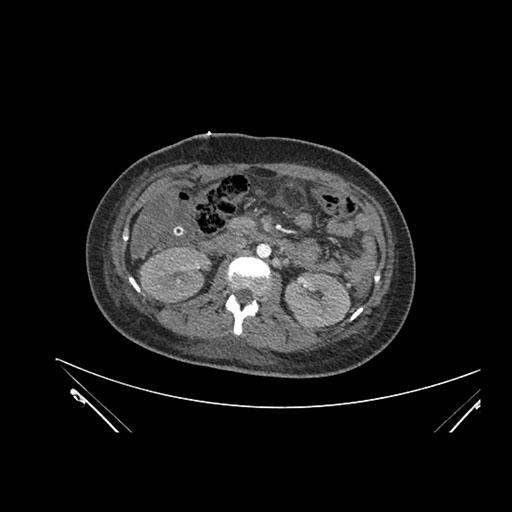
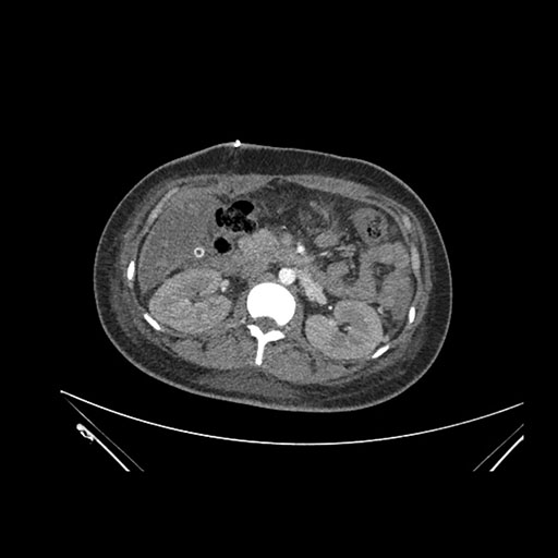
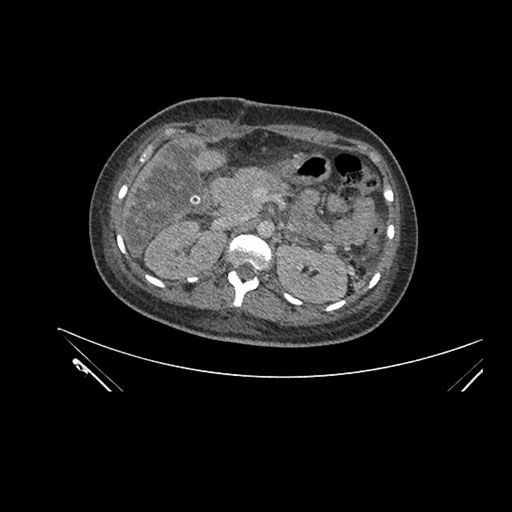
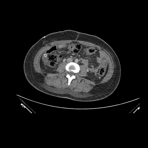
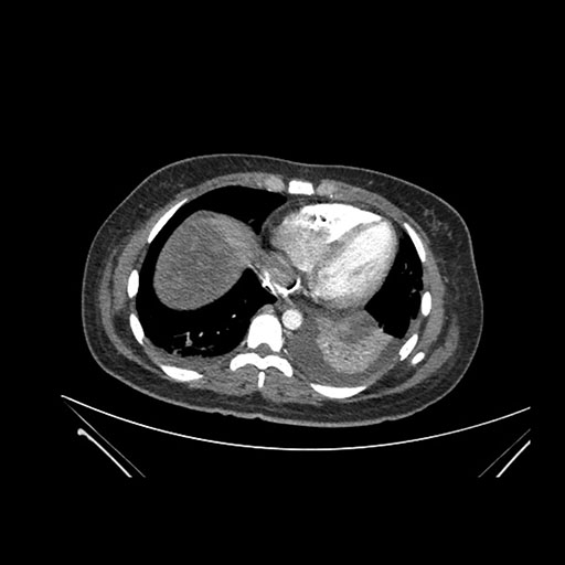
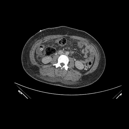
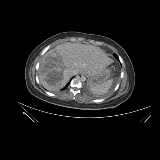
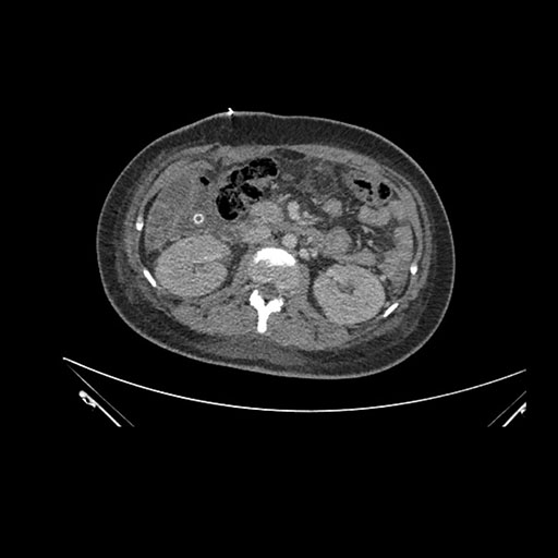
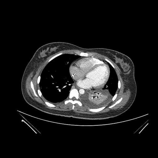
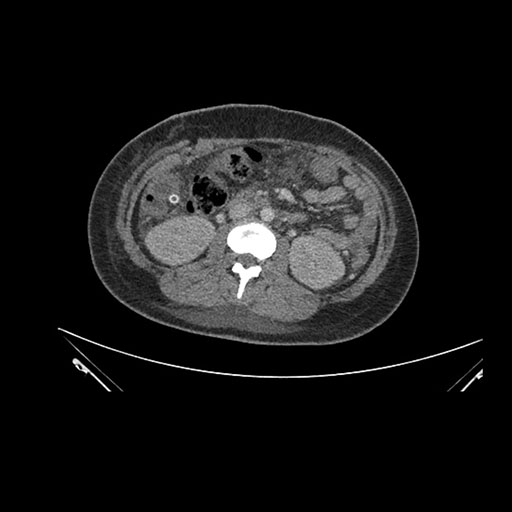
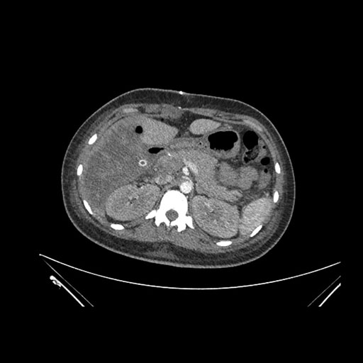
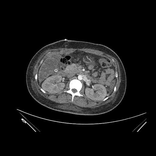
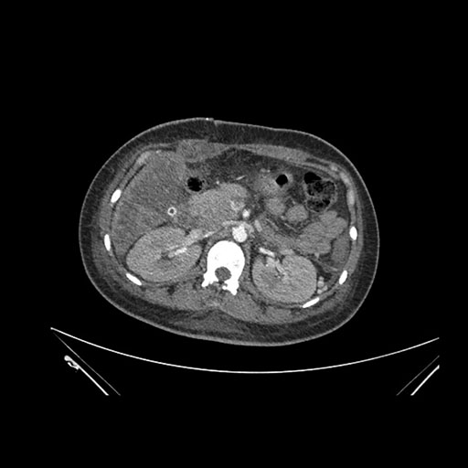
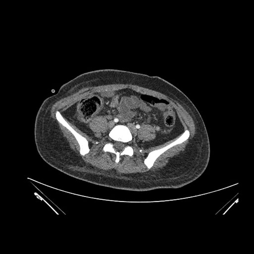
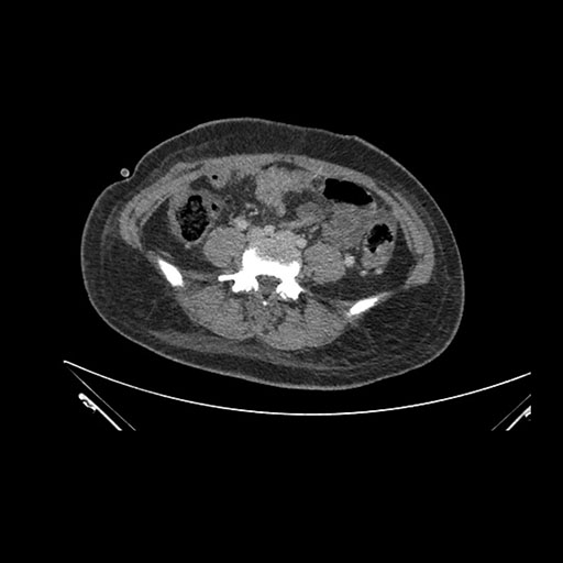
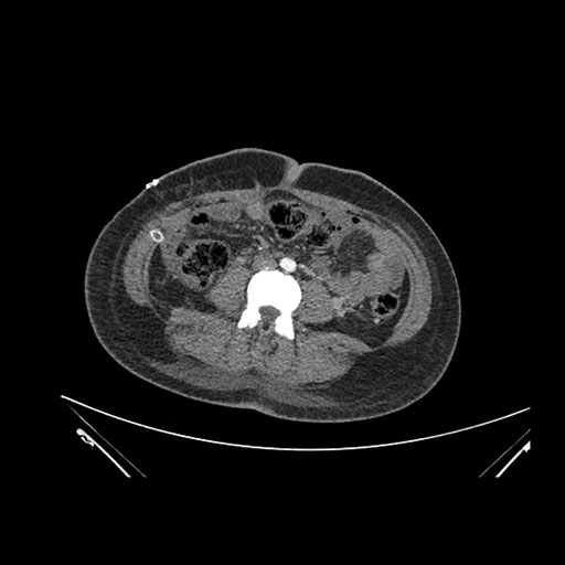
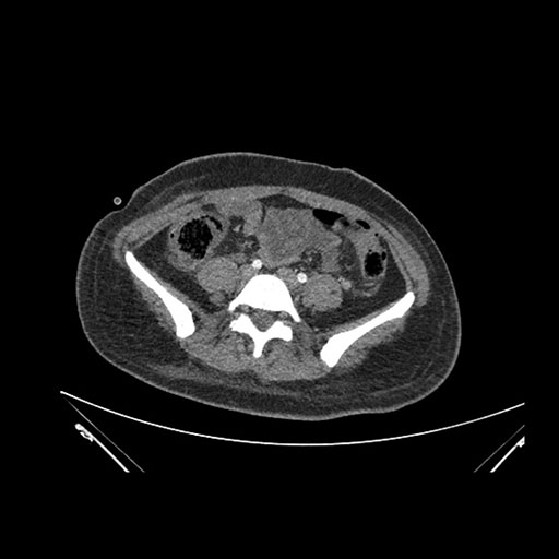
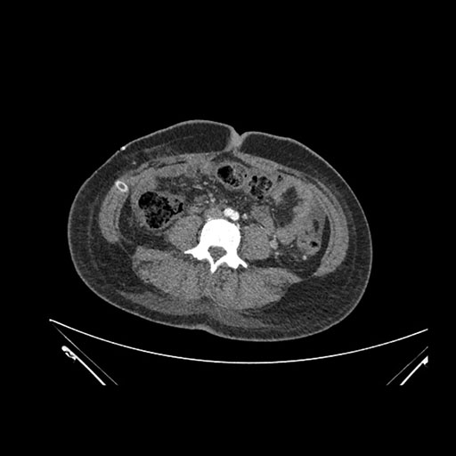
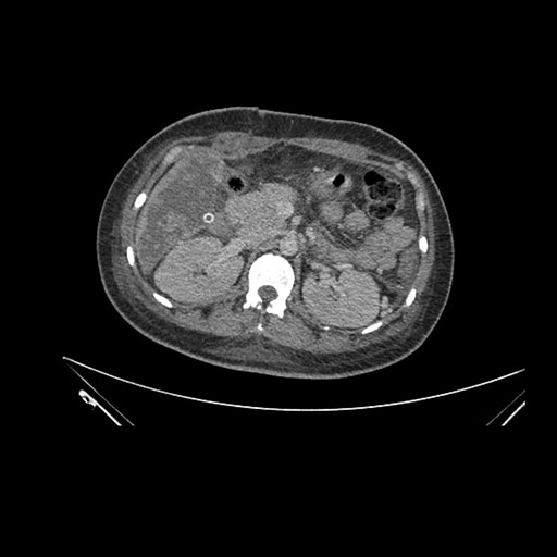
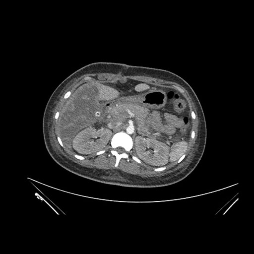
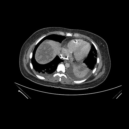
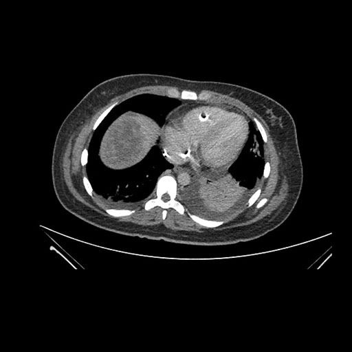
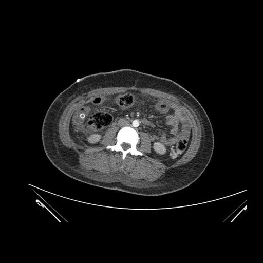
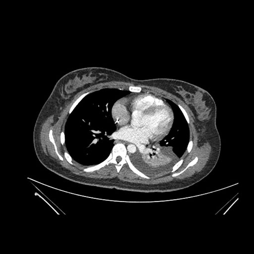
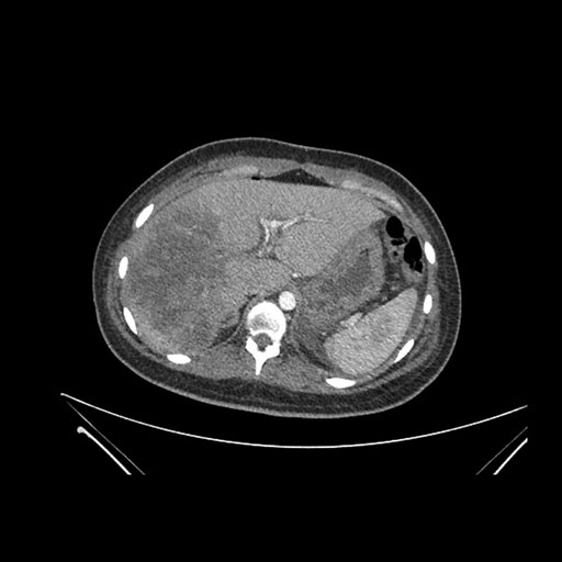
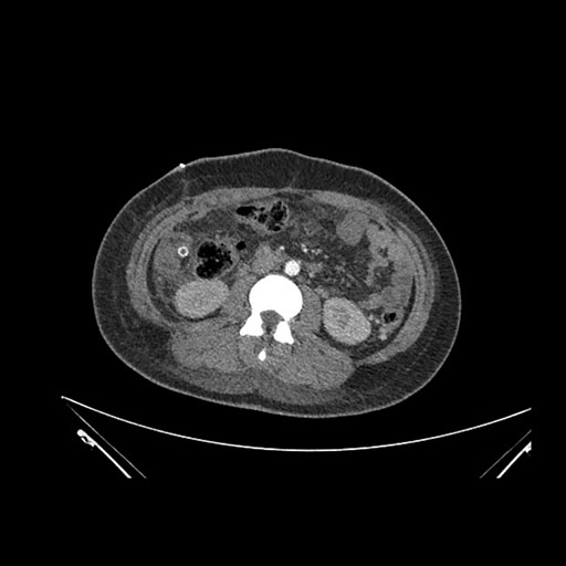
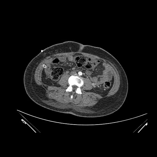
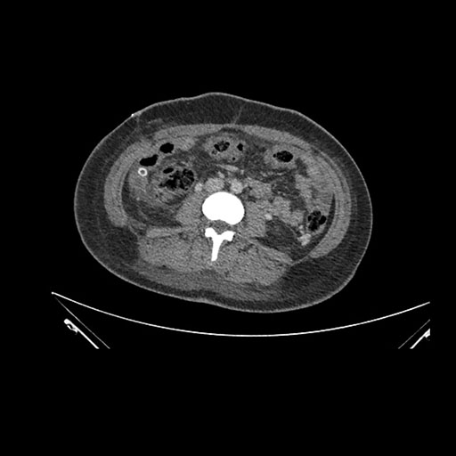
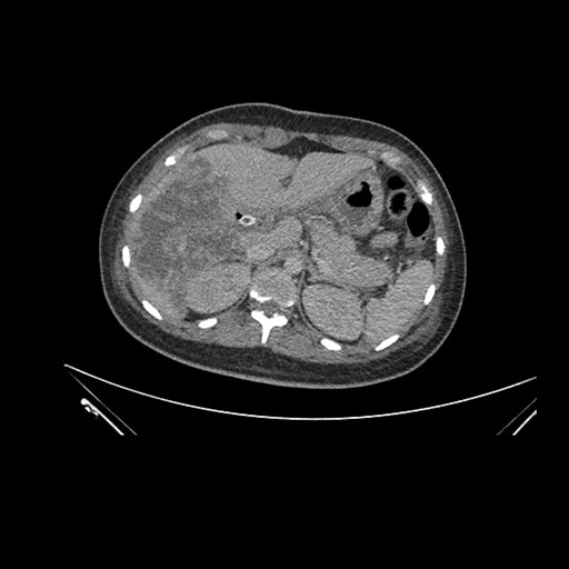
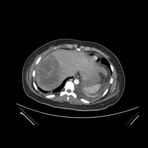
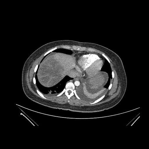
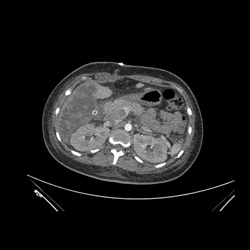
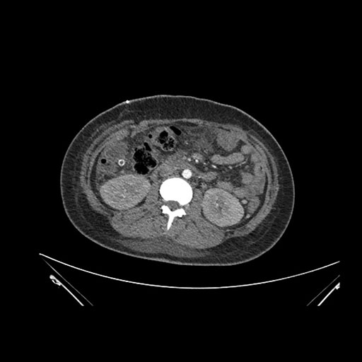
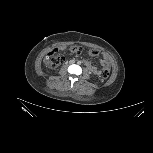
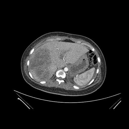
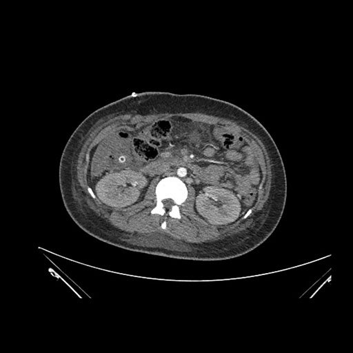
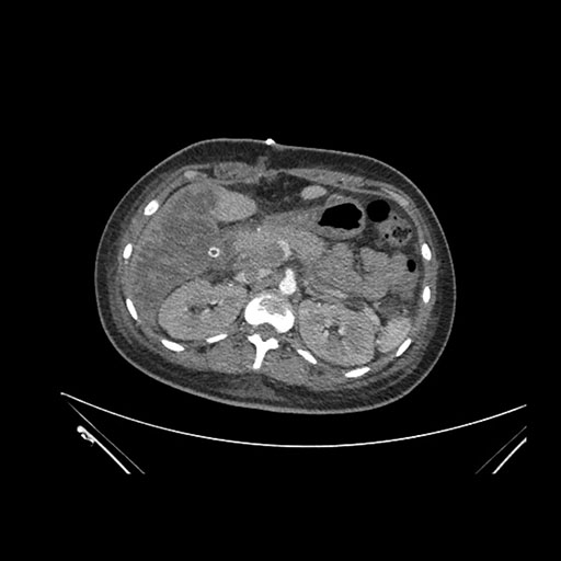
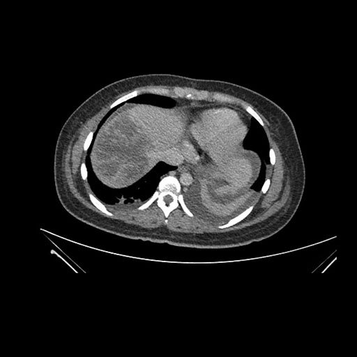
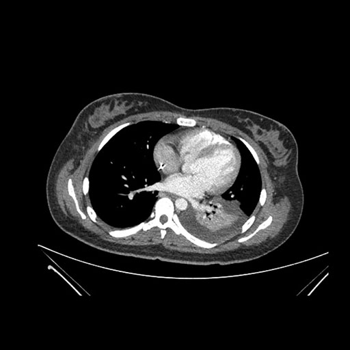
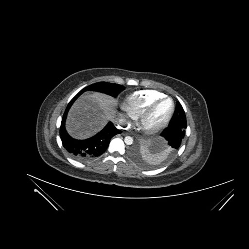
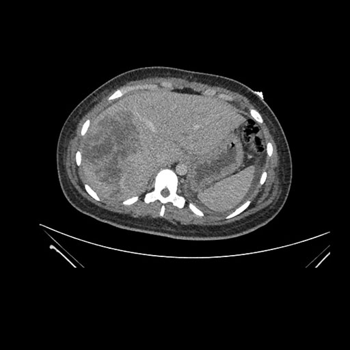
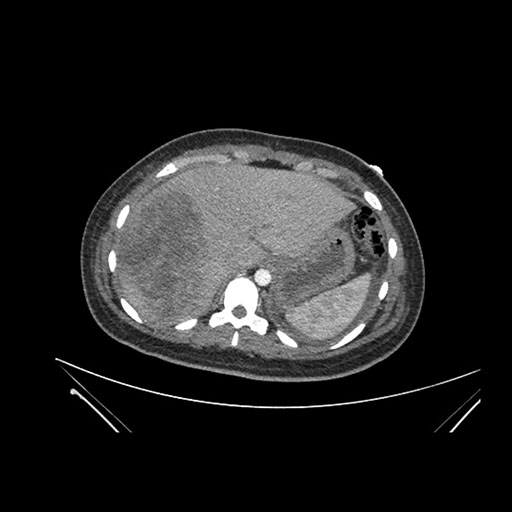
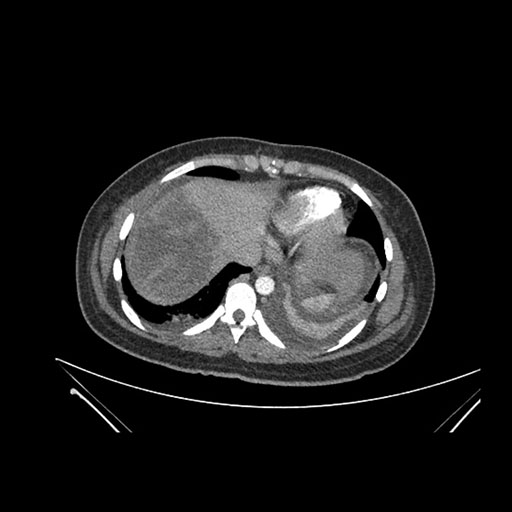
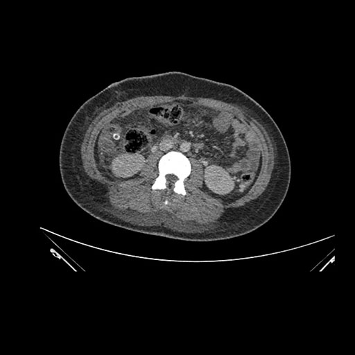
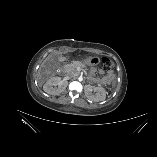
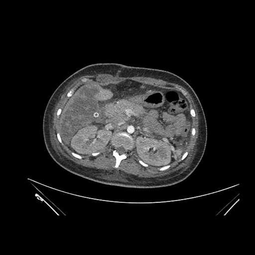
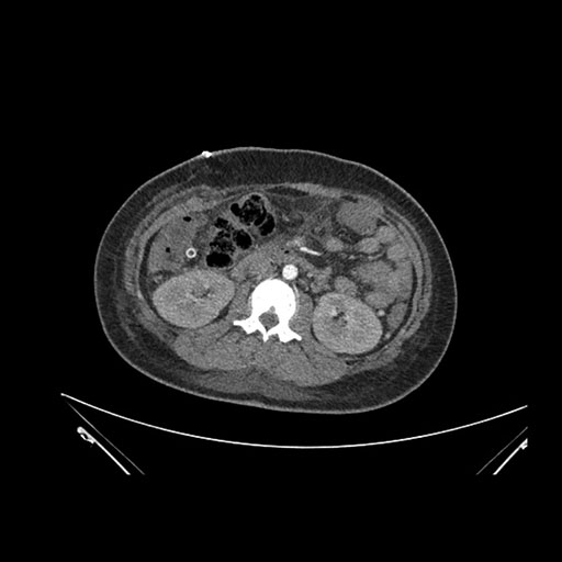
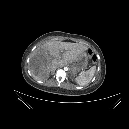
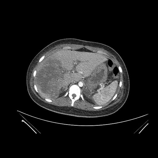
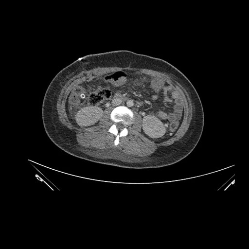
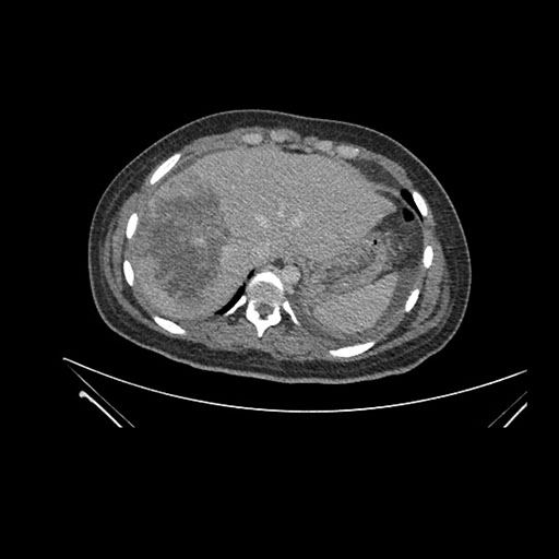
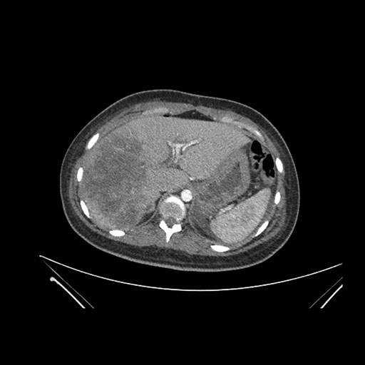
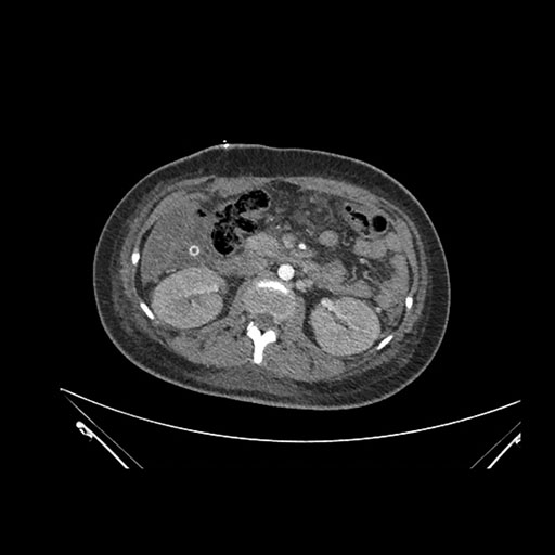
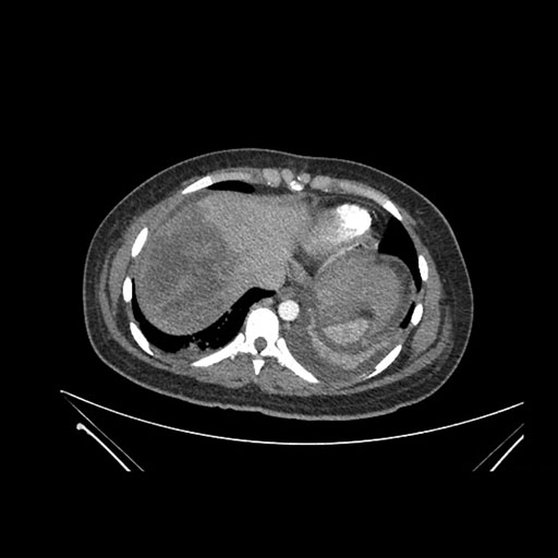
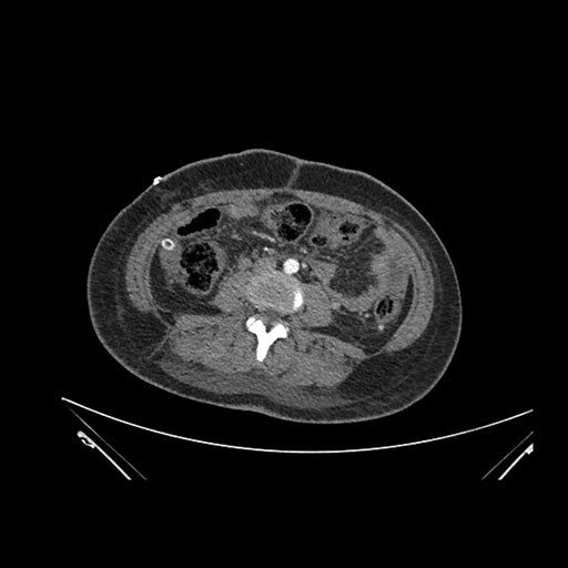
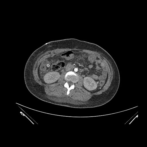
Axial Arterial
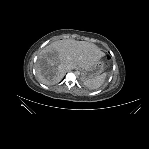
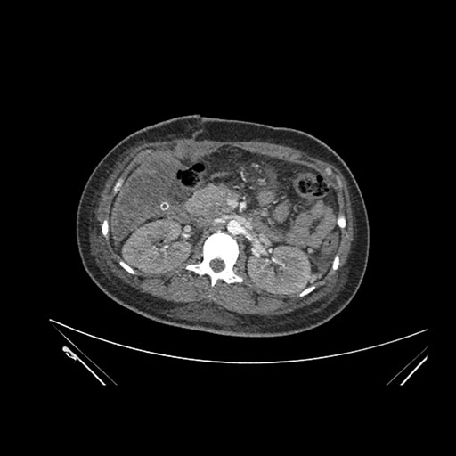
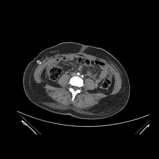
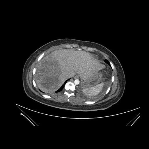
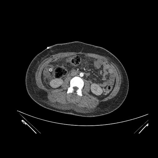
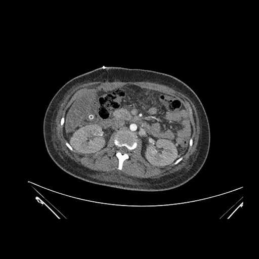
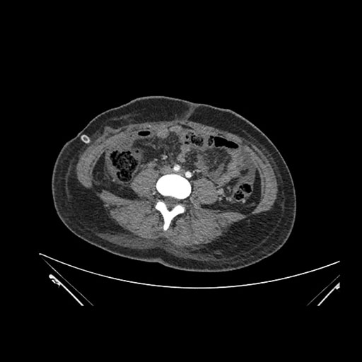
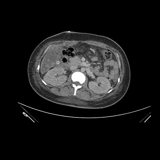
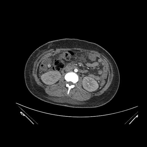
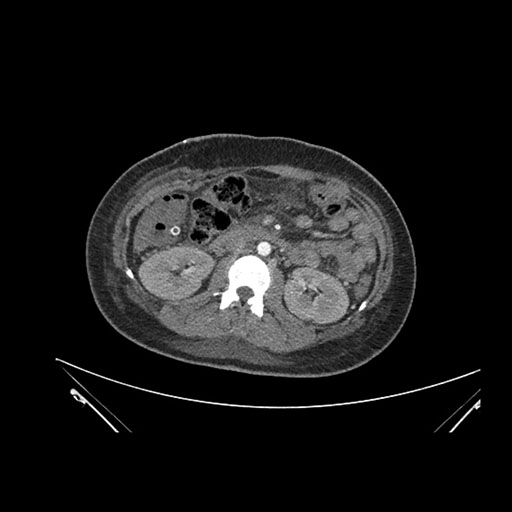
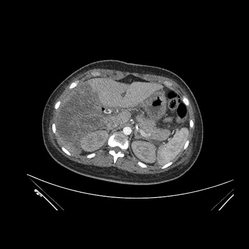
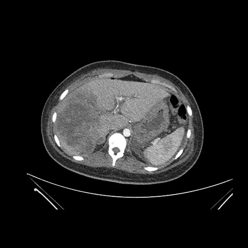
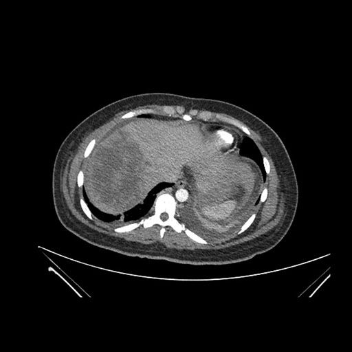
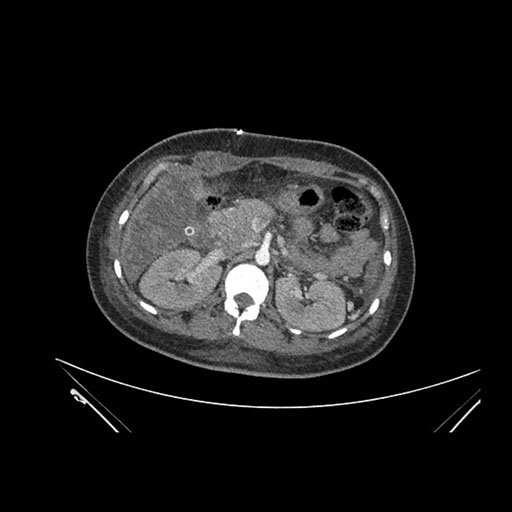
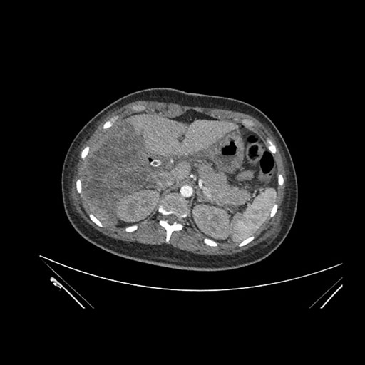
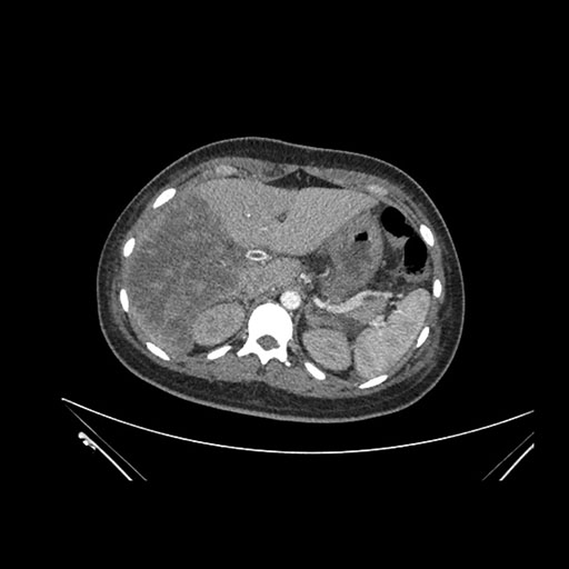
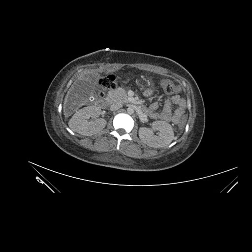
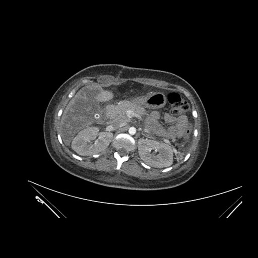
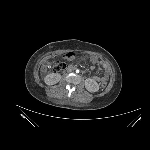
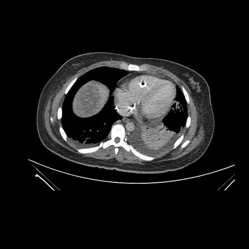
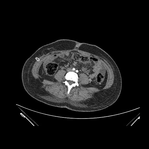
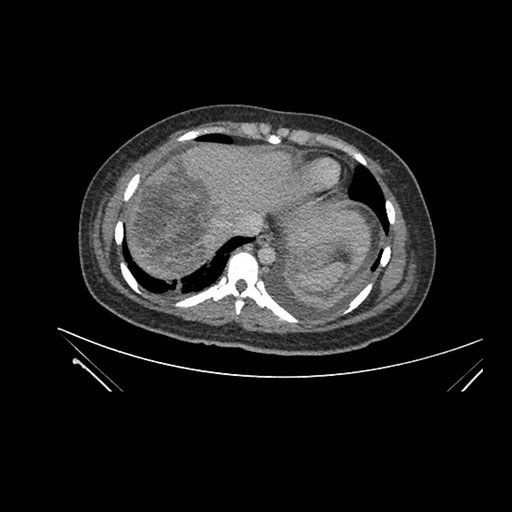
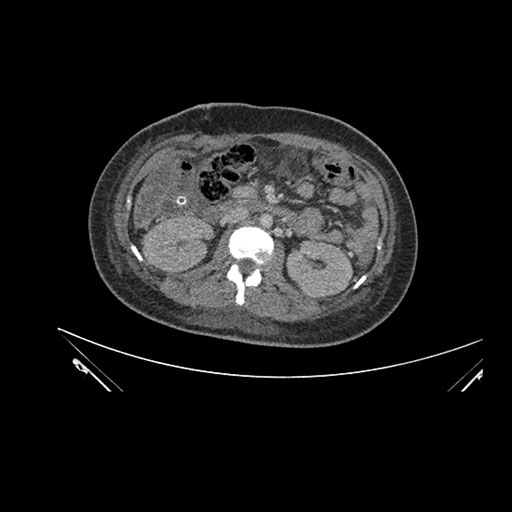
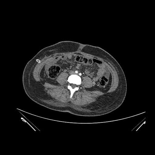
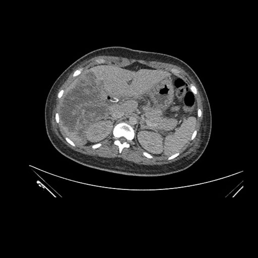
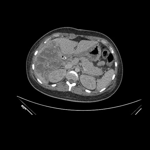
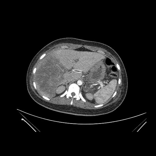
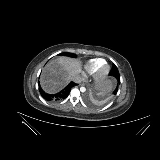
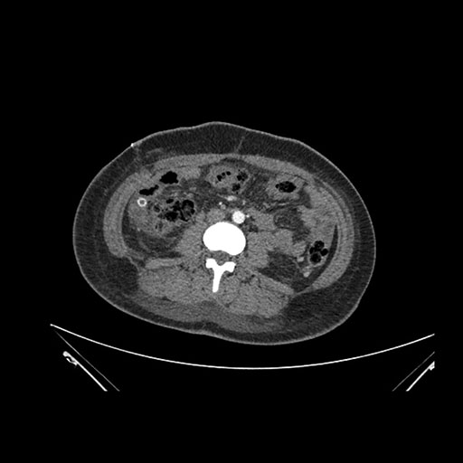
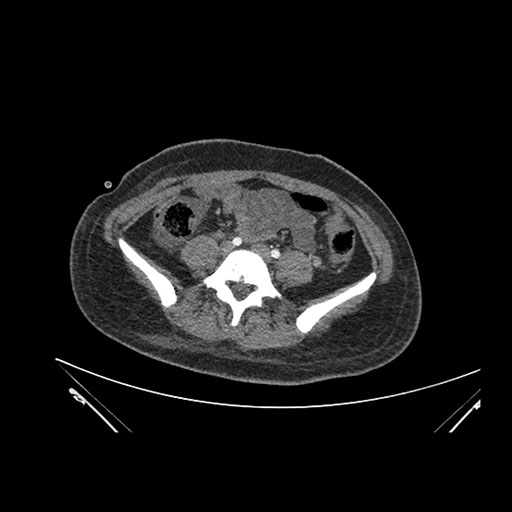
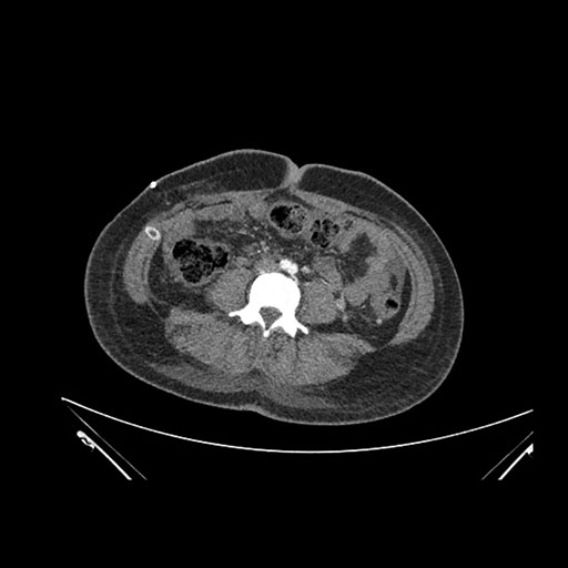
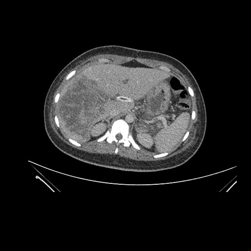
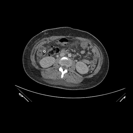
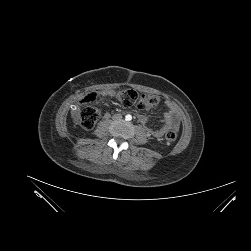
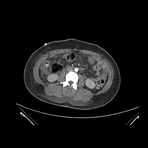
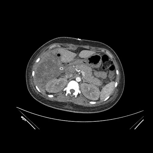
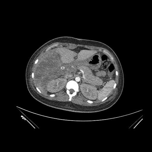
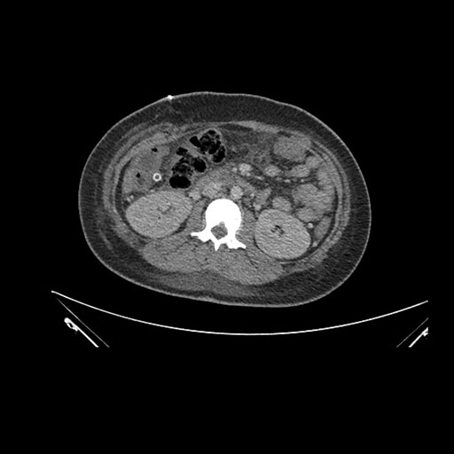
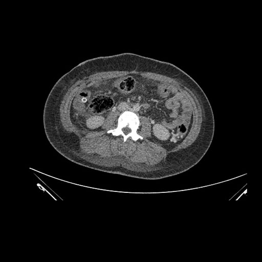
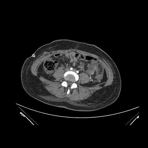
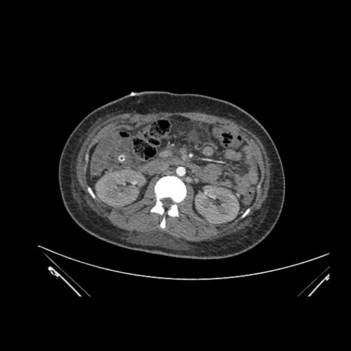
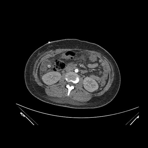
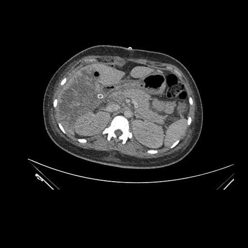
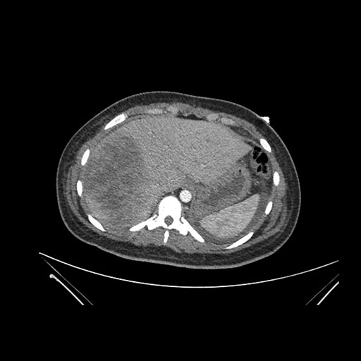
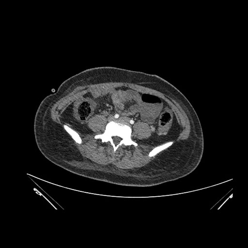
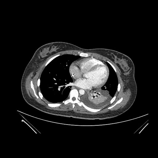
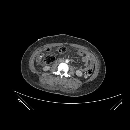
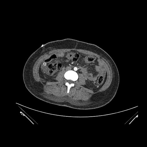
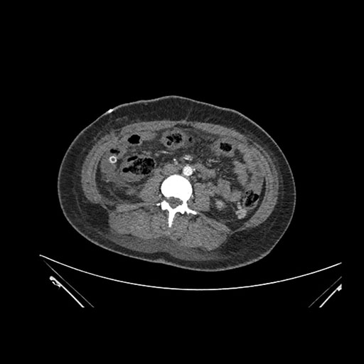
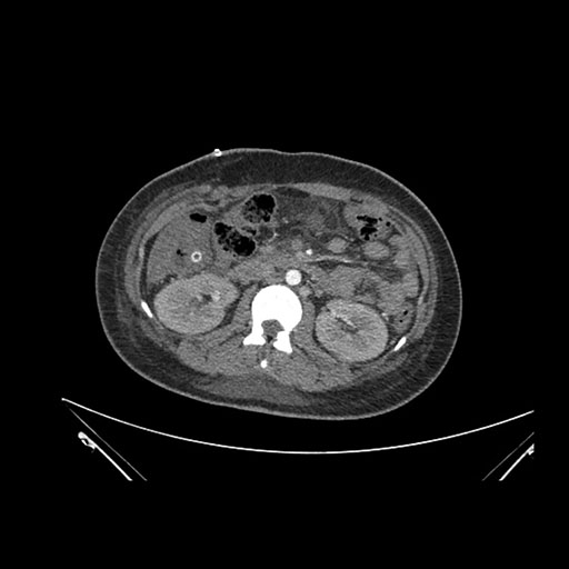
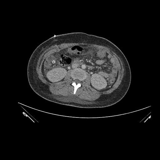
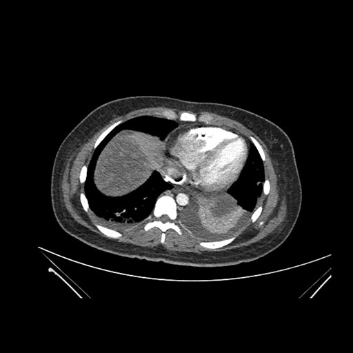
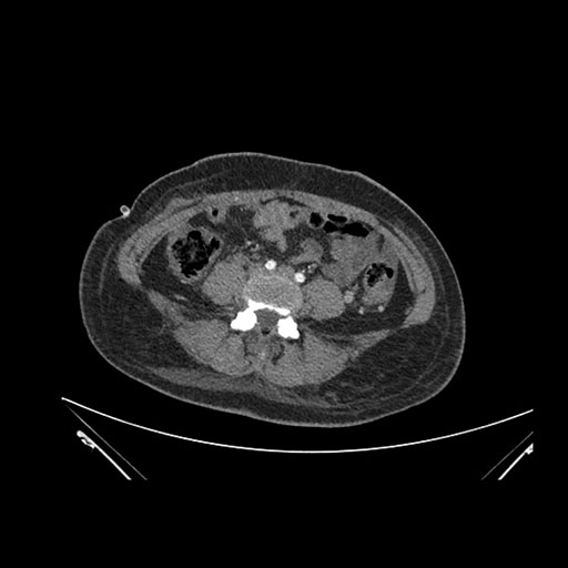
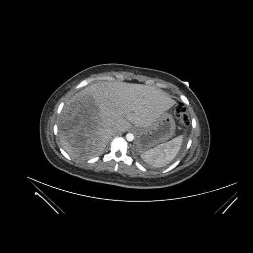
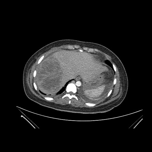
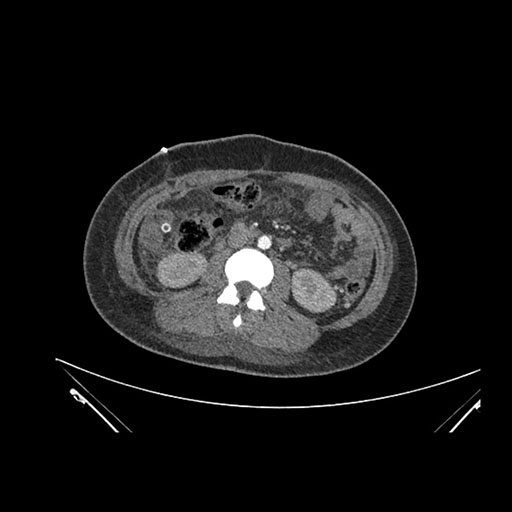
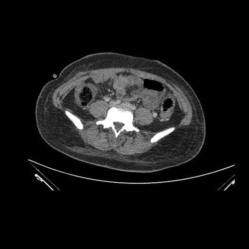
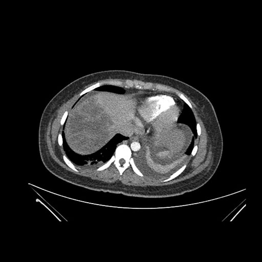
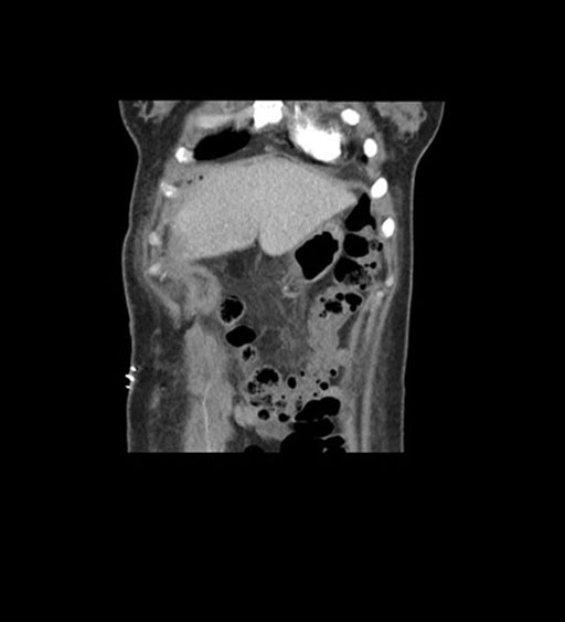
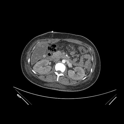
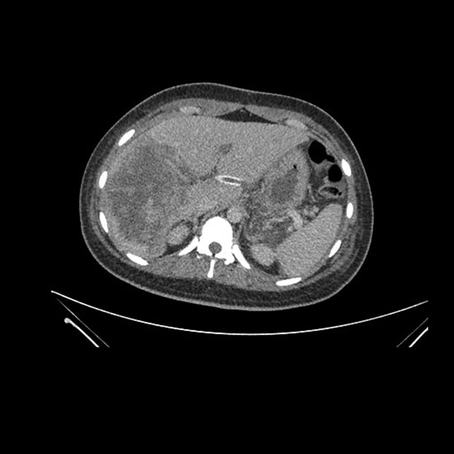
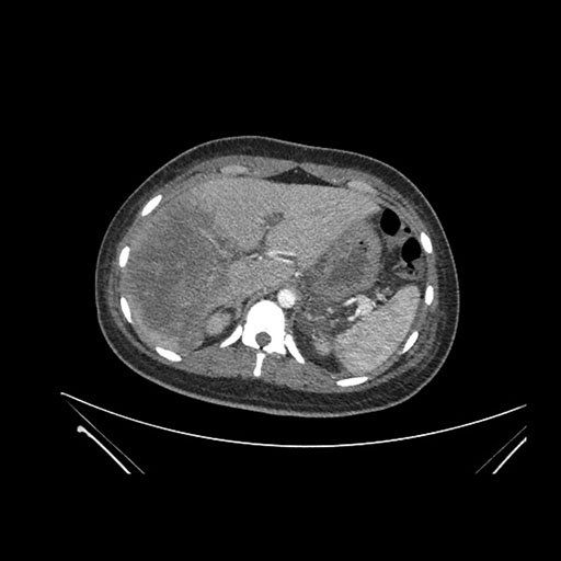
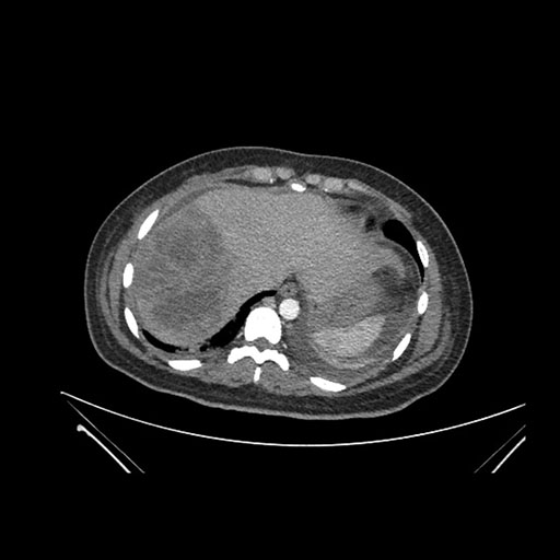
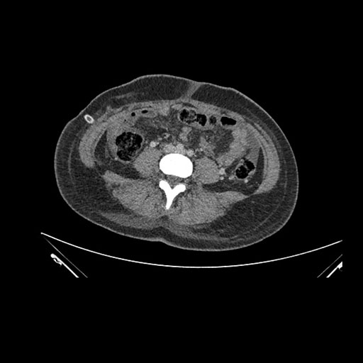
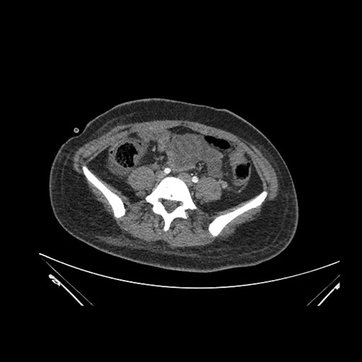
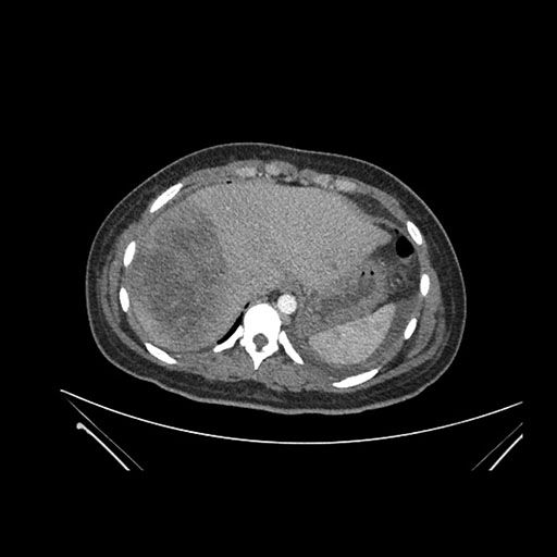
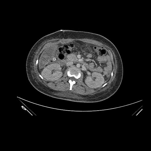
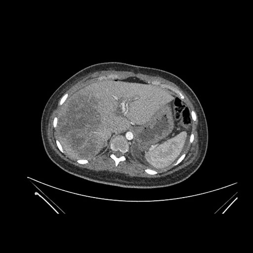
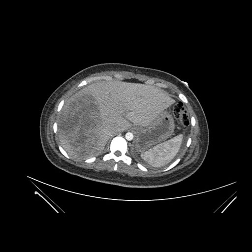
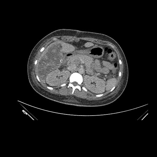
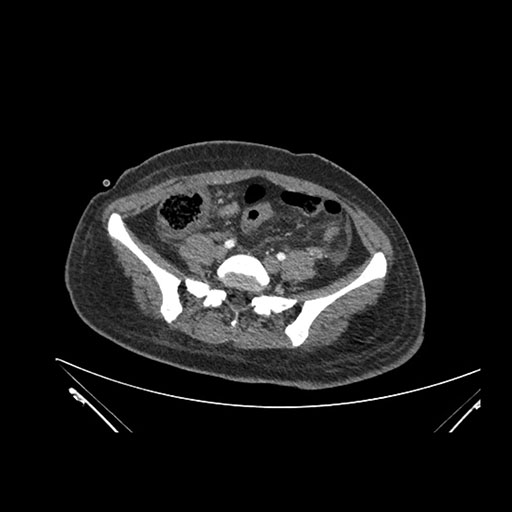
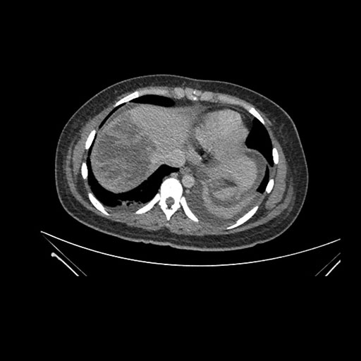
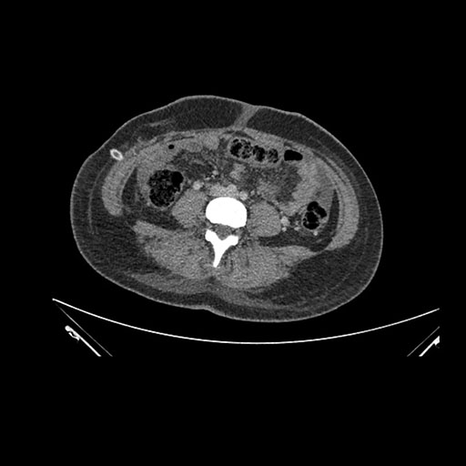
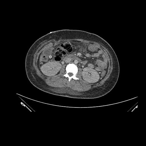
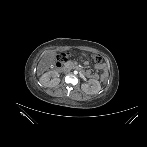
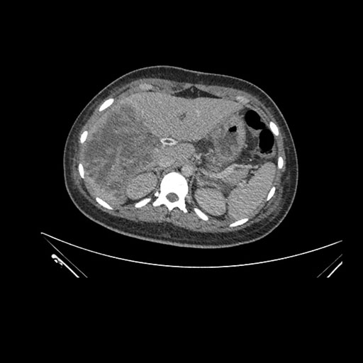
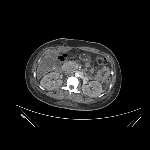
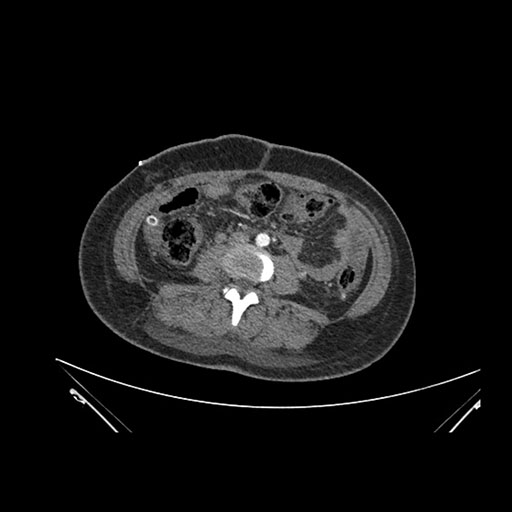
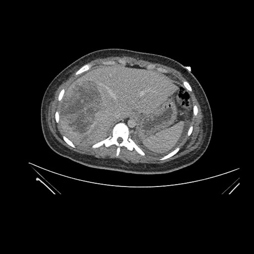
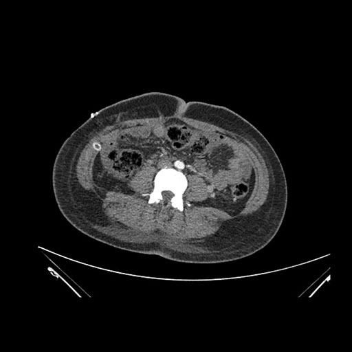
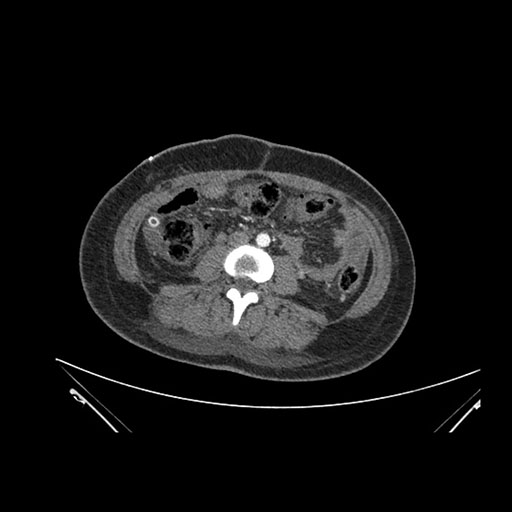
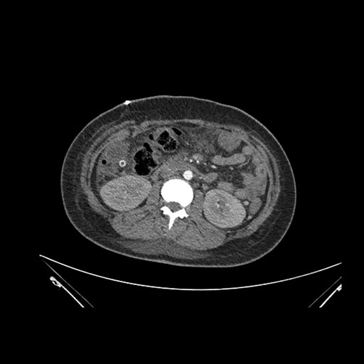
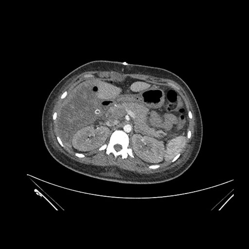
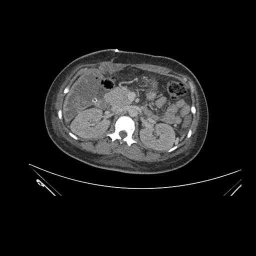
Axial Venous
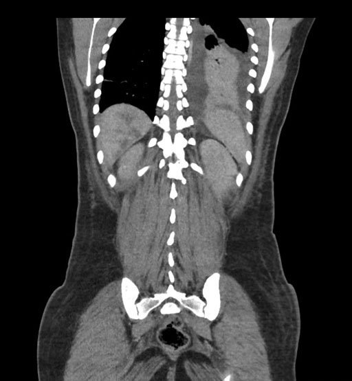
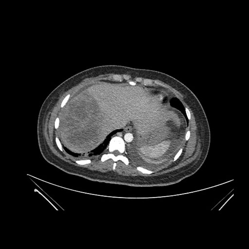
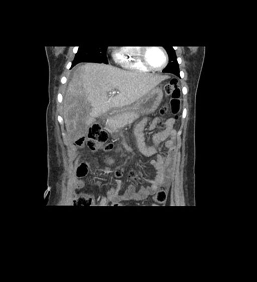
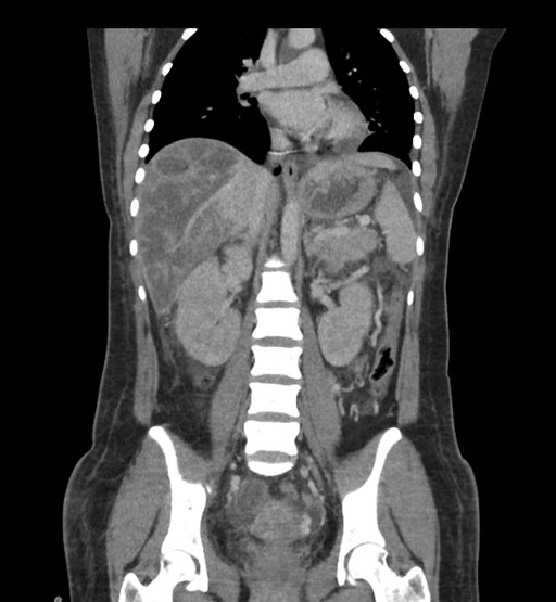
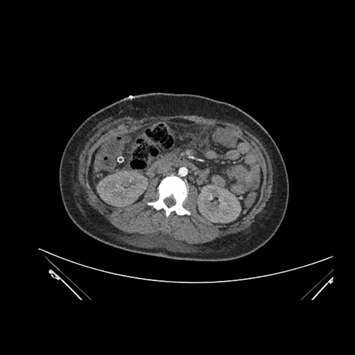
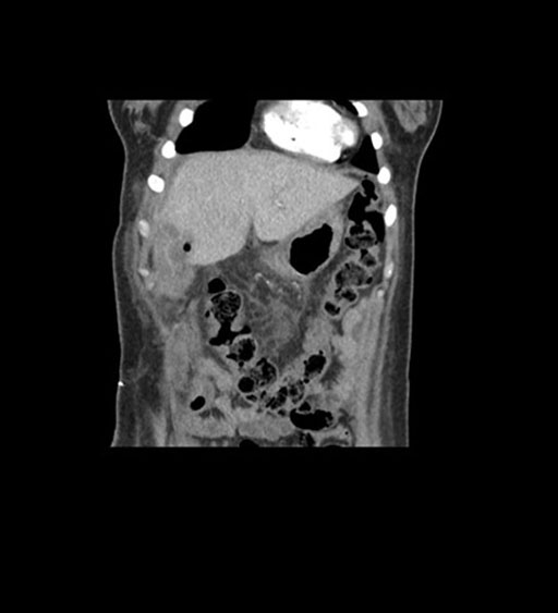
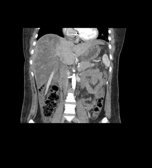
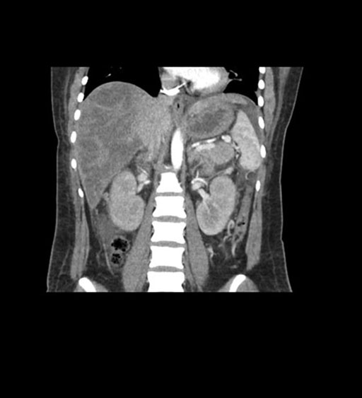
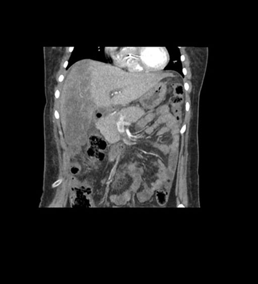
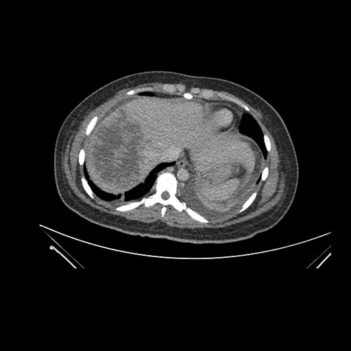
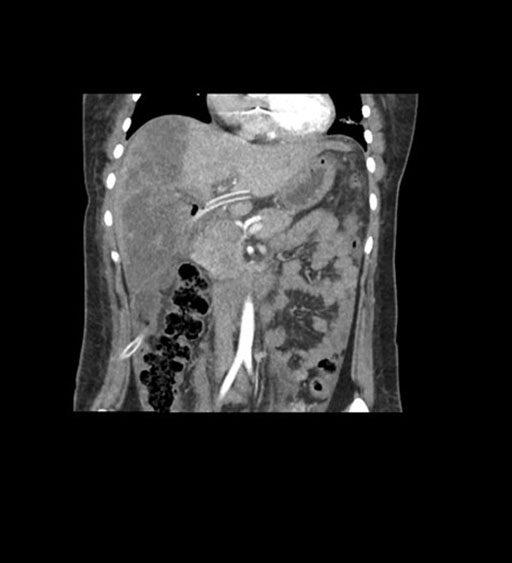
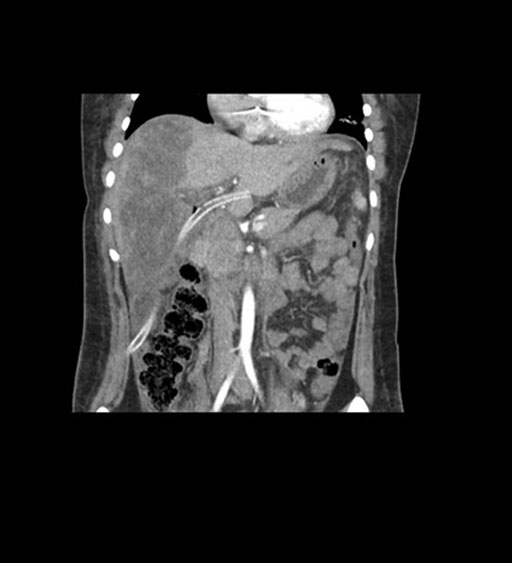
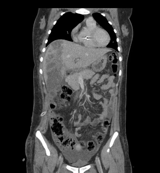
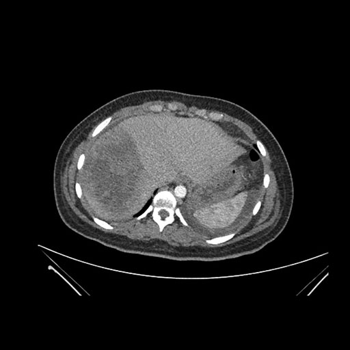
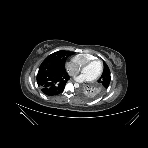
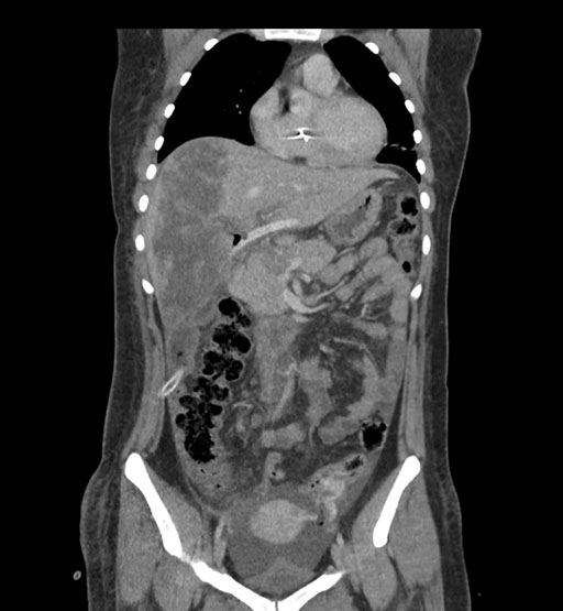
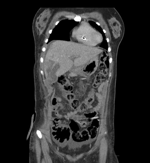
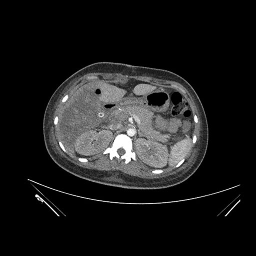
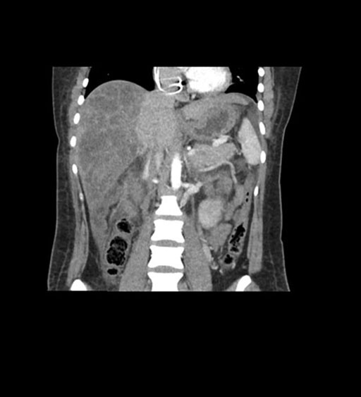
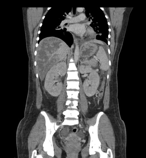
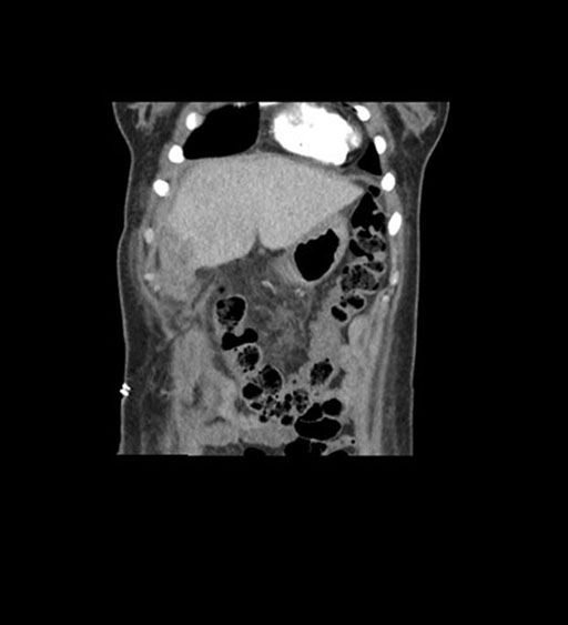
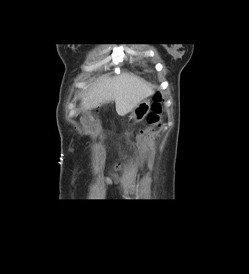
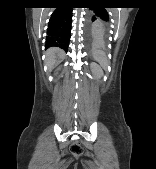
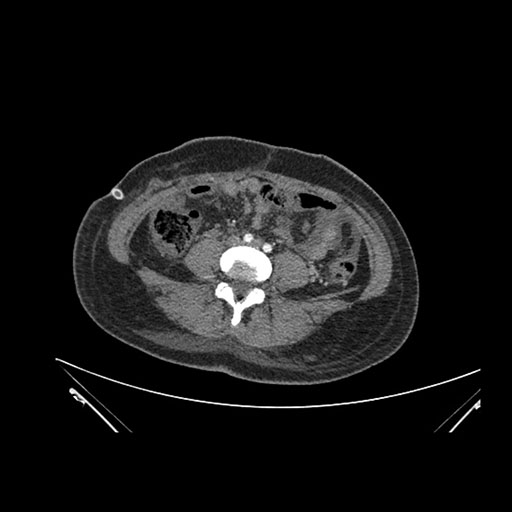
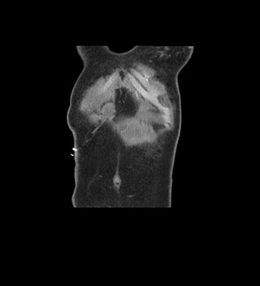
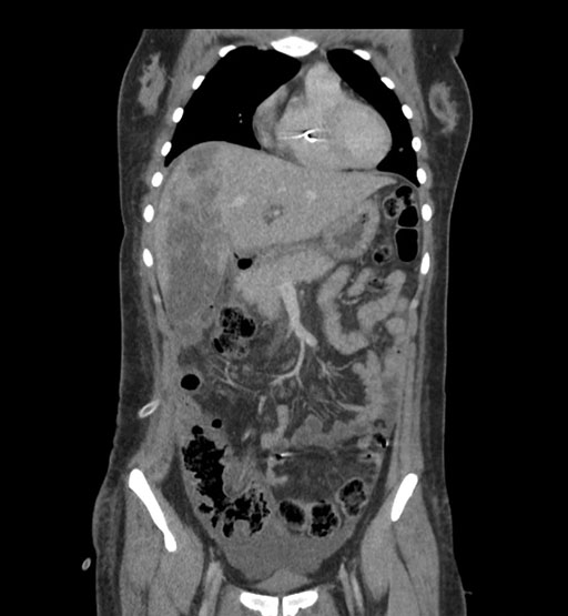
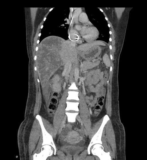
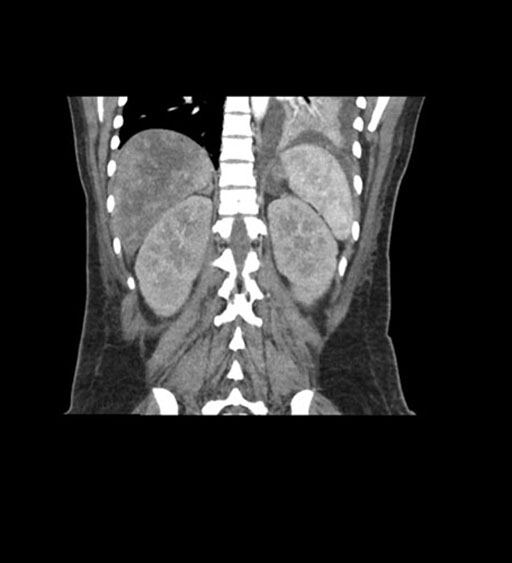
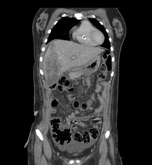
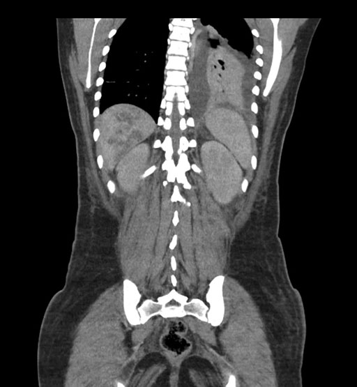
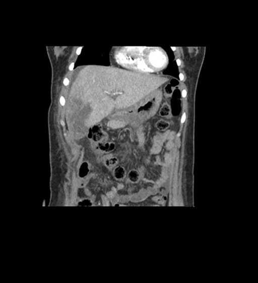
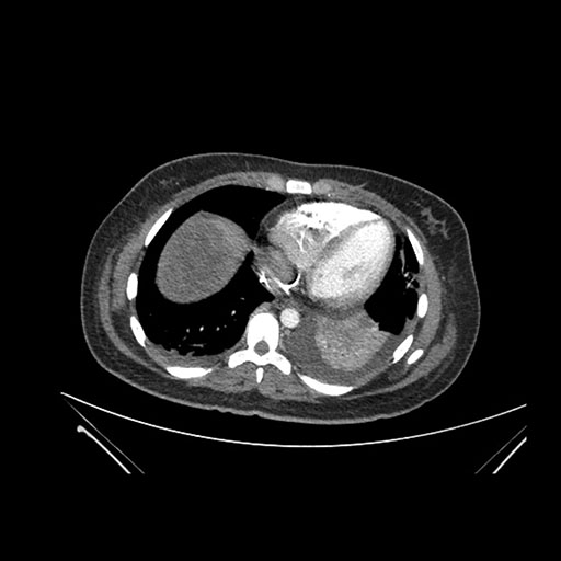
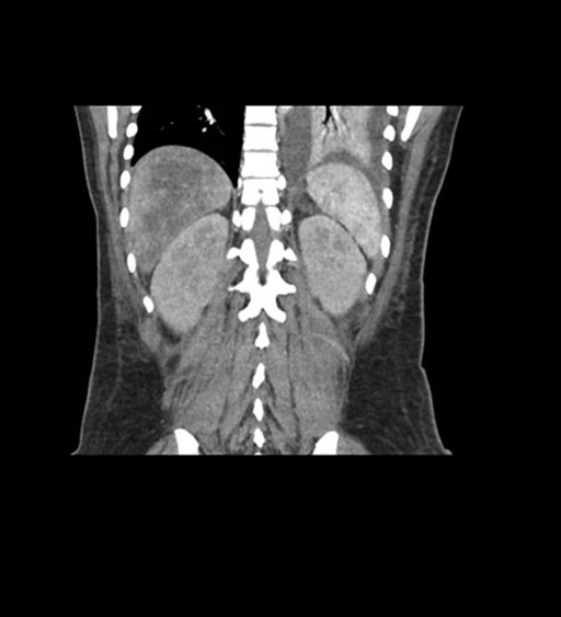
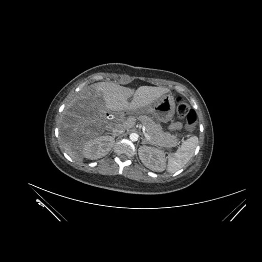
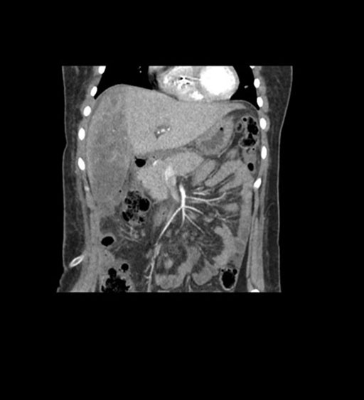
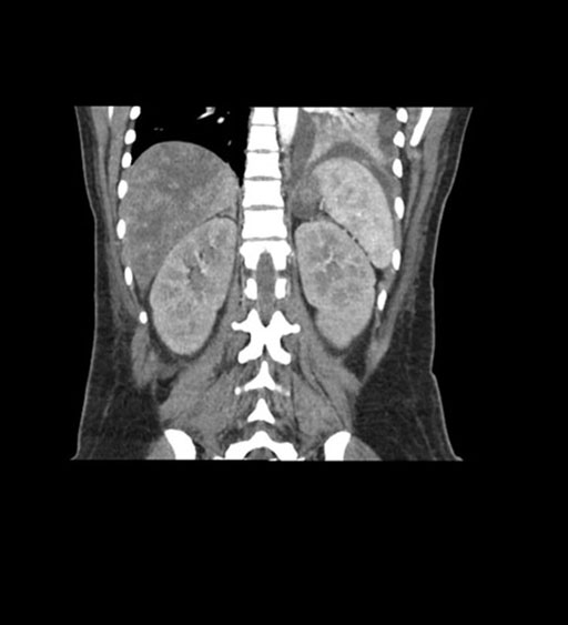
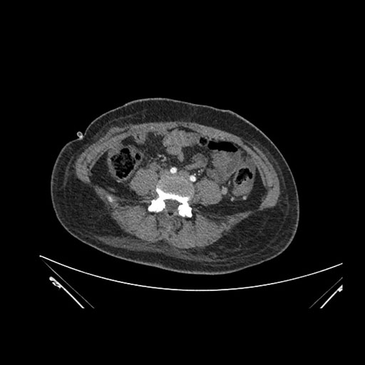
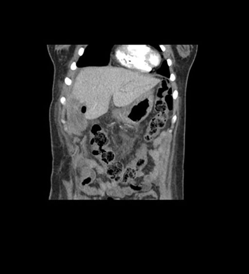
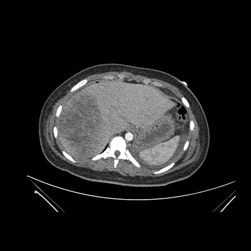
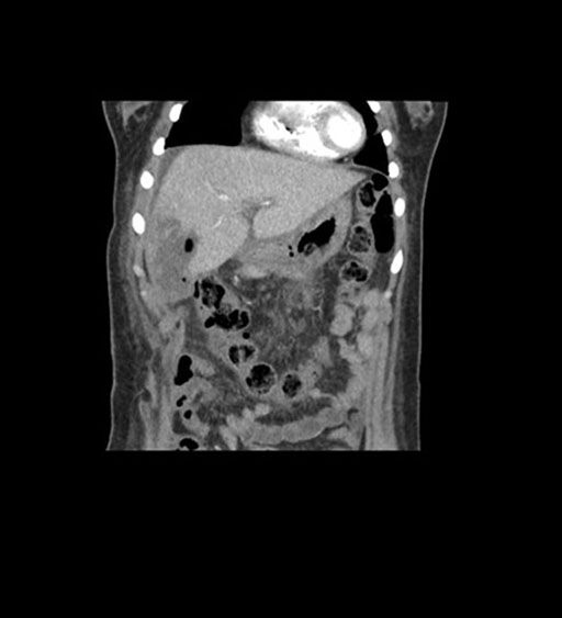
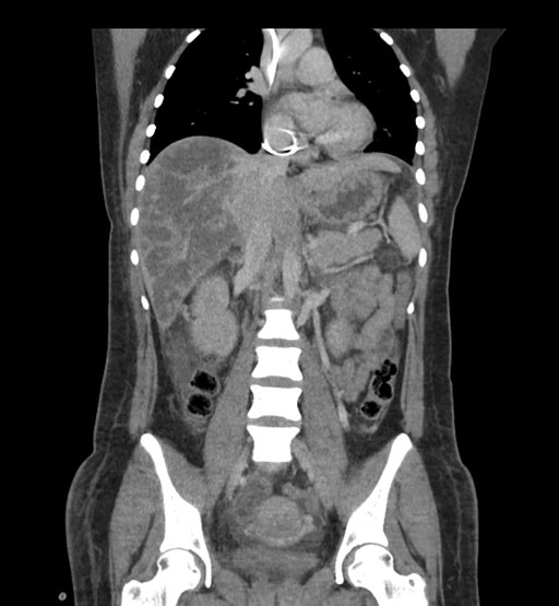
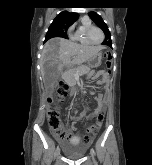
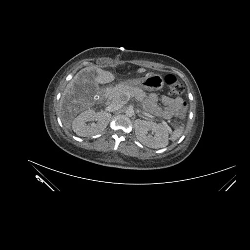
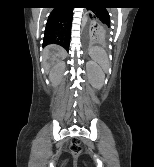
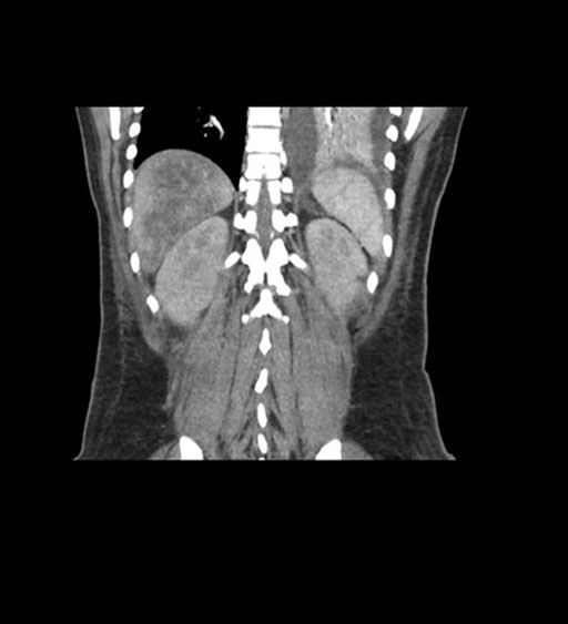
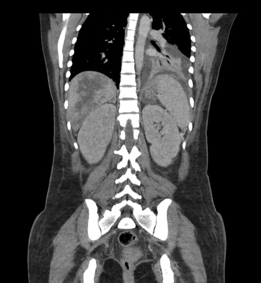
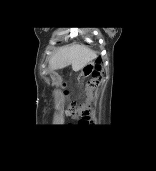
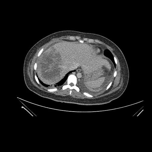
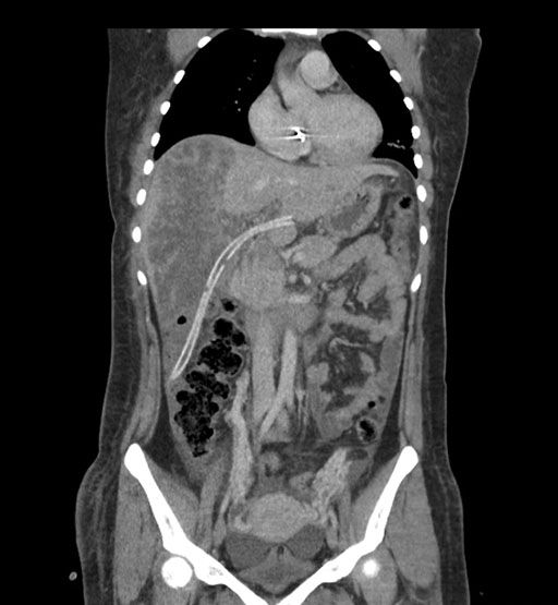
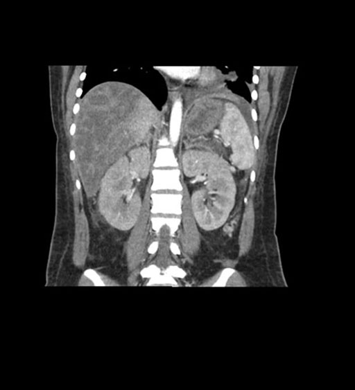
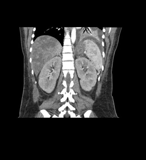
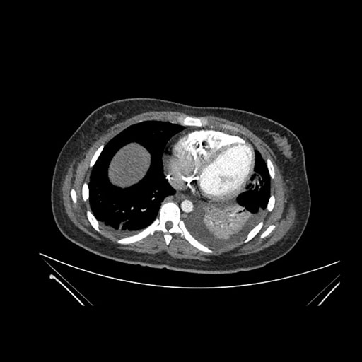
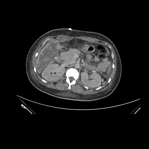
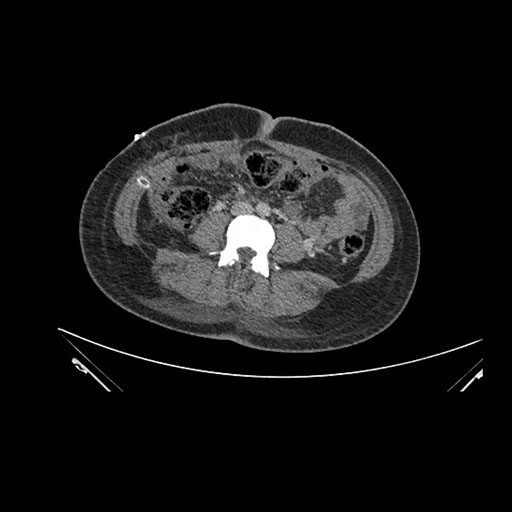
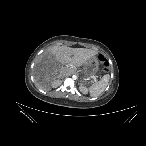
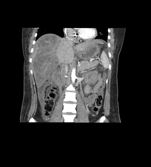
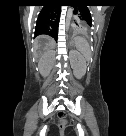
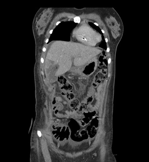
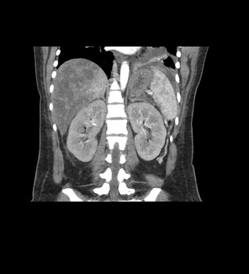
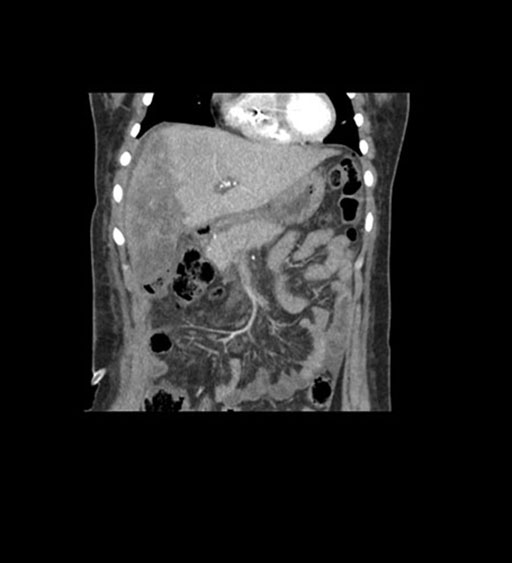
Coronal Arterial
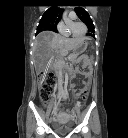
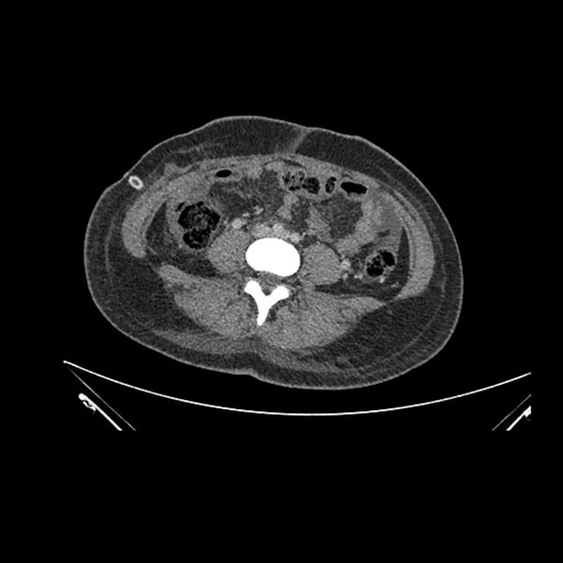
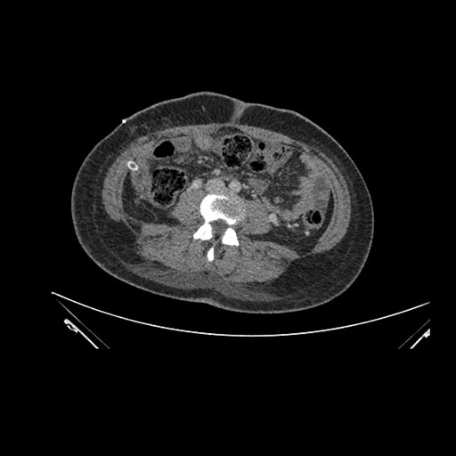
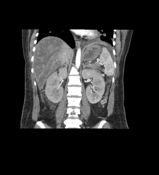
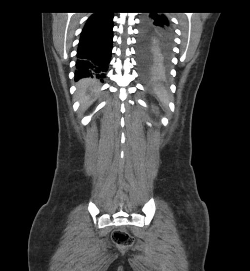
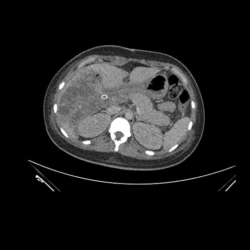
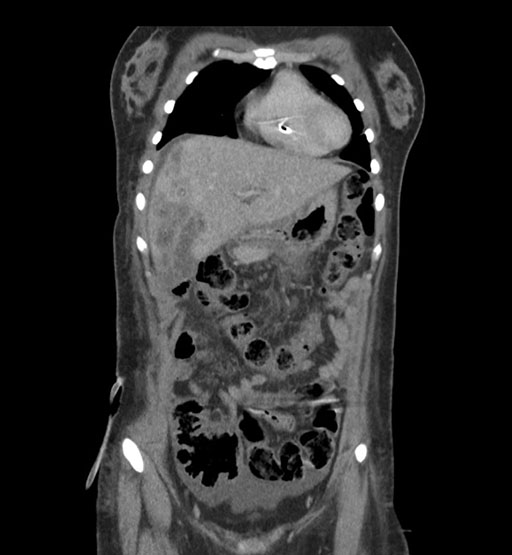
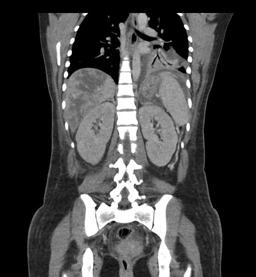
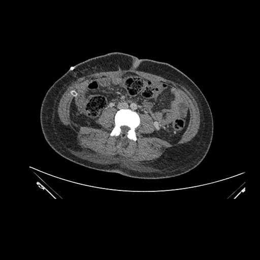
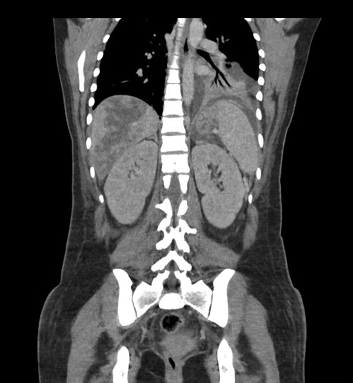
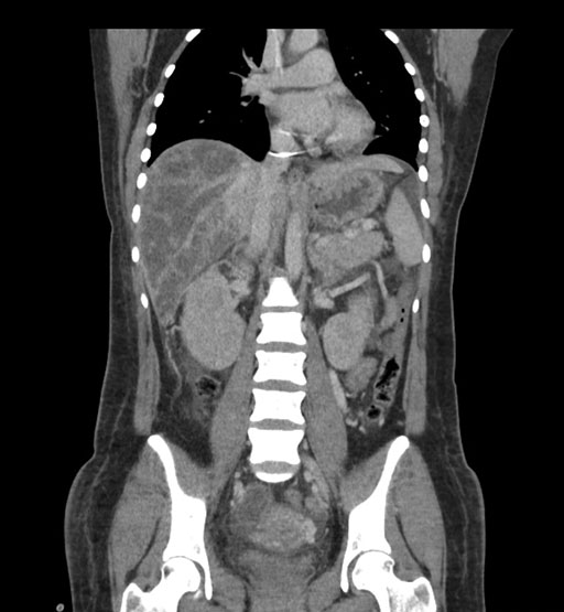
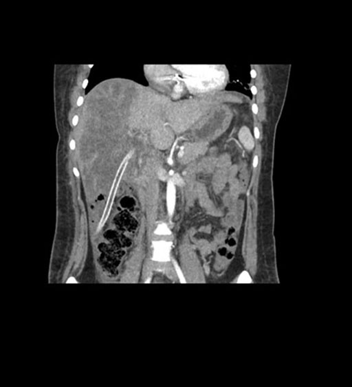
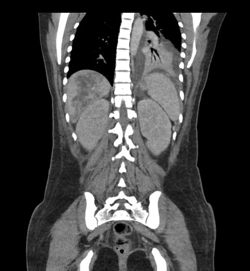
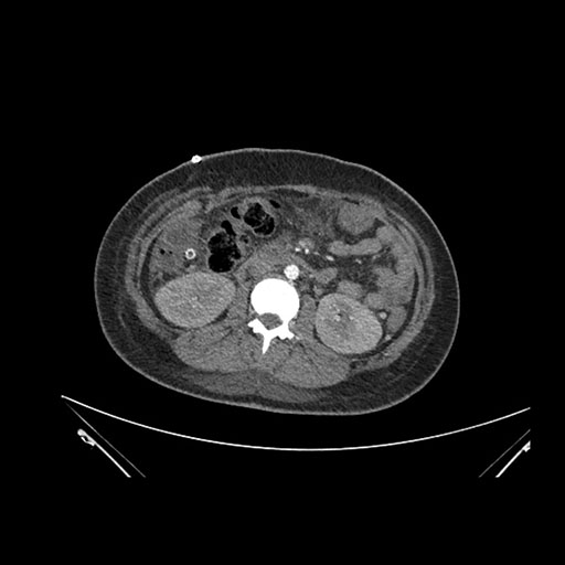
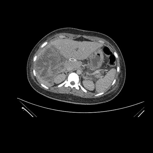
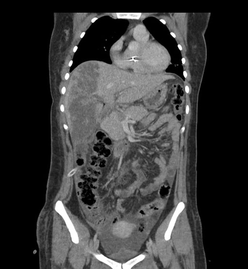
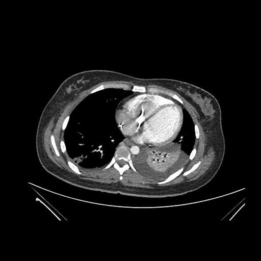
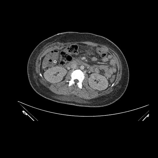
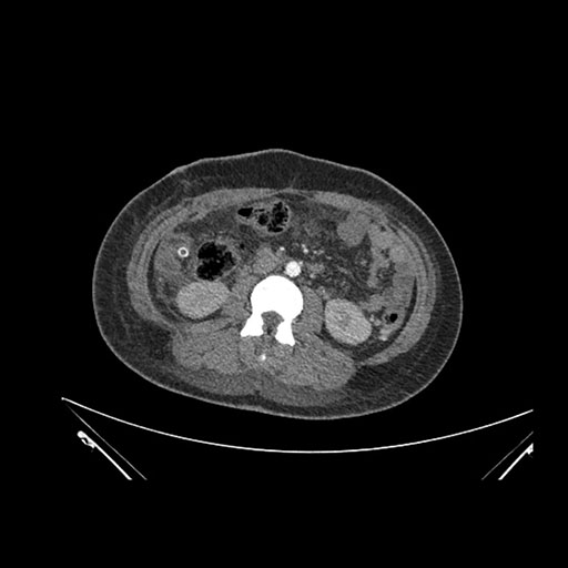
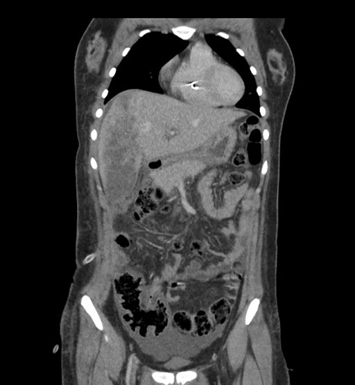
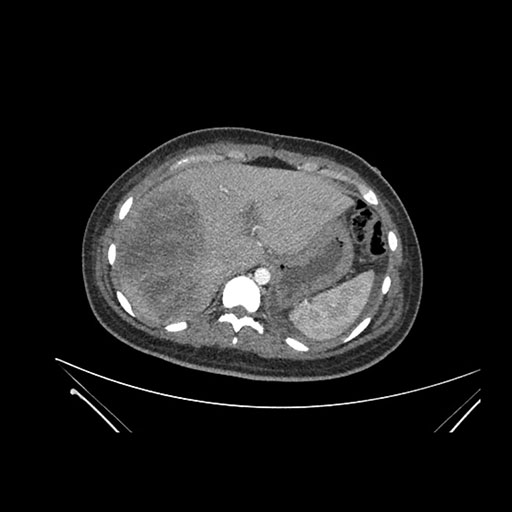
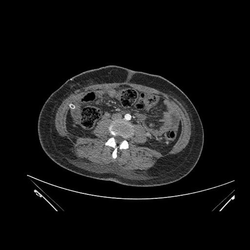
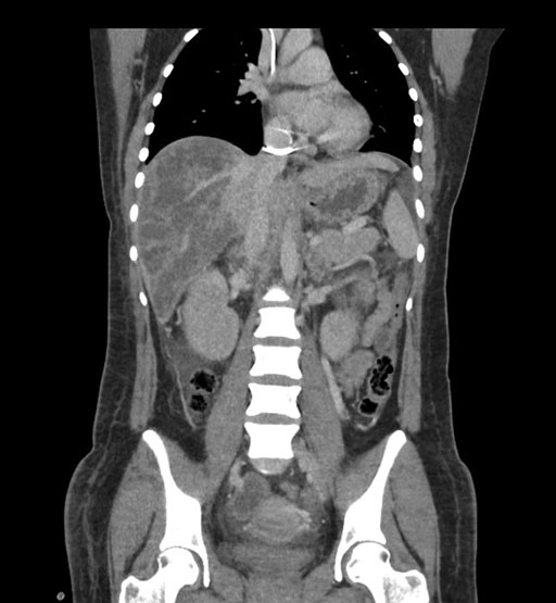
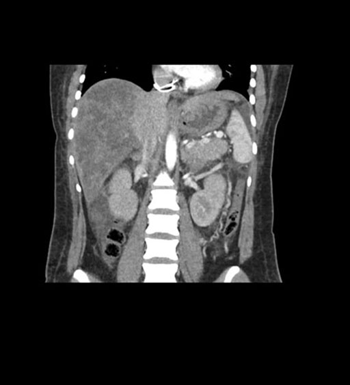
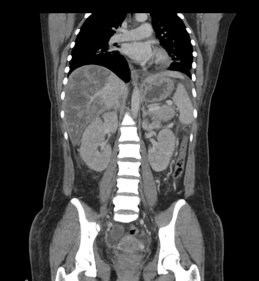
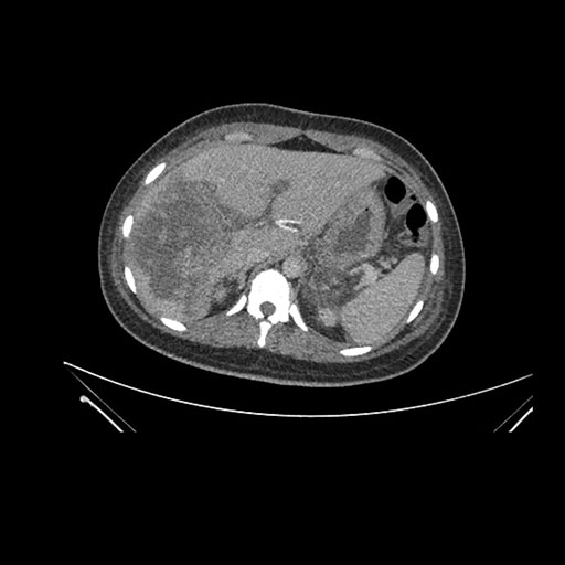
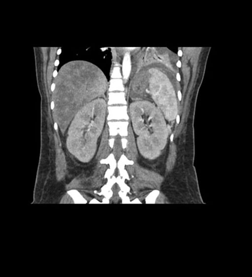
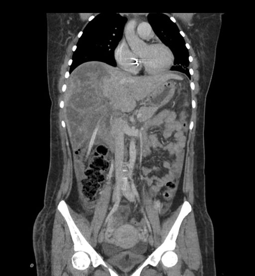
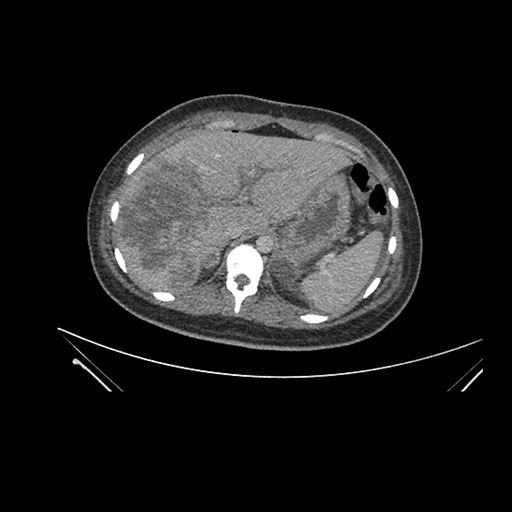
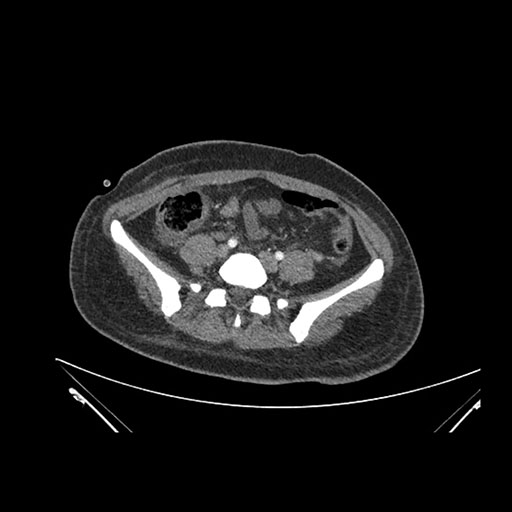
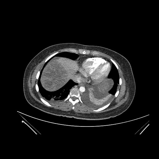
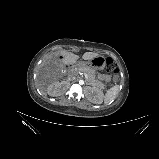
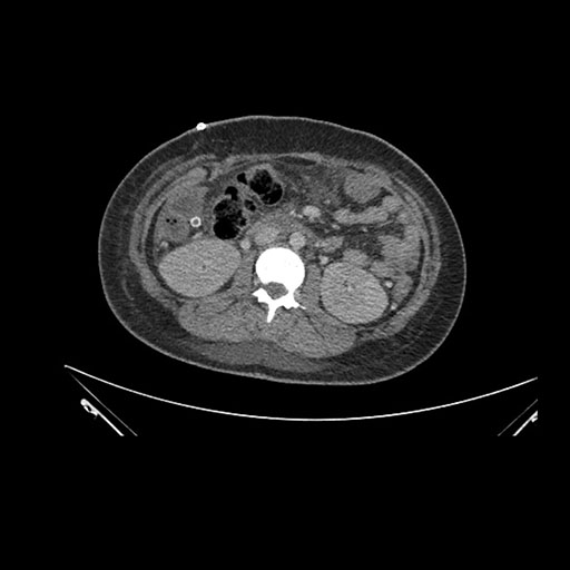
Coronal Venous
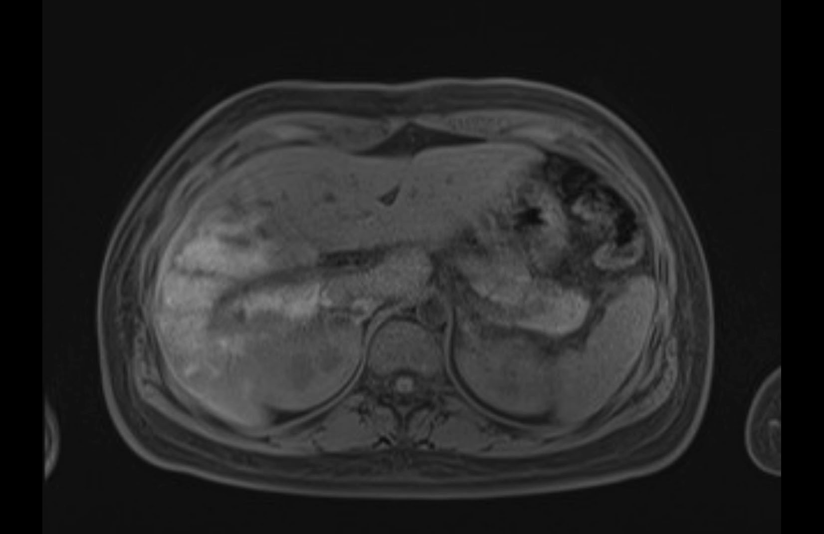
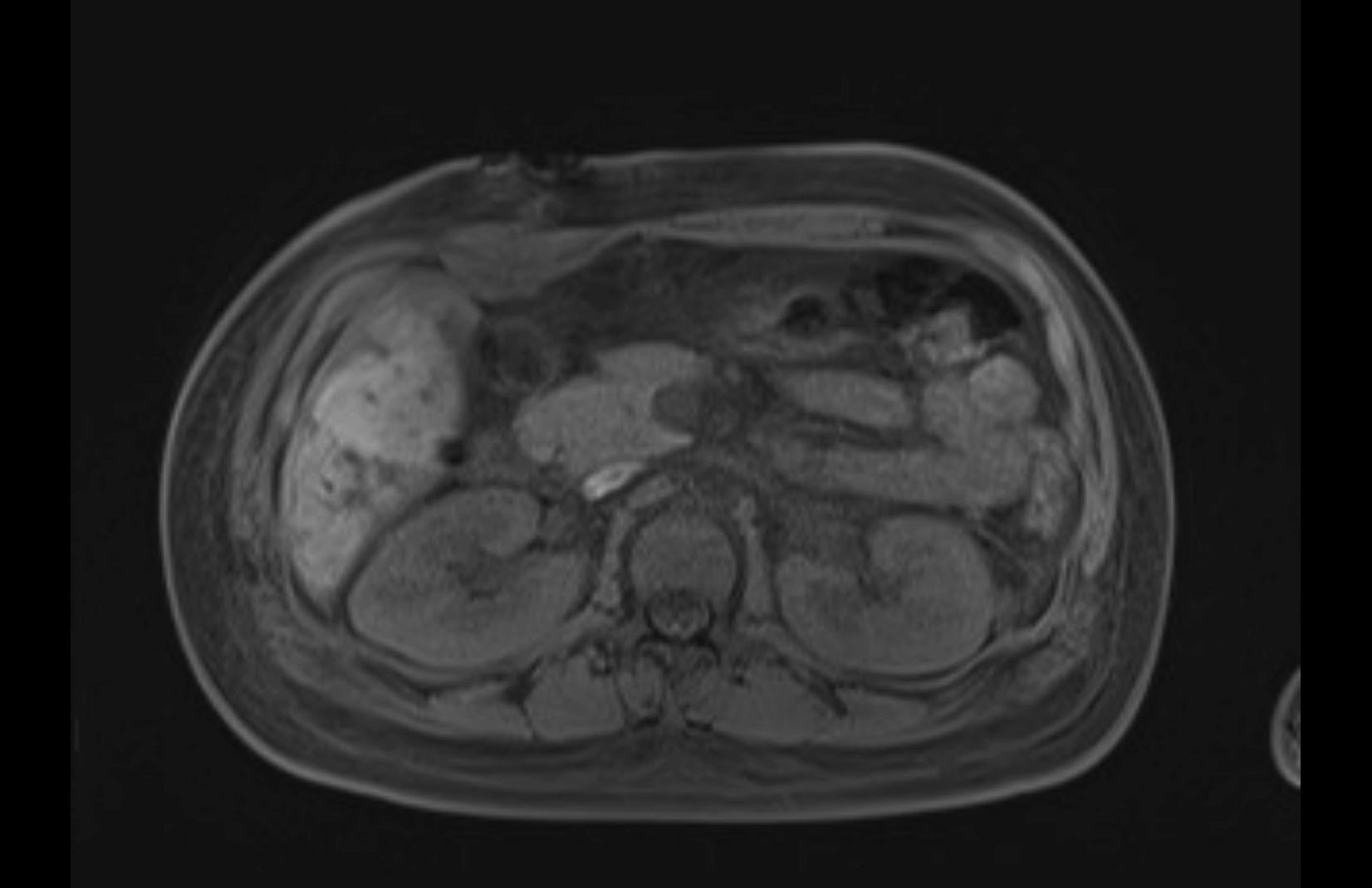
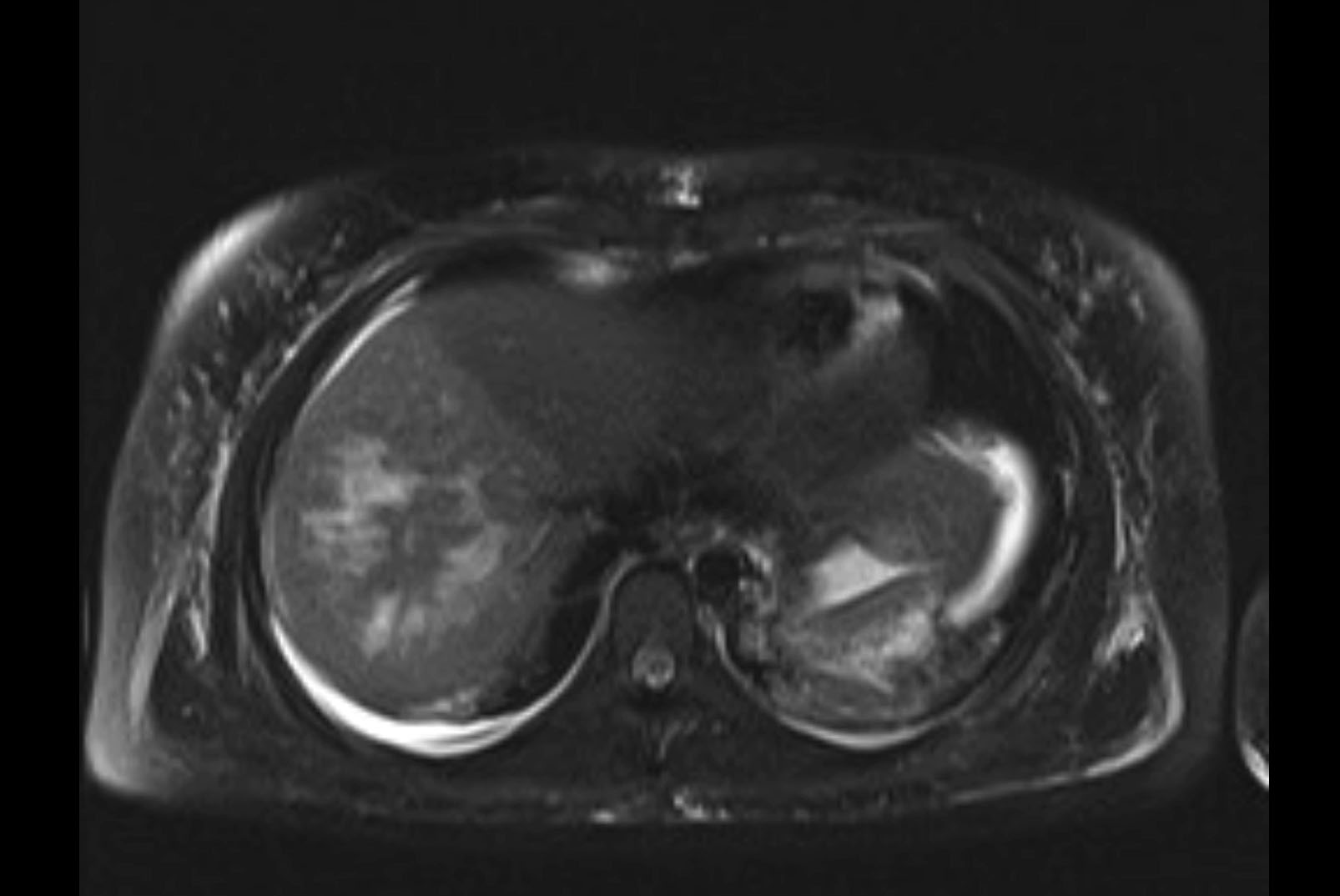
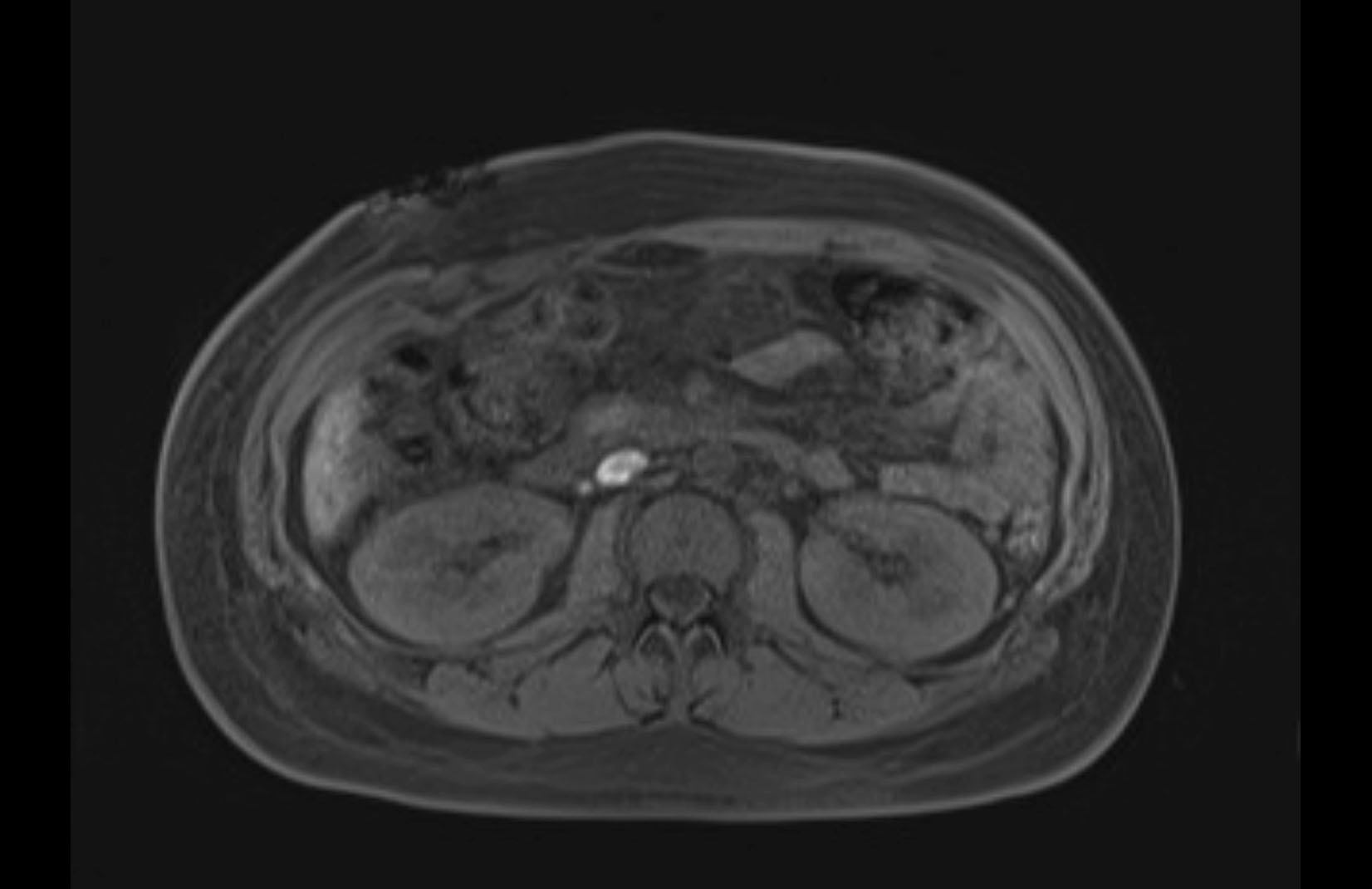
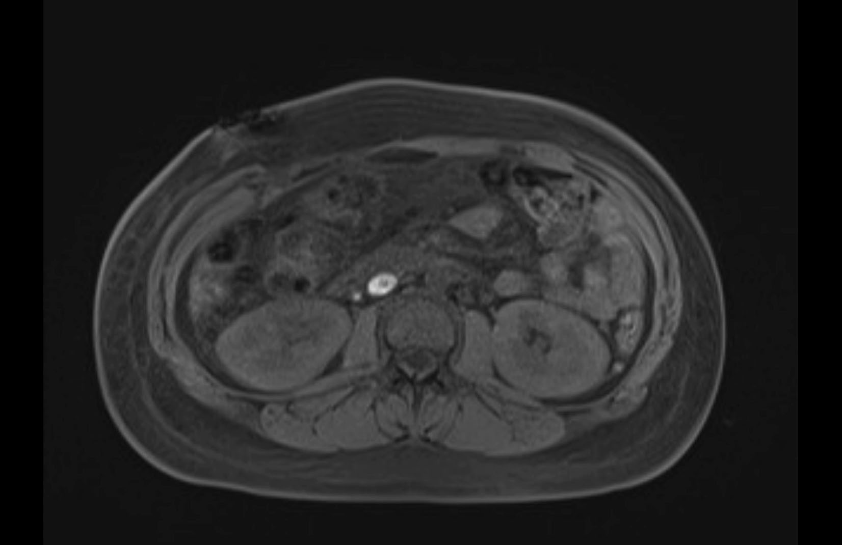
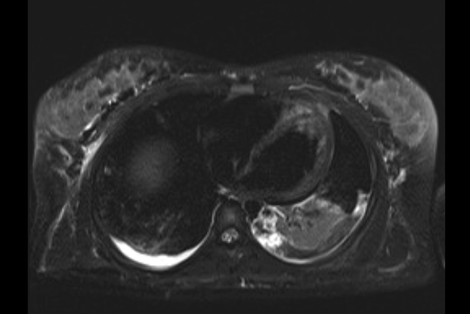
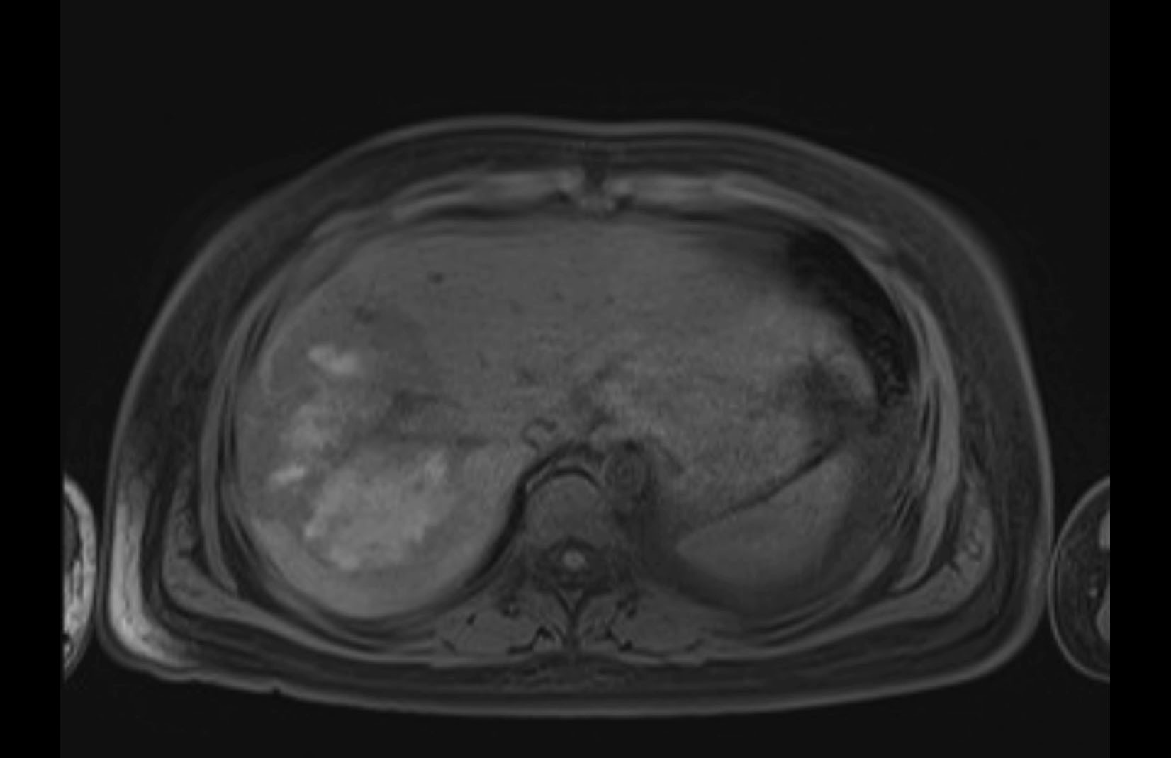
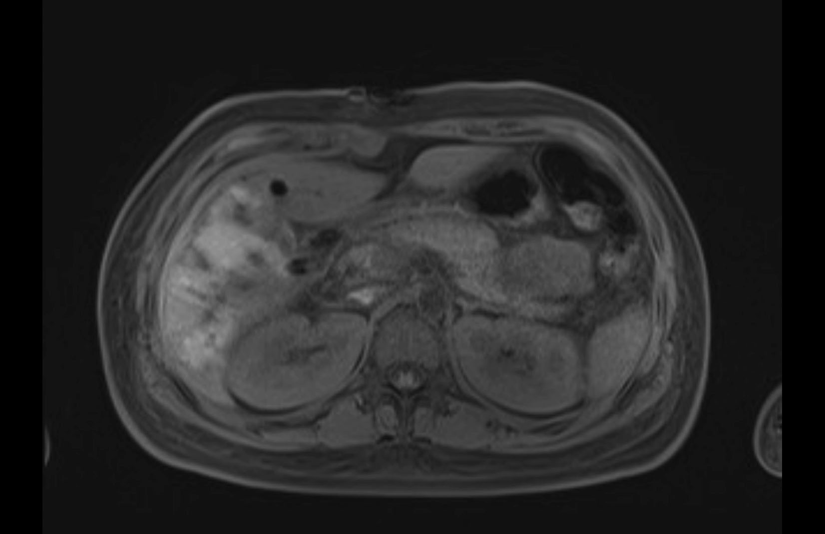
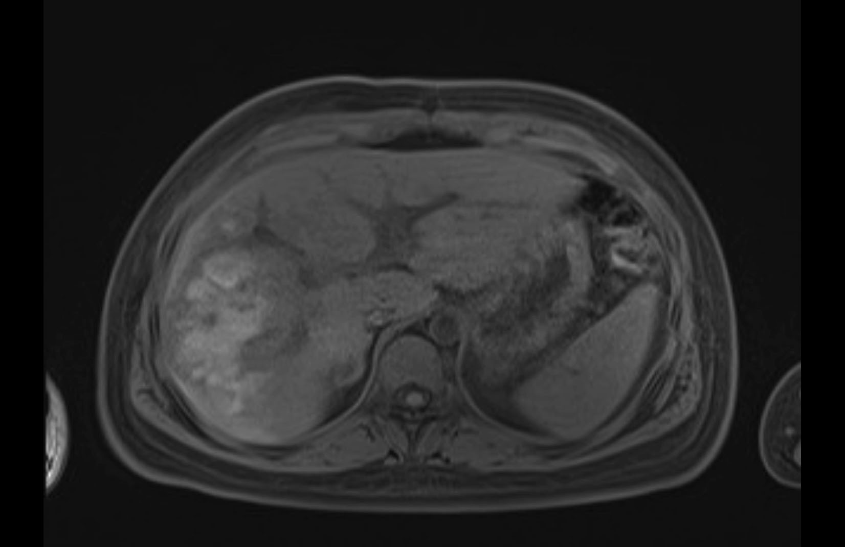
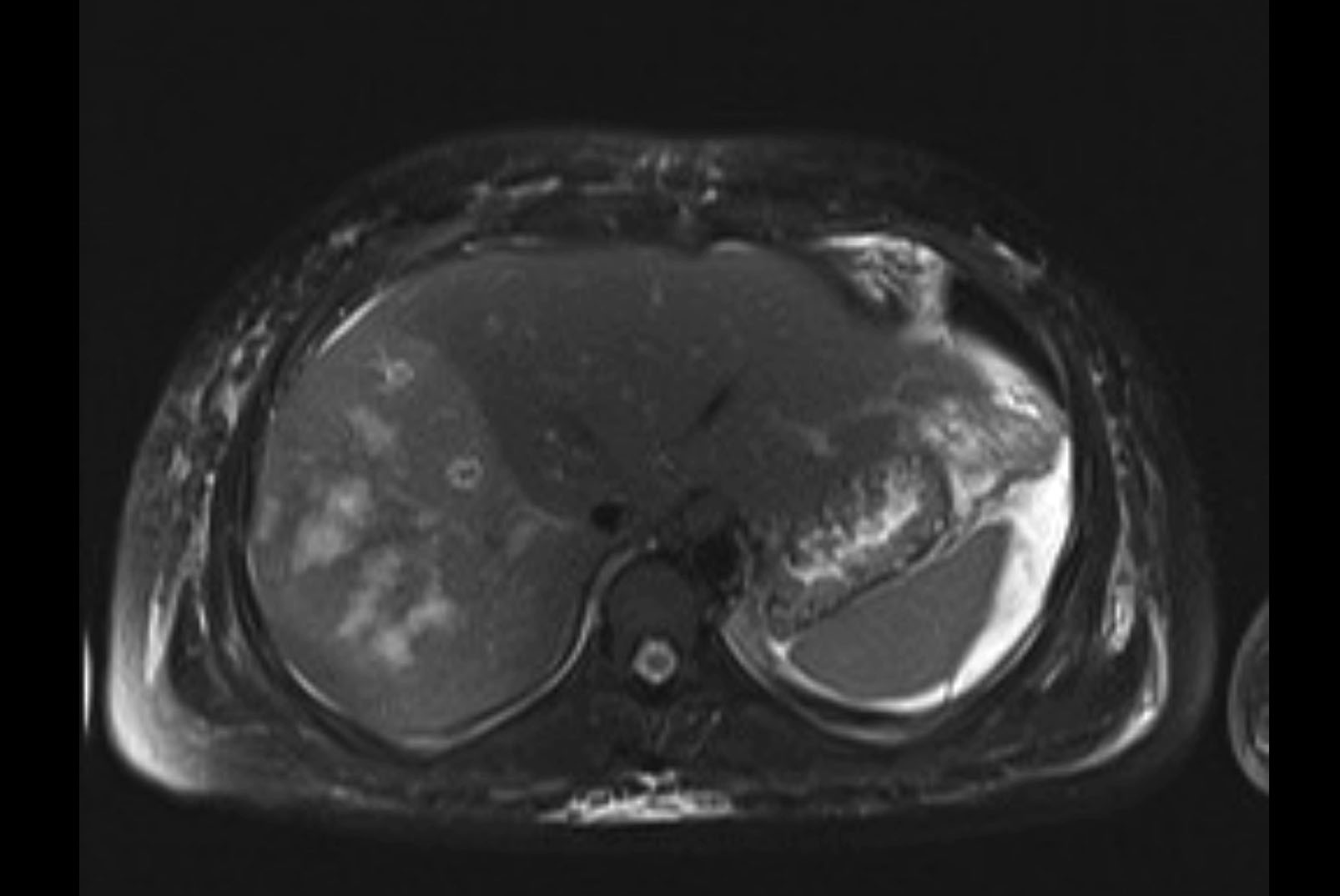
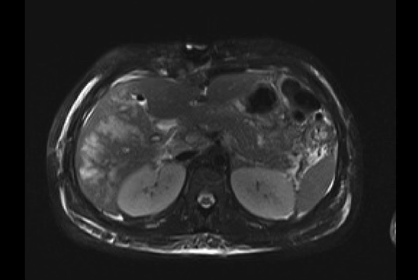
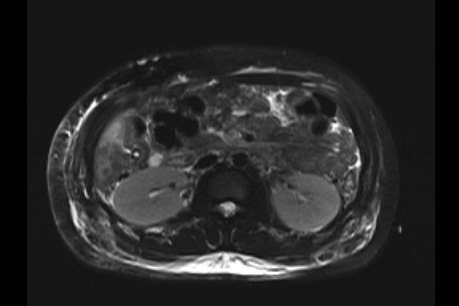
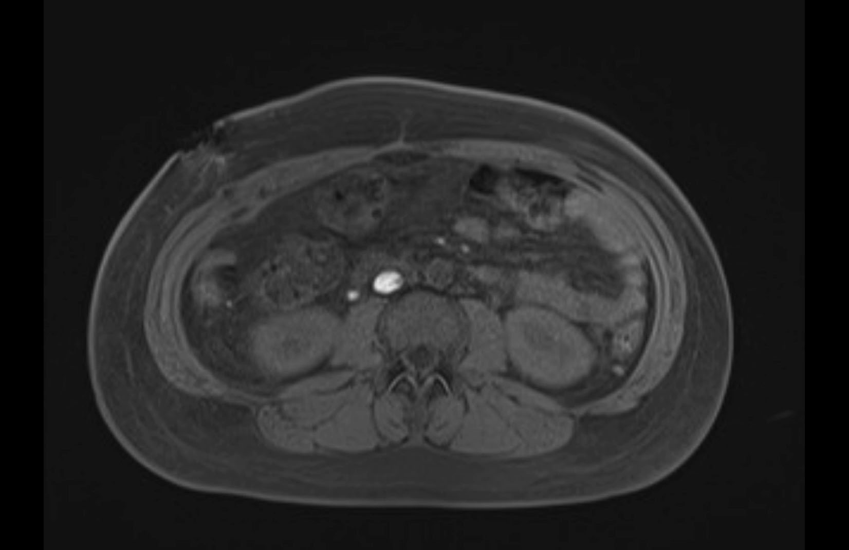
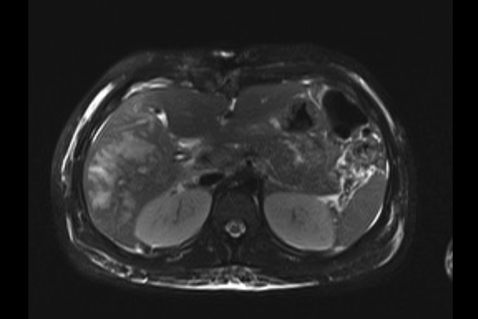
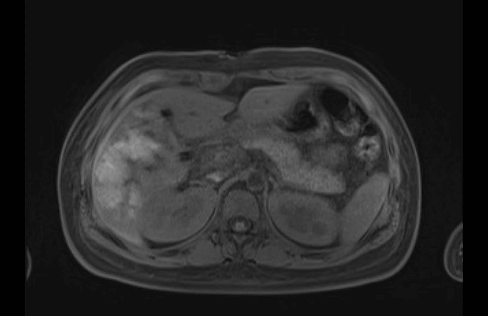
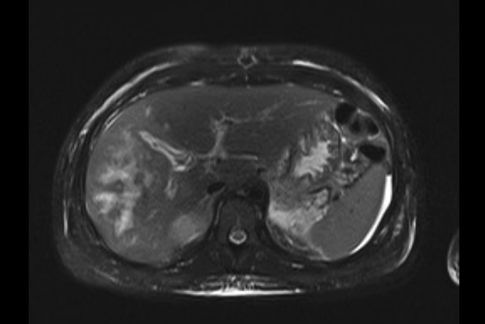
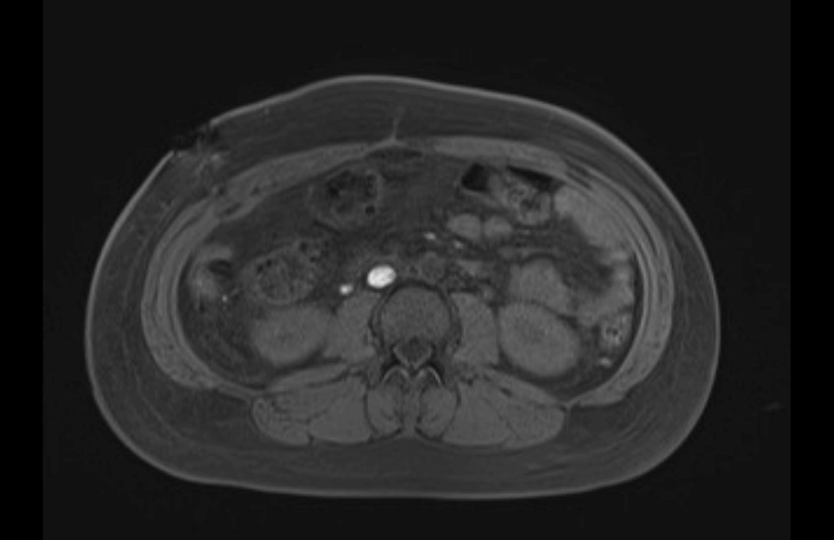
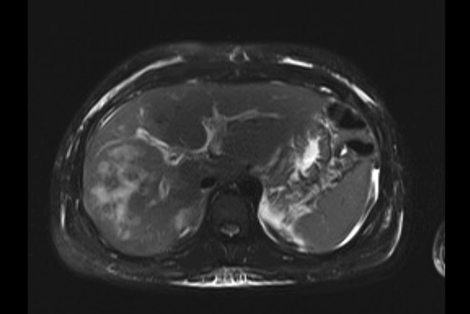
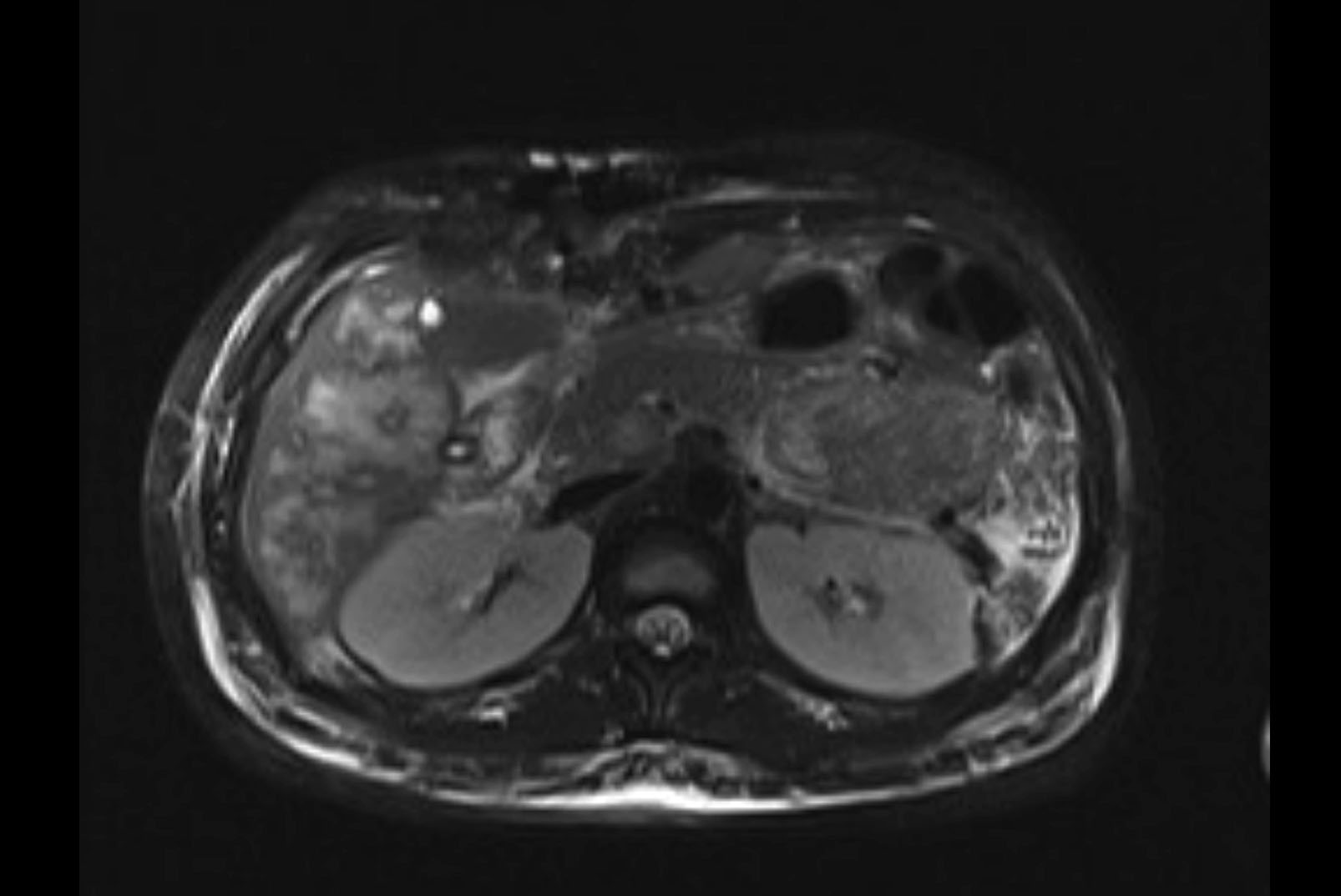
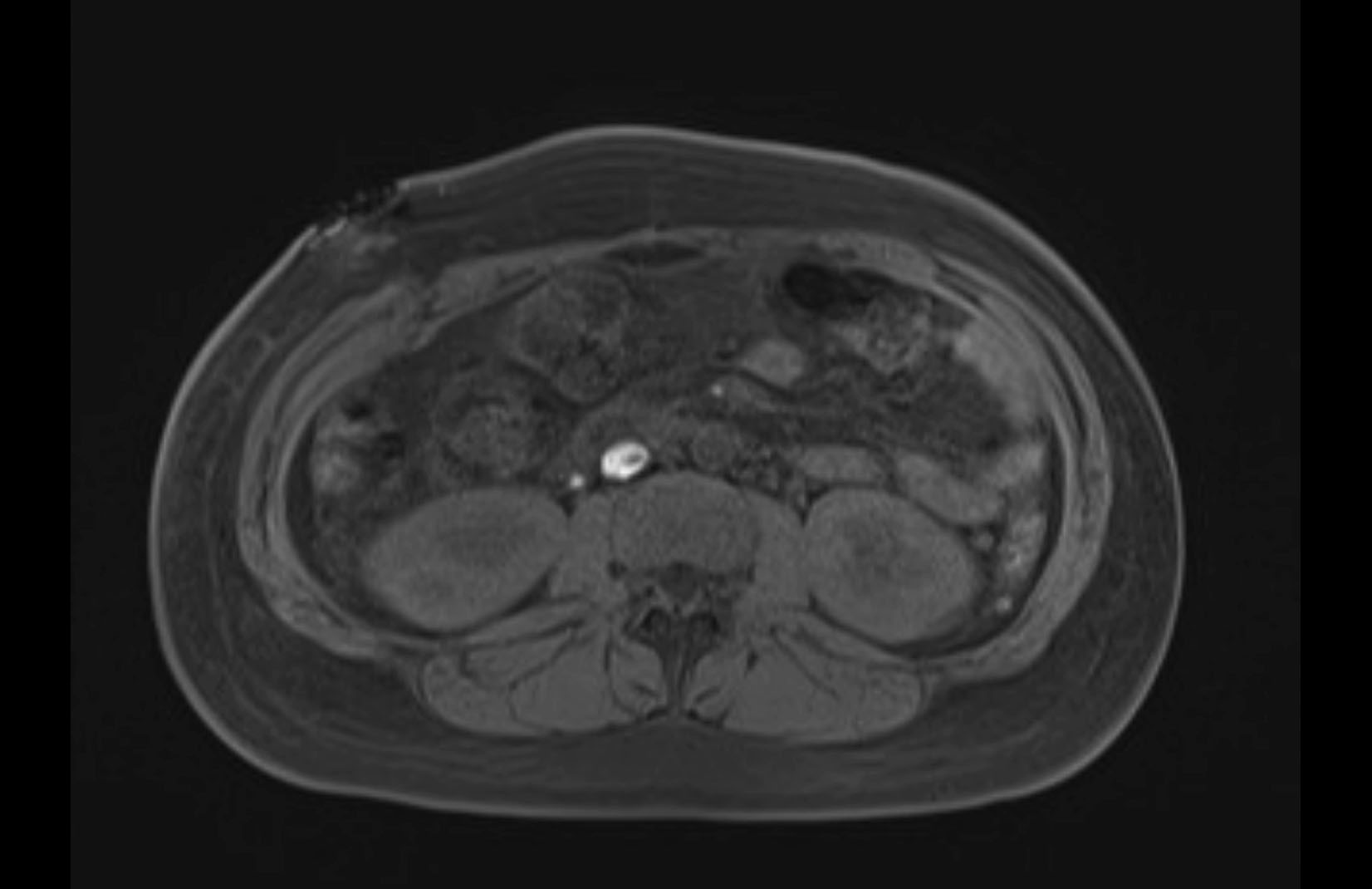
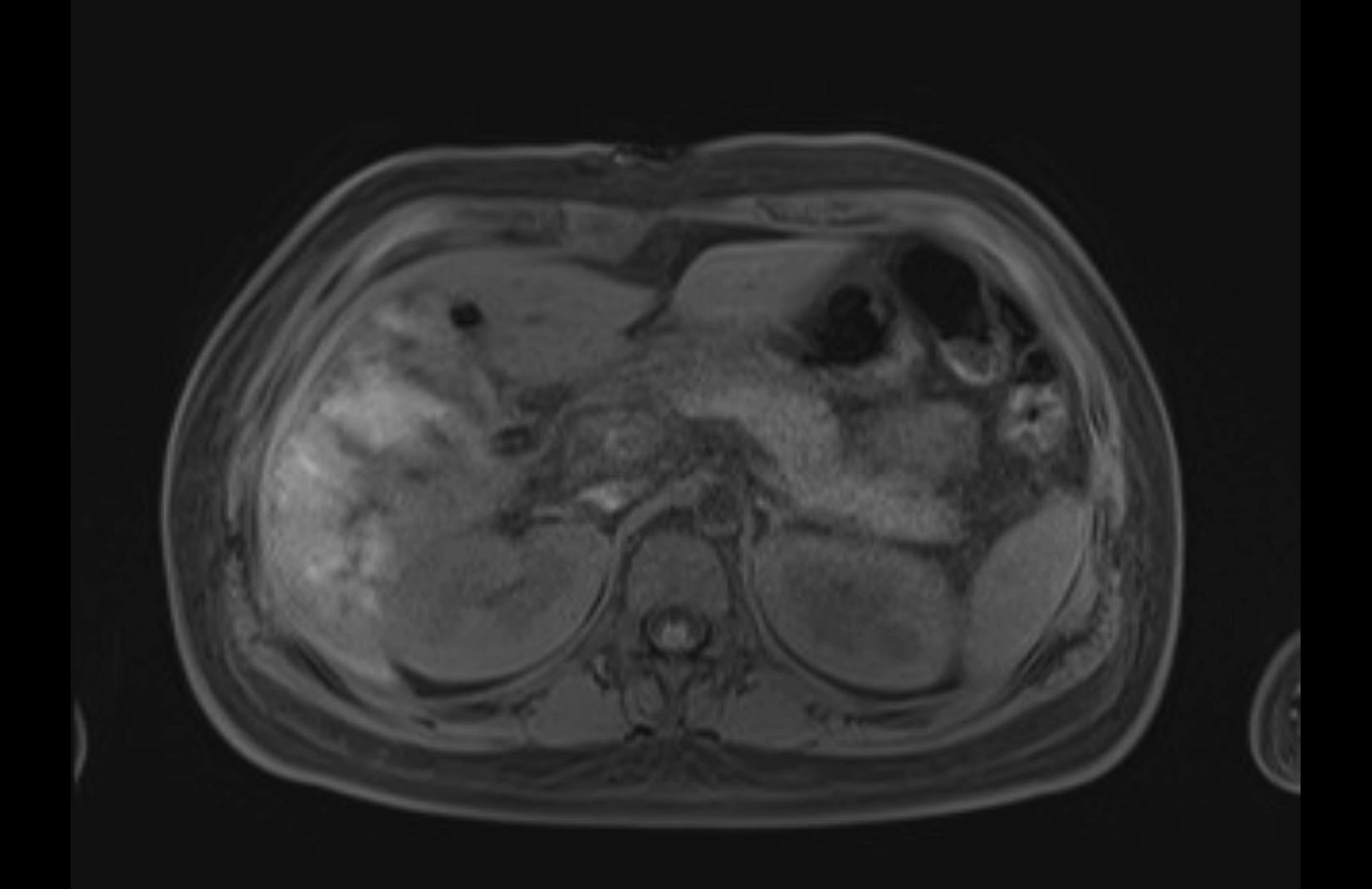
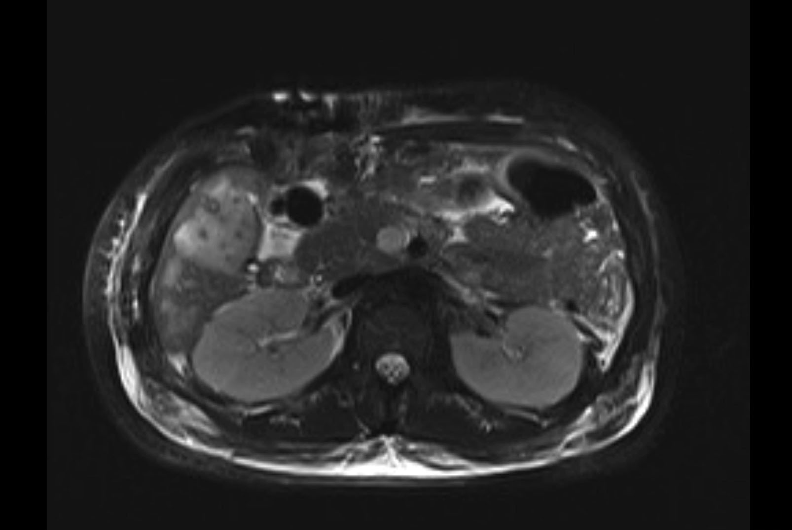
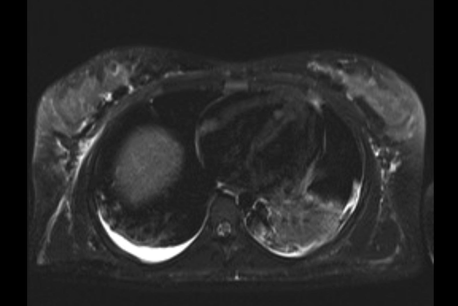
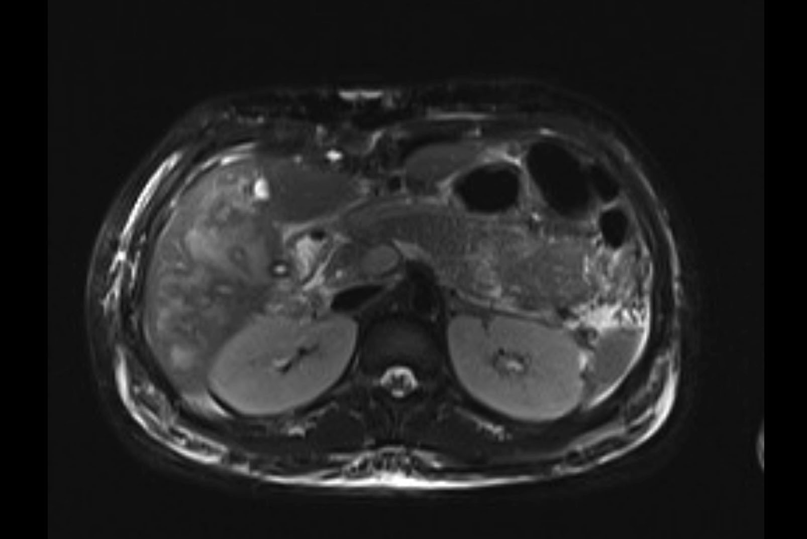
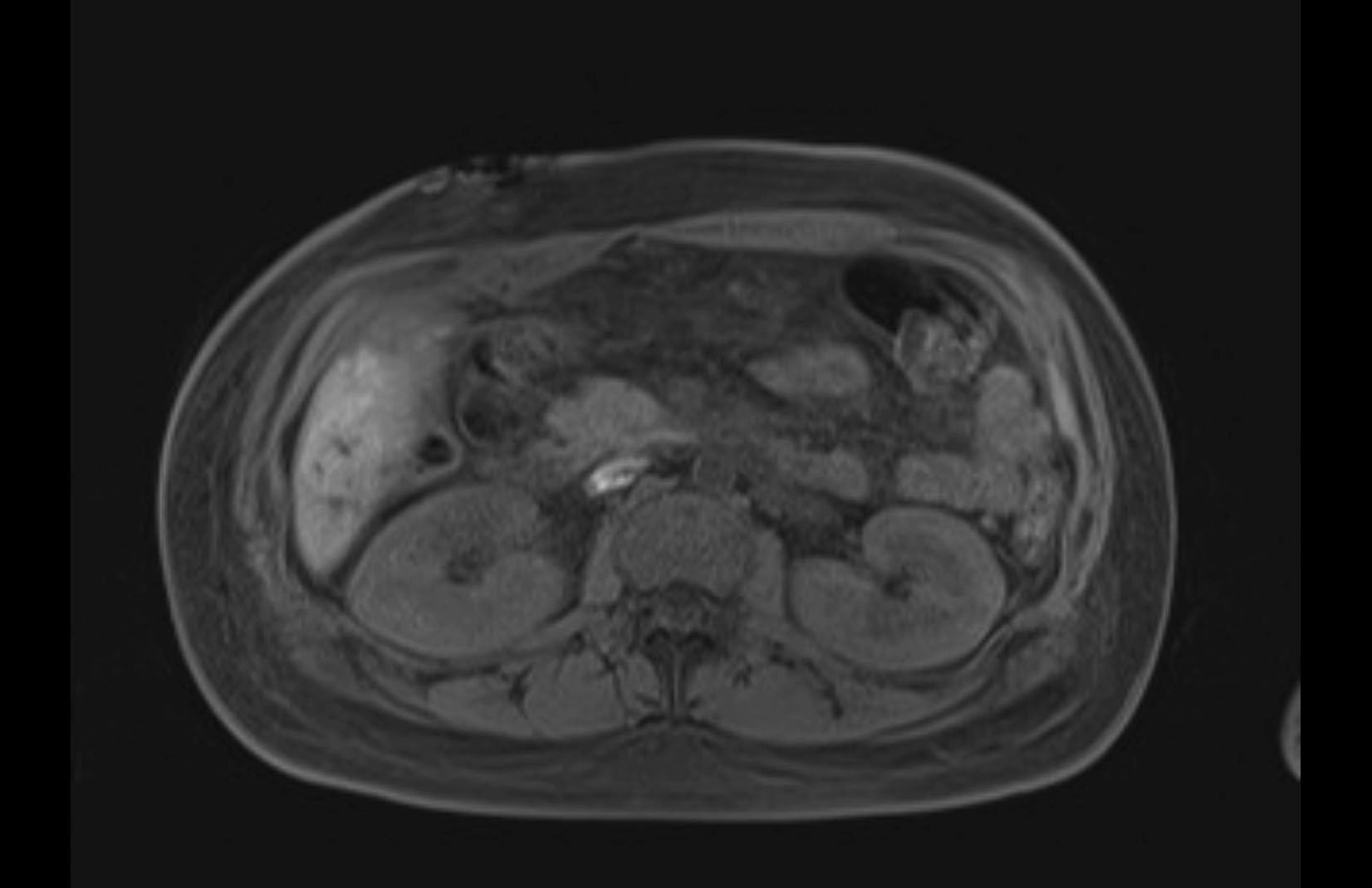
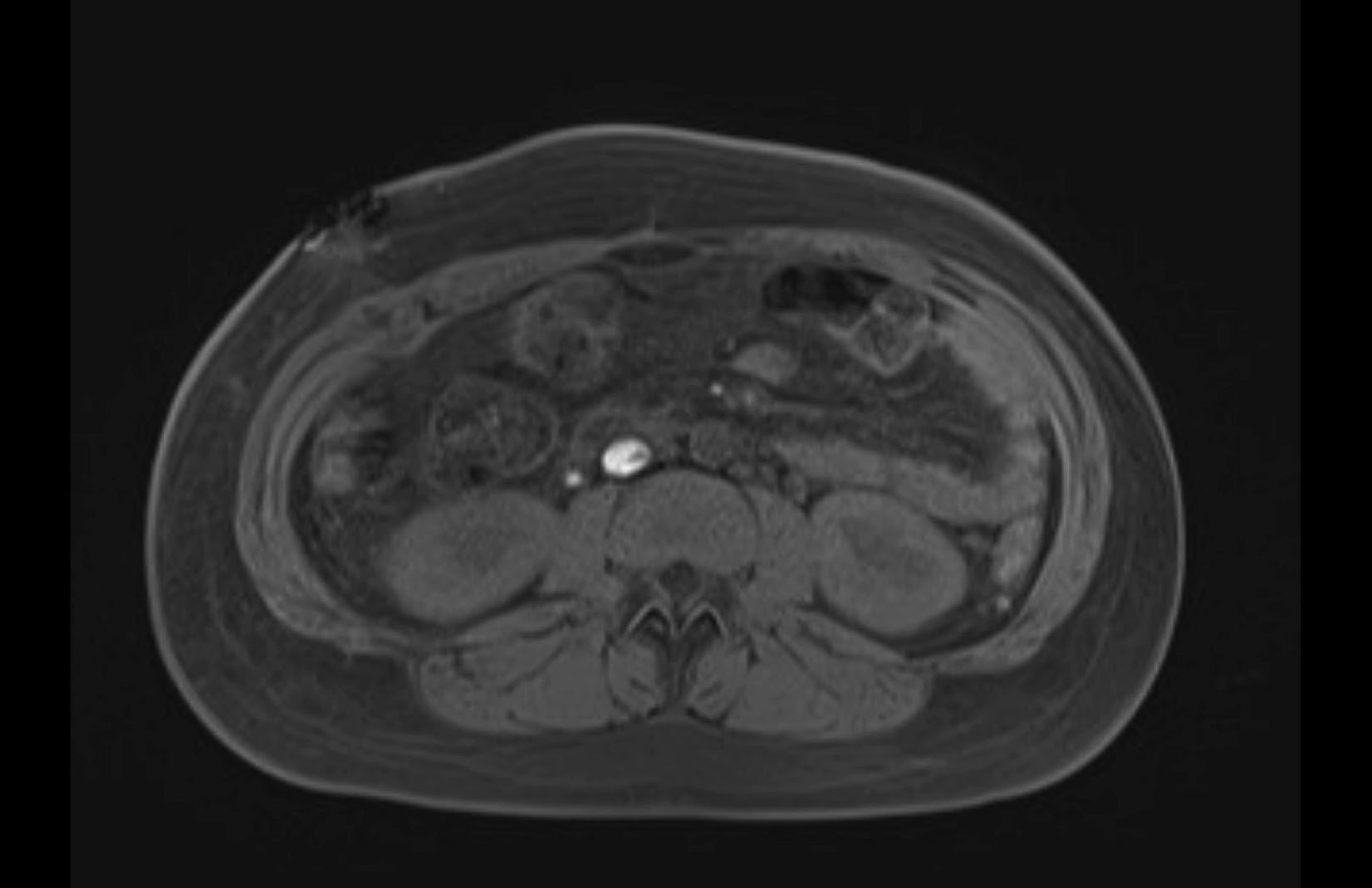
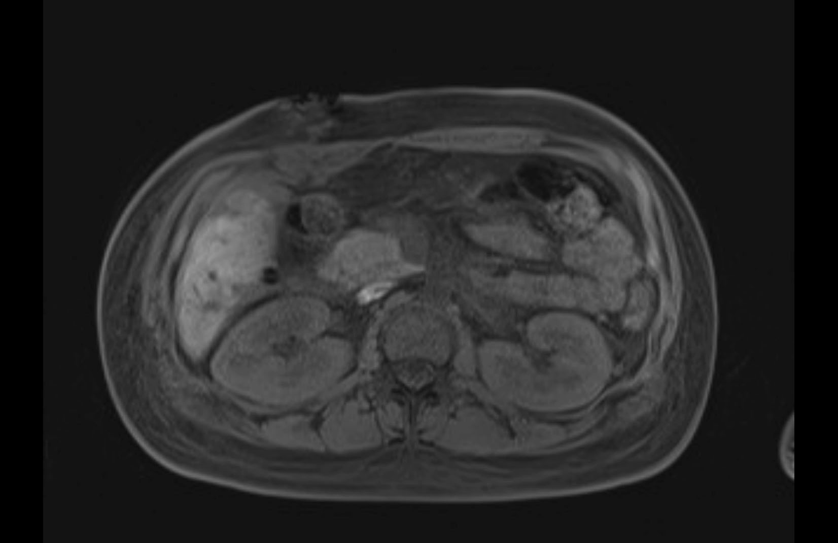
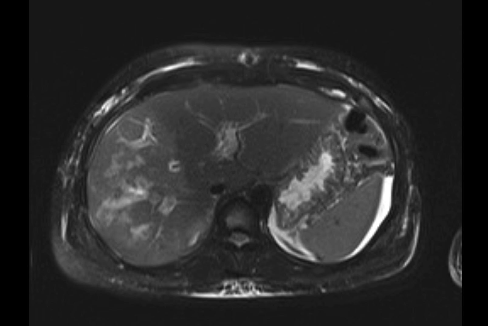
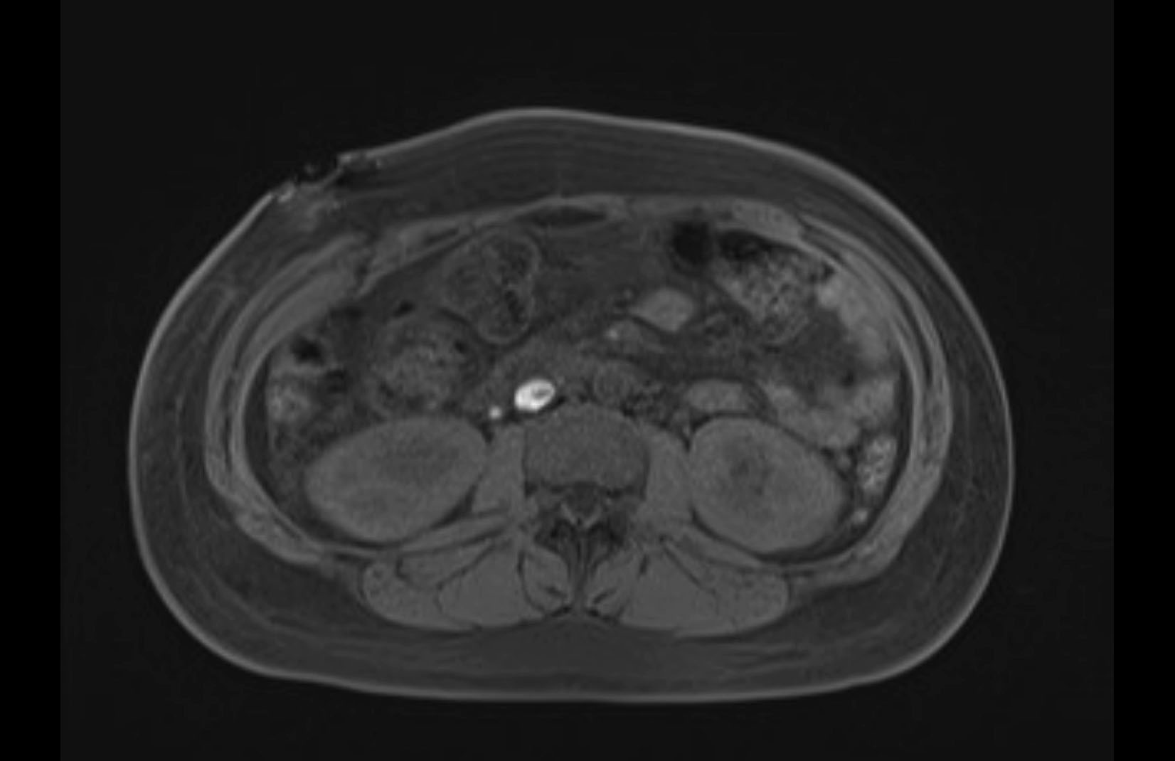
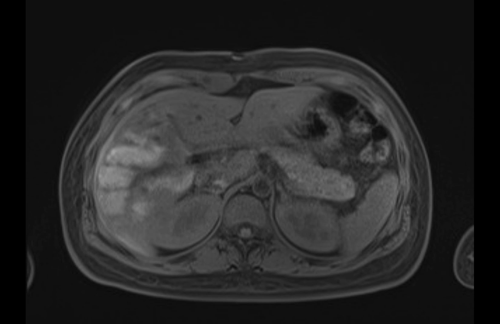
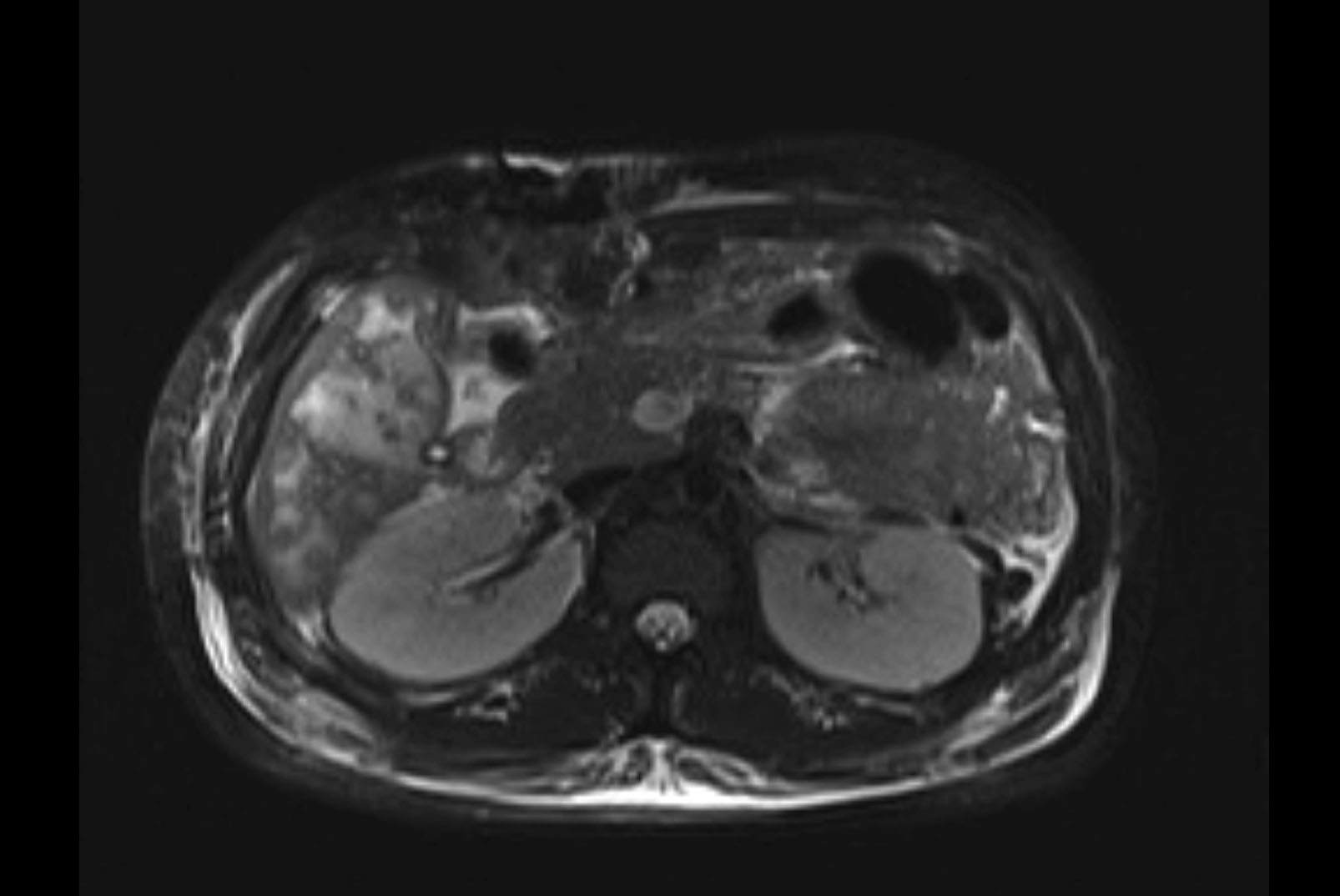
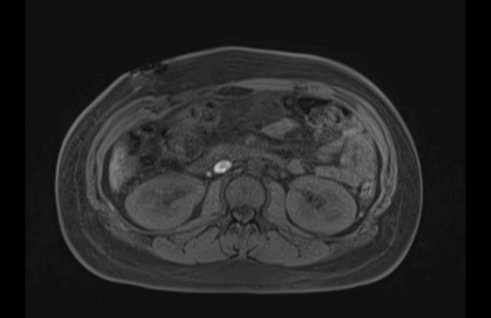
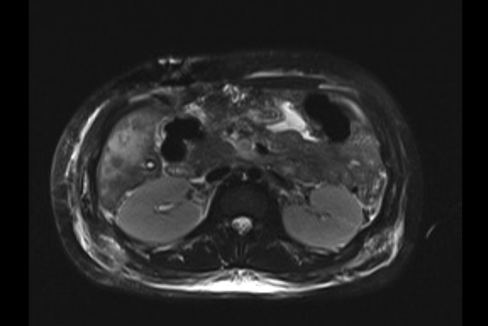
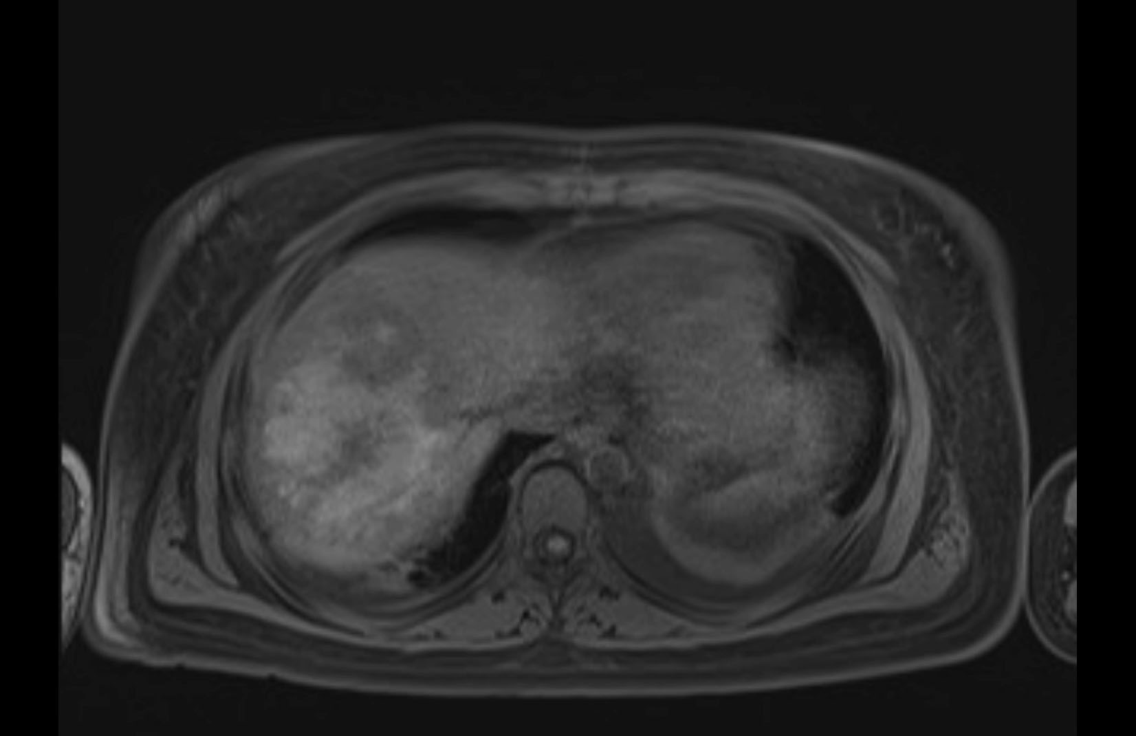
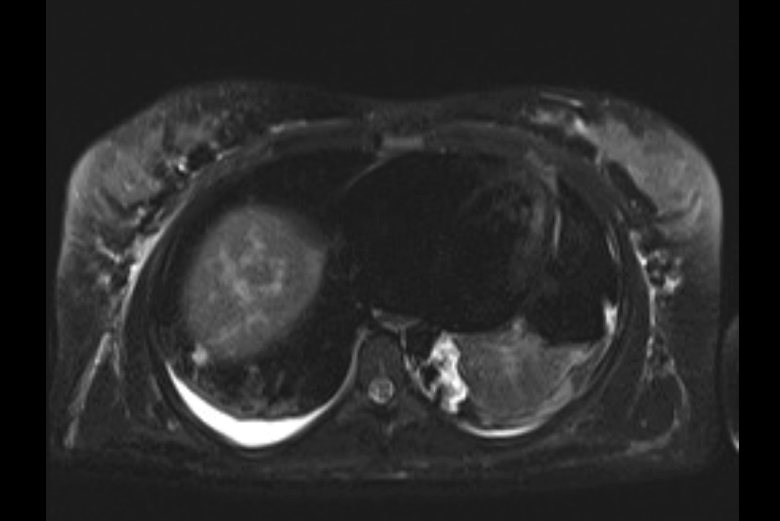
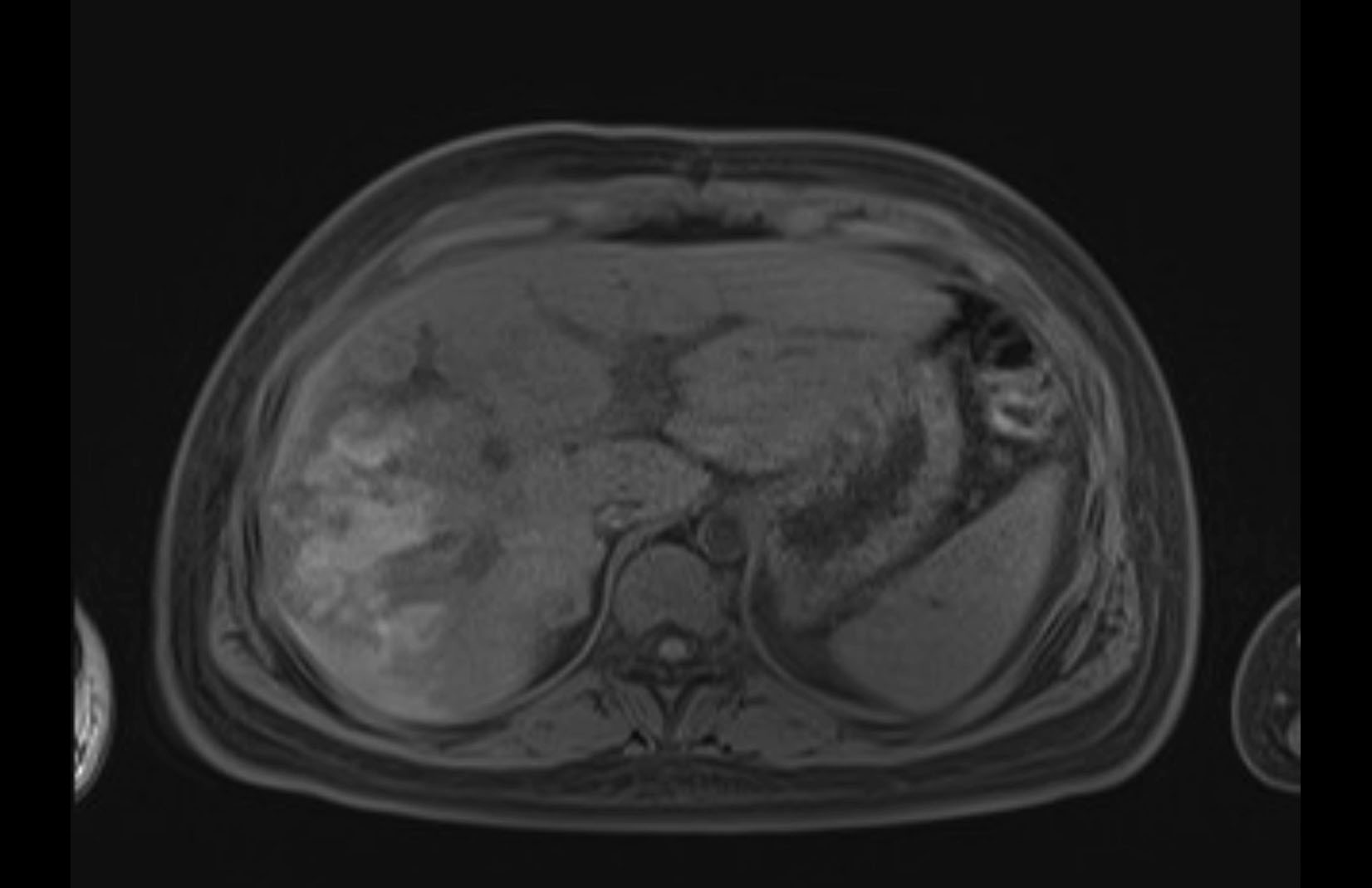
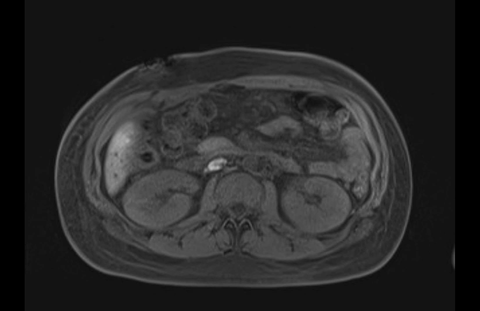
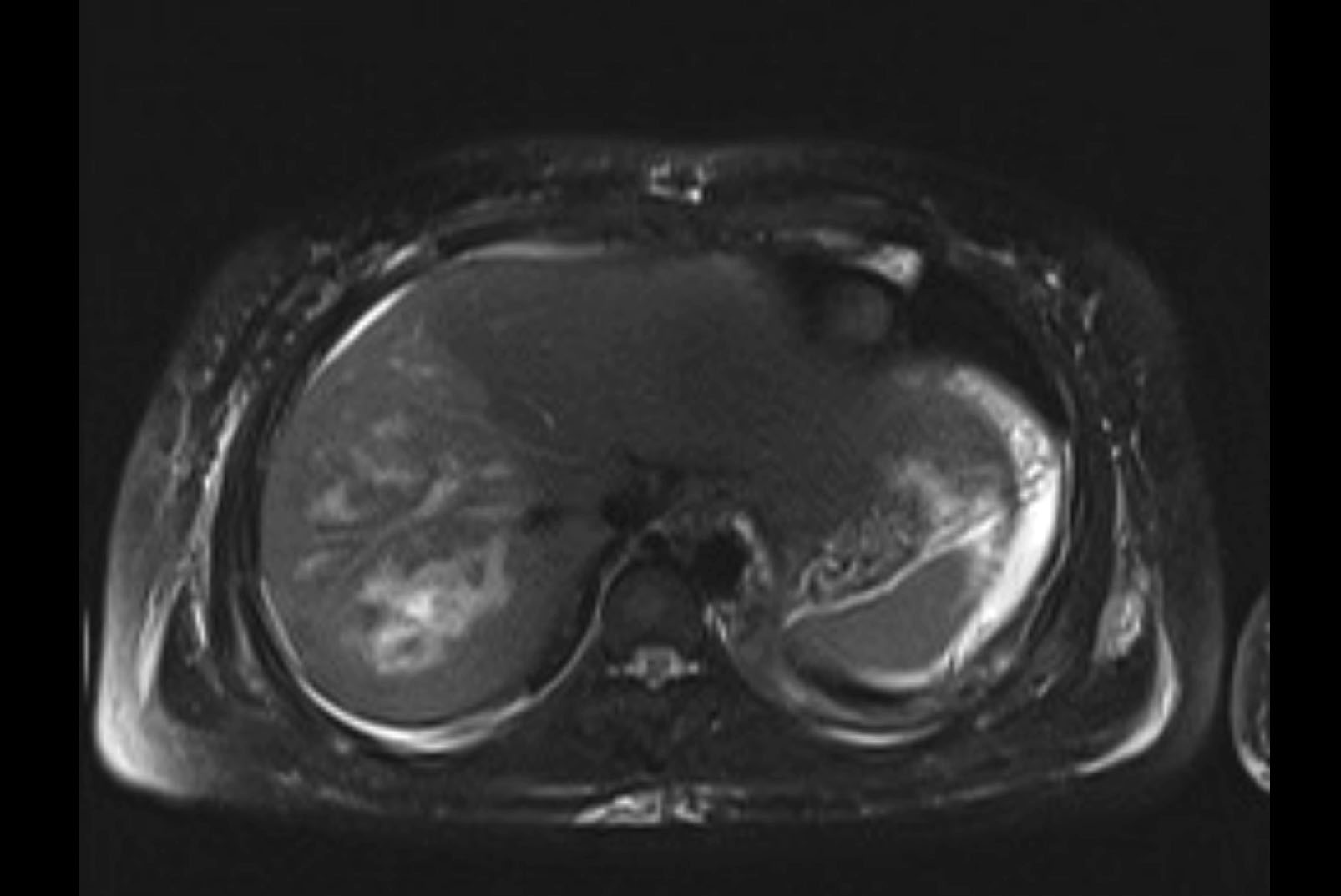
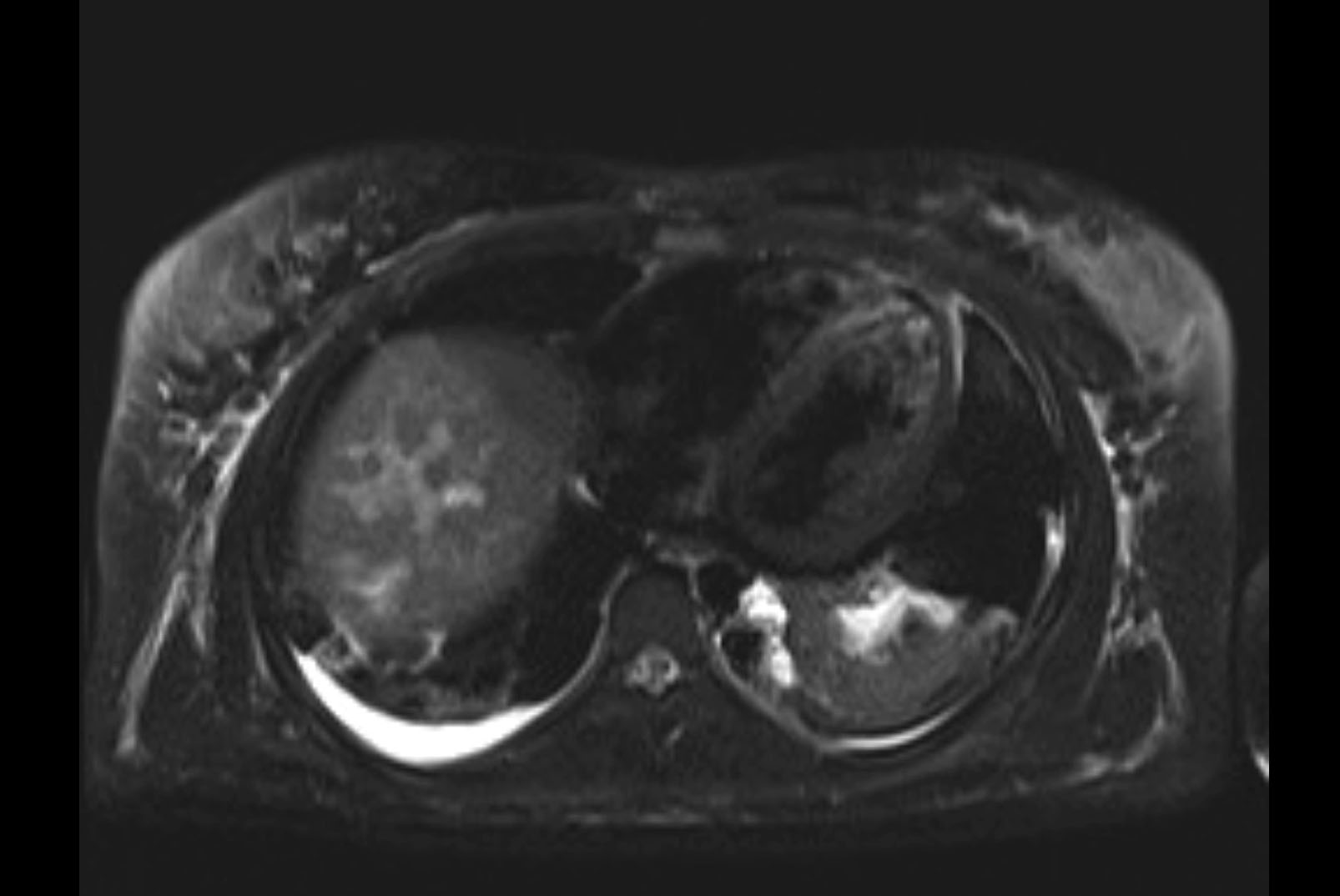
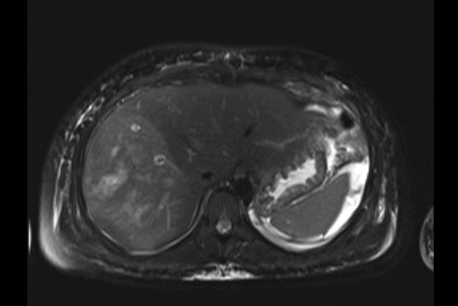
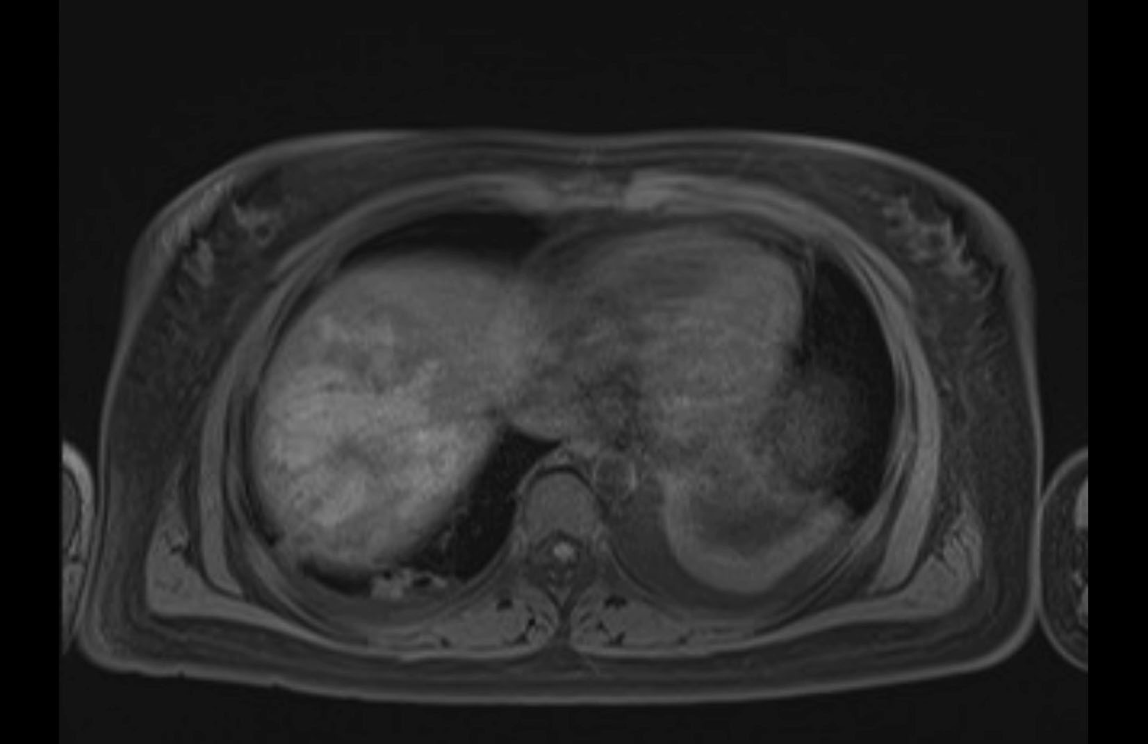
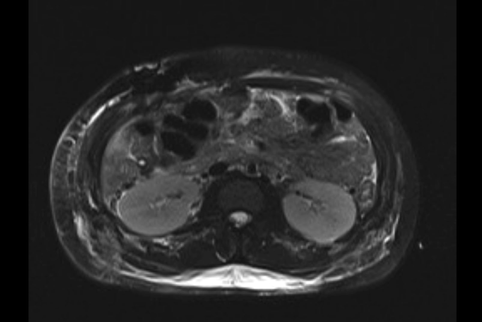
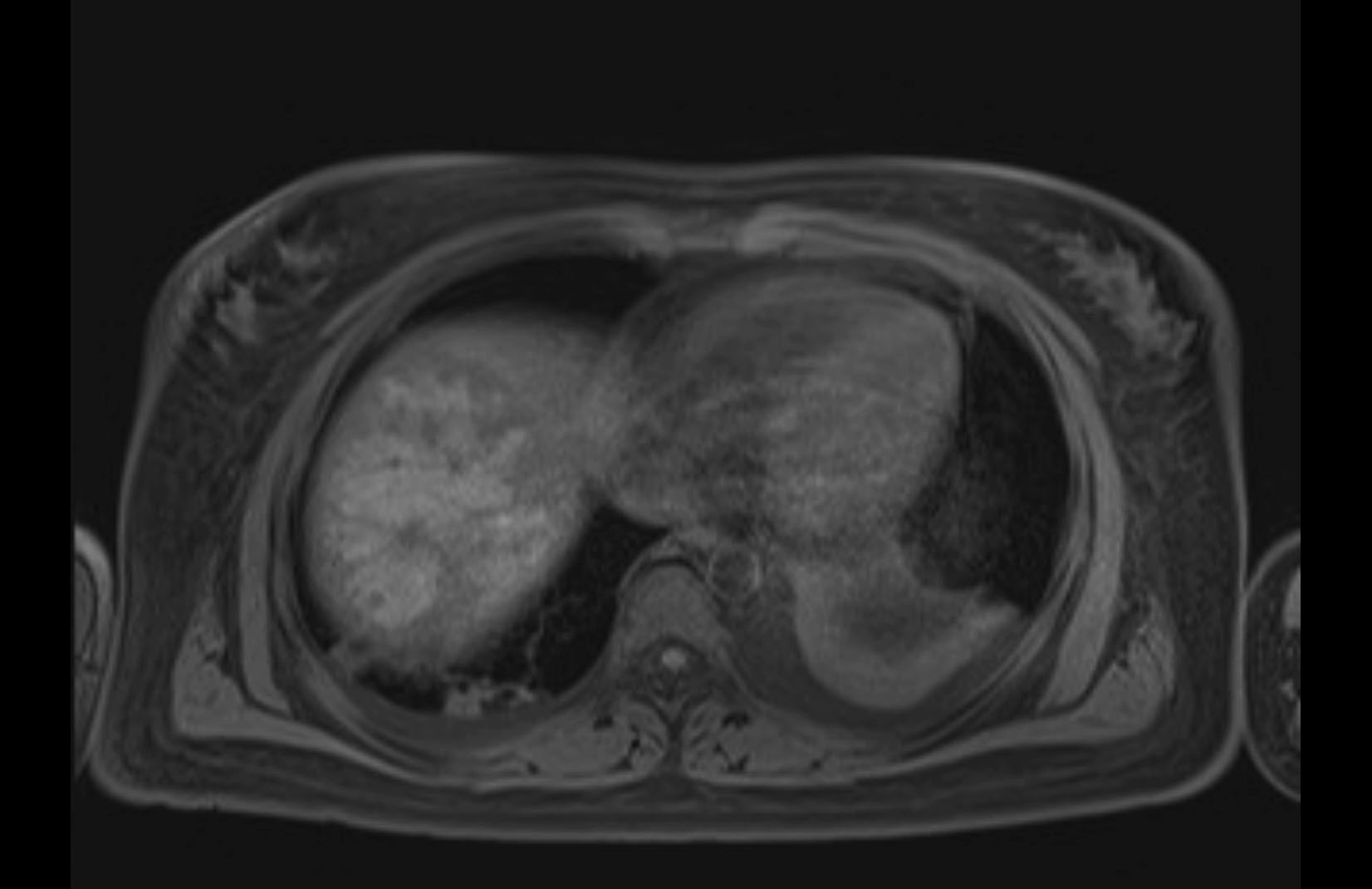
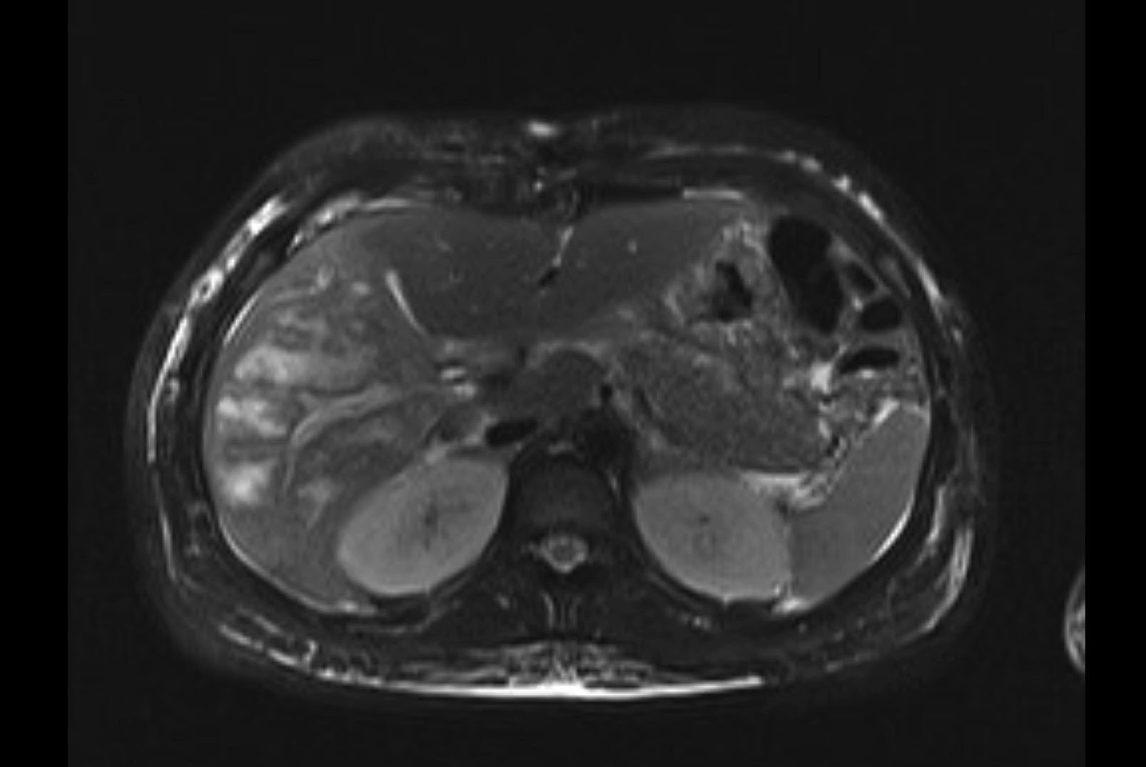
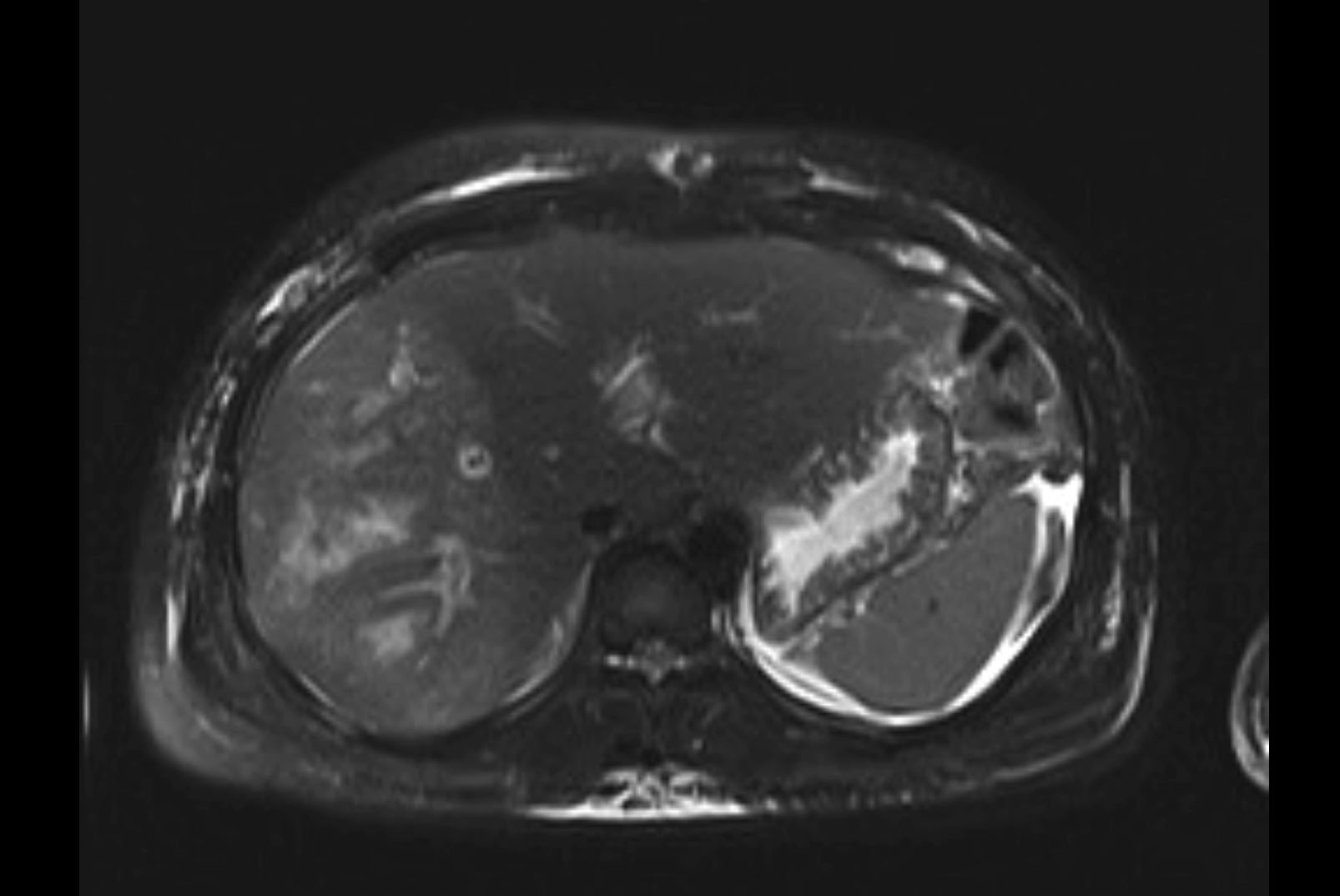
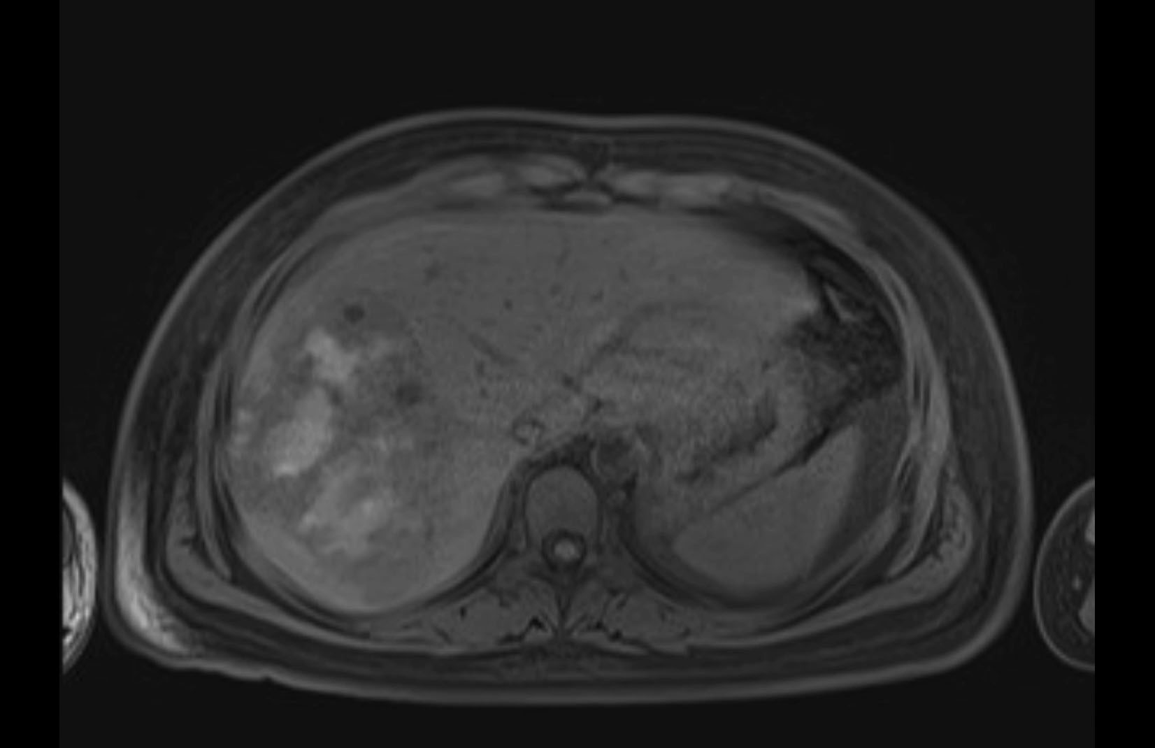
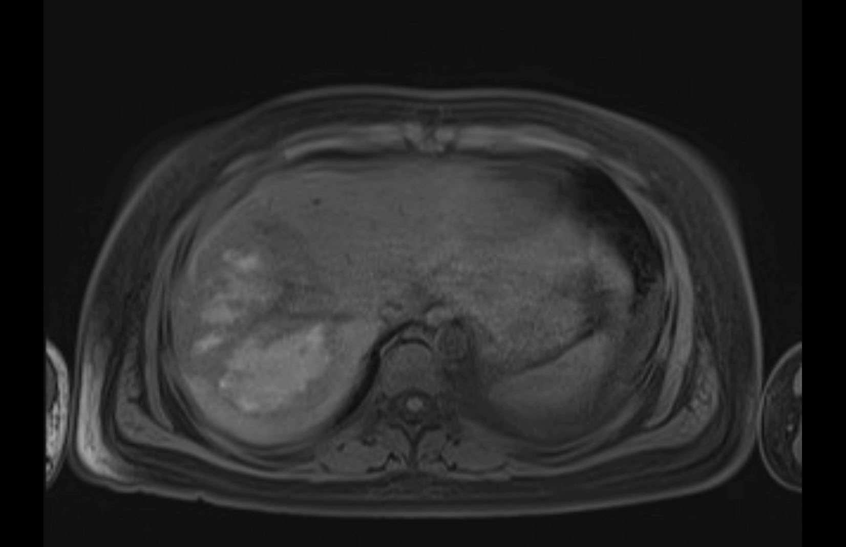
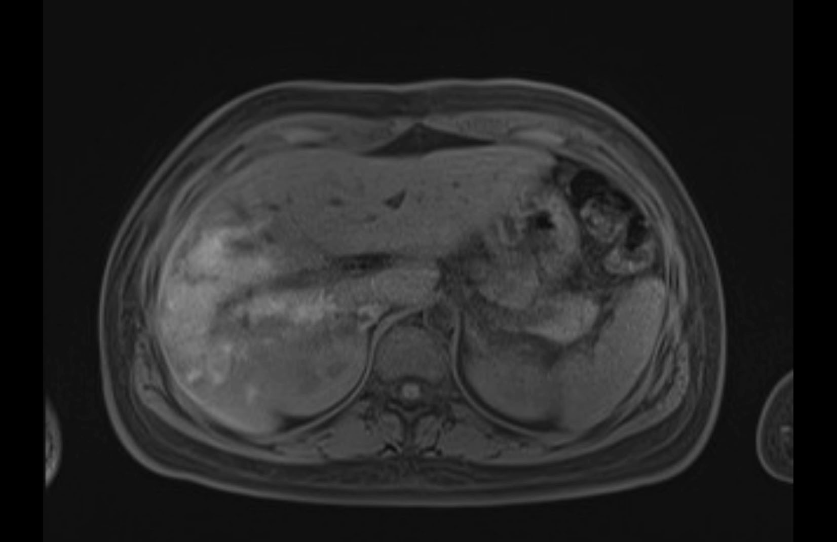
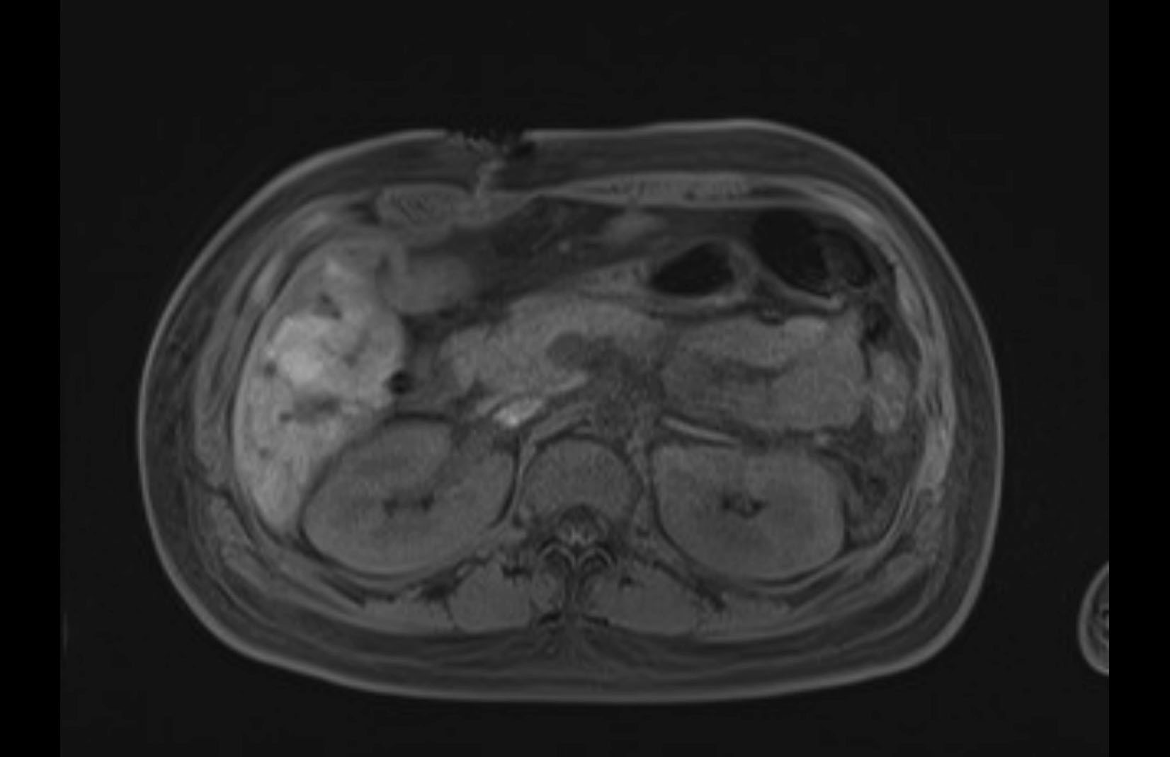
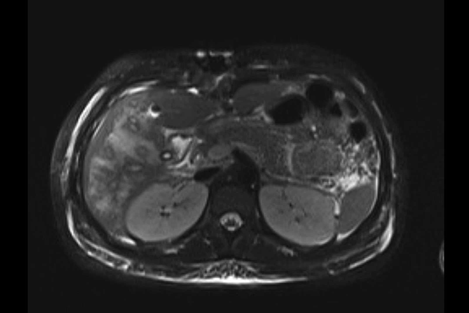
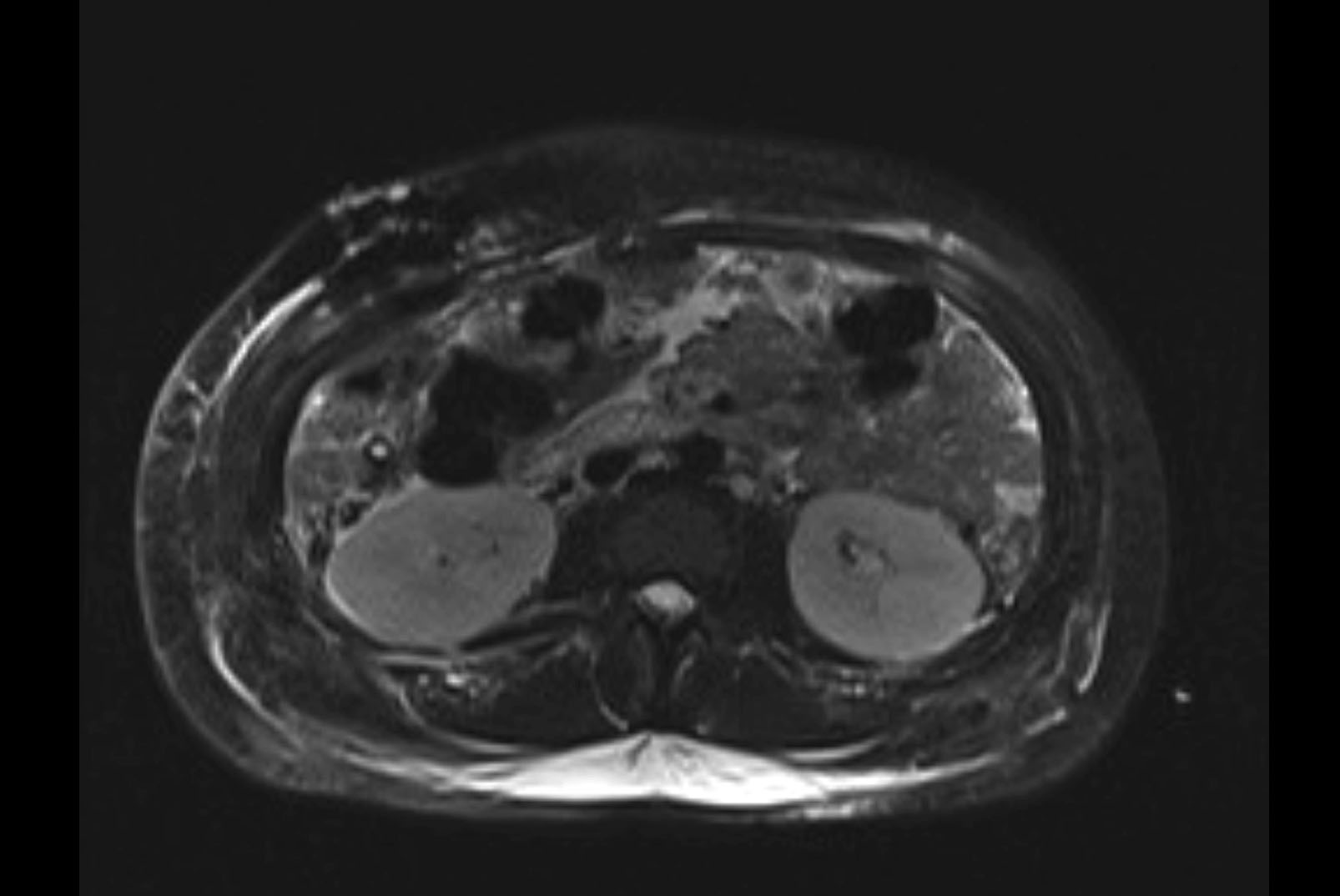
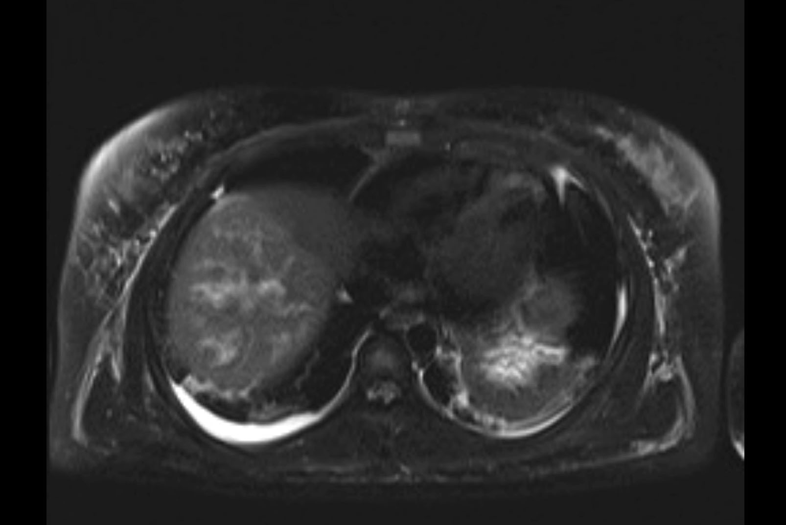
MRI T1
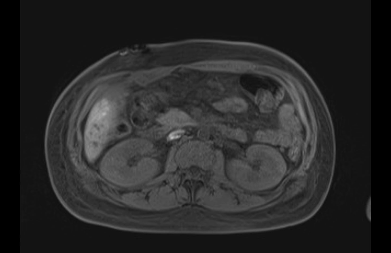
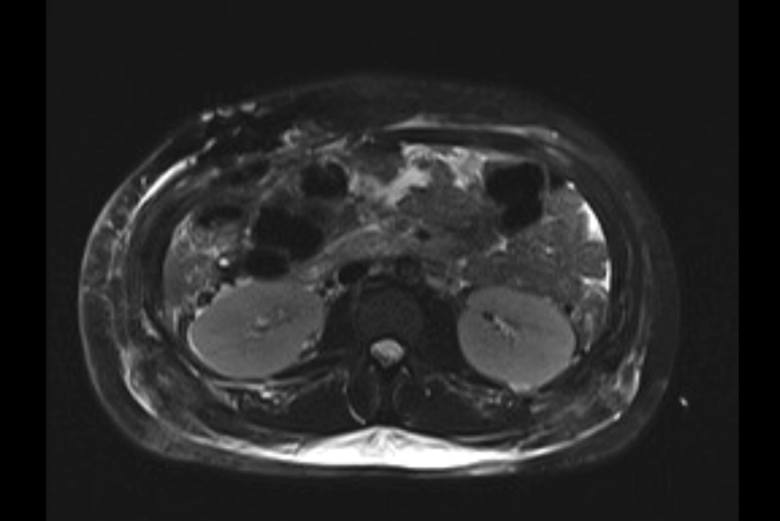
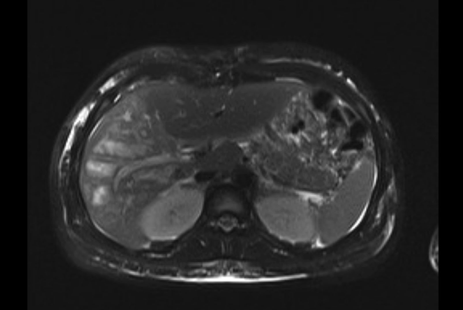
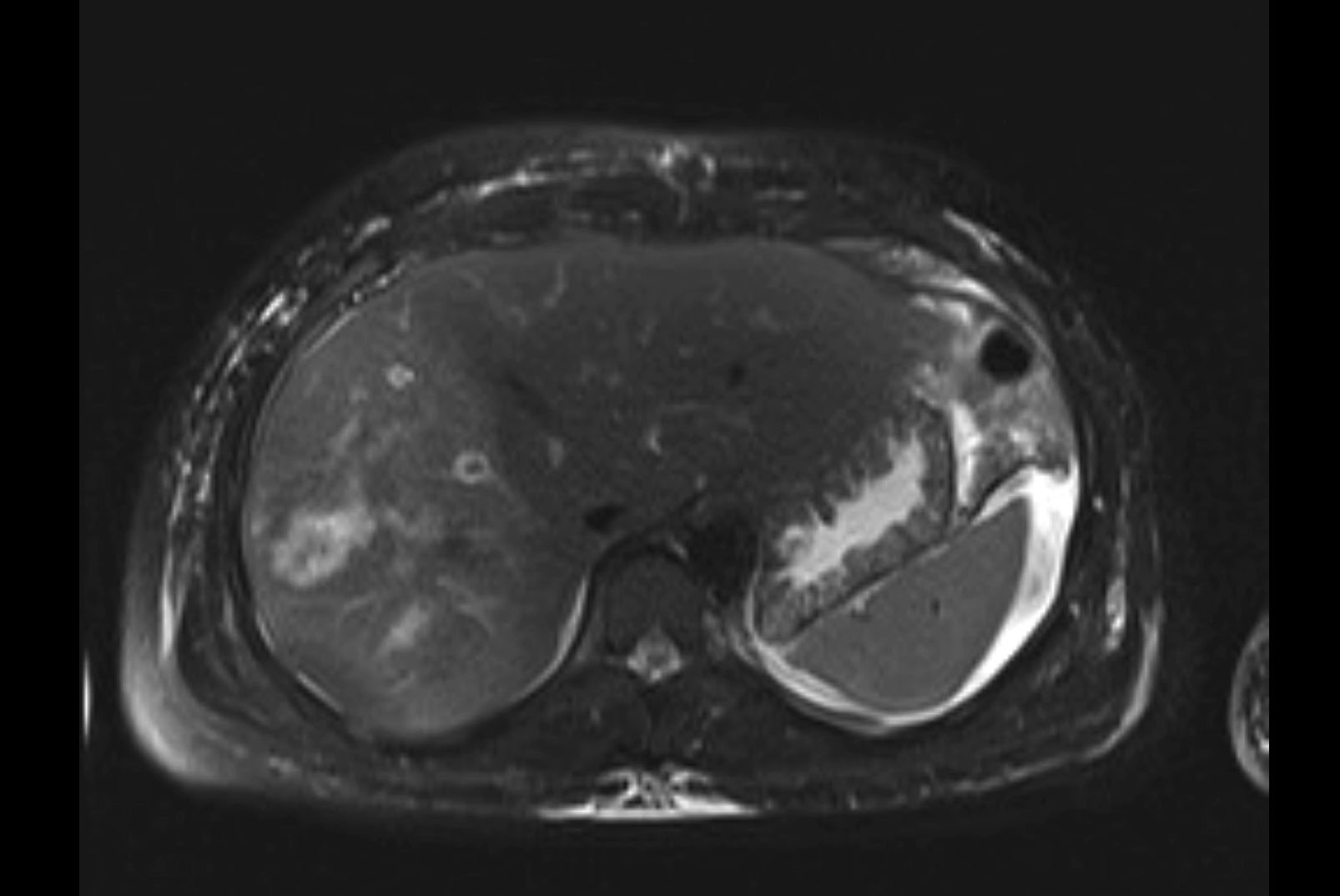
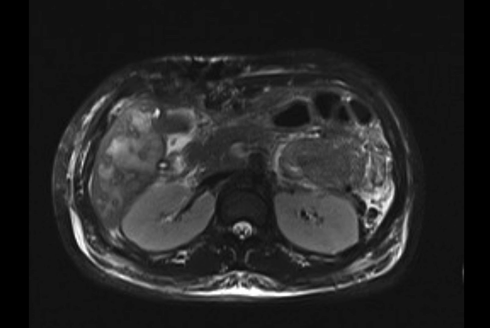
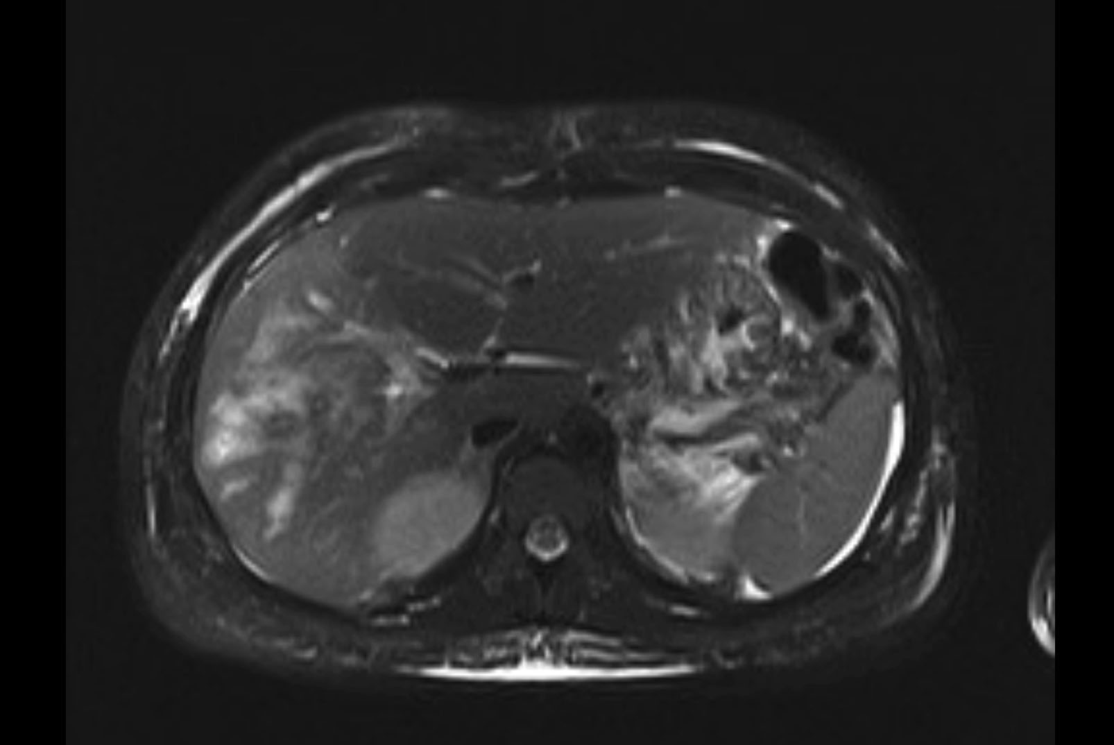
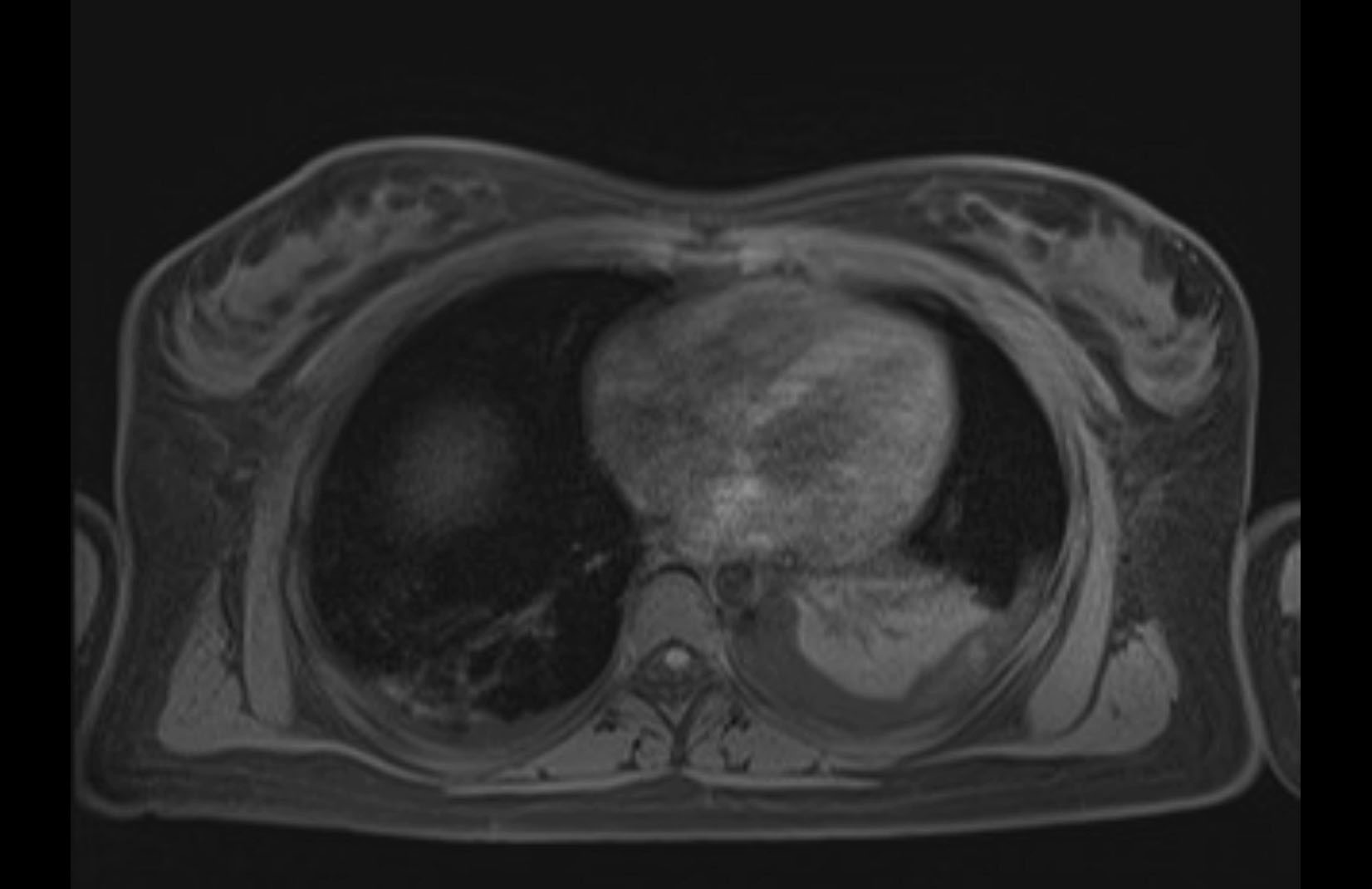
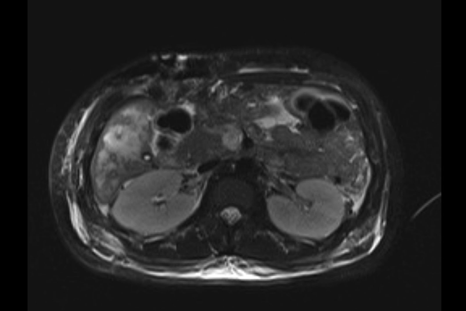
MRI T2
Imaging analysis
Based on initial findings, which issue(s) would you be most concerned about?
Considering the patient’s issues, what would be your next step?
Acknowledgements
Thank you to the HPB Surgeons who contribute their time and expertise. This content is made possible through educational grants from:
Case 28

Views and opinions expressed in all videos and module content are those of the individual surgeon and solely intended for surgical education purposes. We do not endorse any product, treatment or therapy.
Corporate Partners
If you are interested in becoming a Corporate Partner of the IHBPA please contact industry@ihpba.org
Find out more
Go to myHPB
