International Hepato-Pancreato-Biliary Association
Vasculobiliary injury [M28]
Introduction
Clinical History
The patient is a 22-year old woman who initially presented in the emergency department with acute cholecystitis and signs of choledocholithiasis. She underwent an open cholecystectomy with bile duct exploration. According to the surgical report, there was inflammation around the gallbladder that made exposure and dissection difficult. Some bleeding was encountered in the hepatoduodenal pedicle which required stitches to repair.
On post-operative Day 1, the patient required monitoring in the intensive care unit due to decrease in consciousness. The patient's CT scan revealed portal vein thrombosis, right liver ischemia and ascites. With deterioration of consciousness and Grade 2 encephalopathy, on post-operative Day 4 she was transferred to an HPB centre.
| Lab Results | Post-op Day 1 | Post-op Day 4 |
|---|---|---|
| WBC: | 40705/µL | 32600/µL |
| C-Reactive Protein: | 18 mg/dL | 17 mg/dL |
| Alanine aminotransferase (ALT/GPT): | 4060 U/L | 1138 U/L |
| Aspartate transaminase (AST): | 44900 U/L | 112 U/L |
| Alkaline phosphatase (ALP): | 333 U/L | 408 U/L |
| Gamma-glutamyl transpeptidase (GGT): | 230 U/L | 110 U/L |
| Total Bilirubin: | 9.5 mg/dL | 3.6 mg/dL |
| Direct Bilirubin: | 7.5 mg/dL | 2.8 mg/dL |
| International Normalized Ratio (INR): | 2.1 | 1.7 |
| Hematocrit (Hct): | - | 28% |
| Hemoglobin (Hb): | - | 9.5 g/dL |
| Platelets: | - | 61000/µL |
| Prothrombin time (PT): | - | 44% |
| Fibrinogen: | - | 333 mg/dL |
| Albumin: | - | 2.2 g/dL |
| Glucose: | - | 58 mg/dL |
| Serum creatinine: | - | 2.2 mg/dL |
| Ammonia: | - | 85 µmol/L |
| Lactate: | - | 1.9 mmol/L |
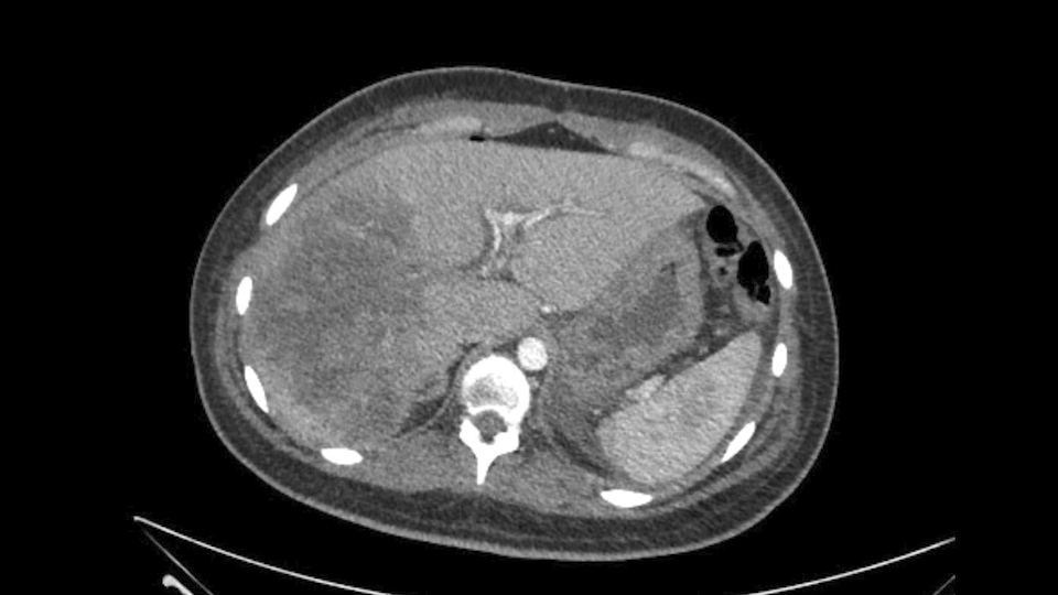
Imaging revealed a right liver infarction, right poral vein thrombosis extending to the main portal vein. Both the right and left hepatic arteries were absent but normal arterial flow was identified through an accessory branch off the left gastric artery. The consensus diagnosis is a vasculobiliary injury.

Acknowledgements
Thank you to the HPB Surgeons who contribute their time and expertise. This content is made possible through educational grants from:
Case 28

Views and opinions expressed in all videos and module content are those of the individual surgeon and solely intended for surgical education purposes. We do not endorse any product, treatment or therapy.
Corporate Partners
If you are interested in becoming a Corporate Partner of the IHBPA please contact industry@ihpba.org
Find out more
Go to myHPB
